Ортодонтическое лечение элайнерами, протезирование и установка виниров
Обращение пациента
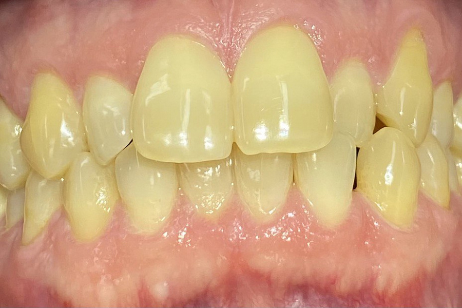
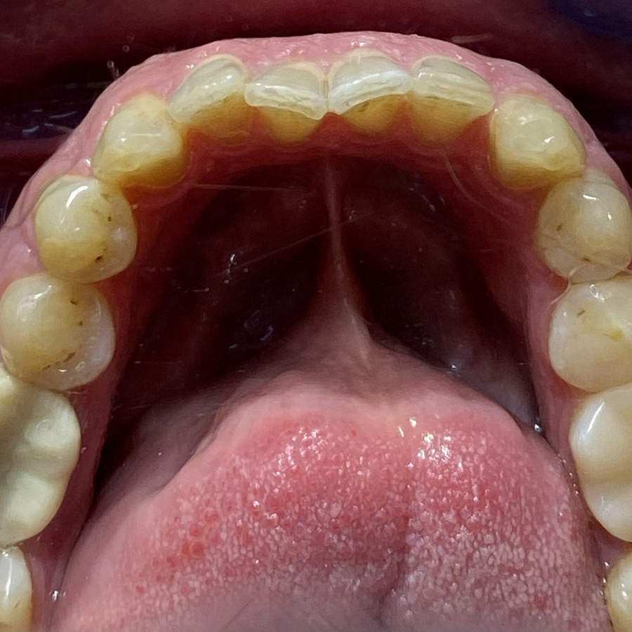
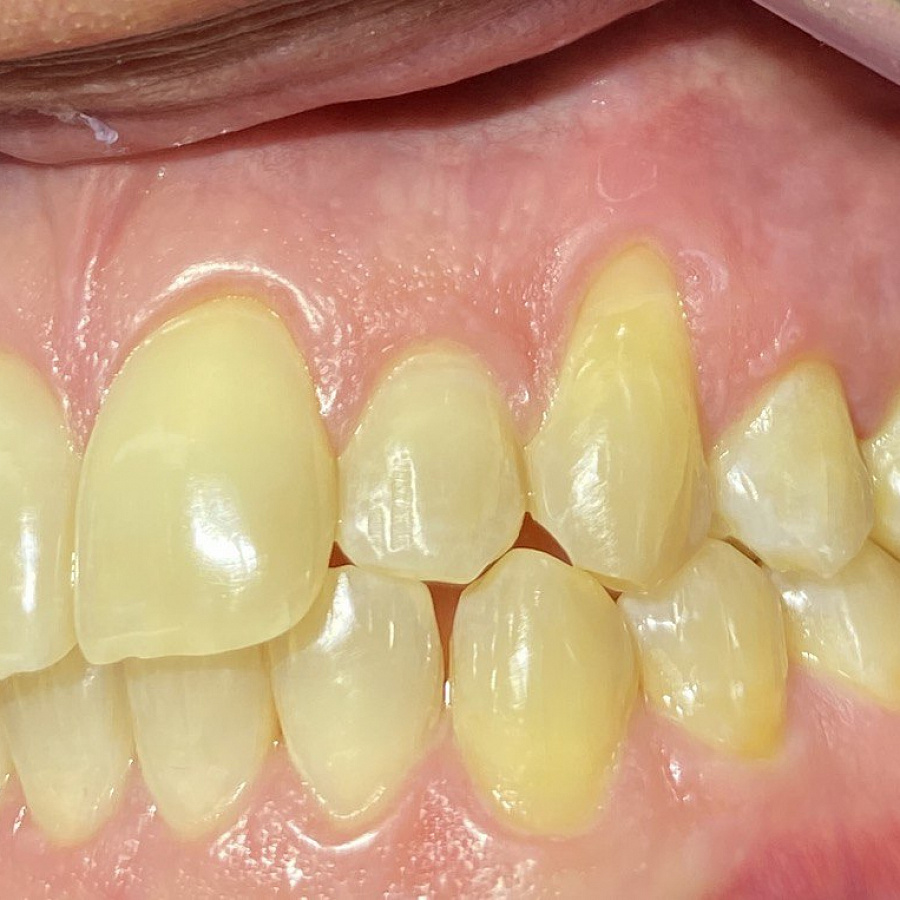
Пациент обратился с жалобами на неровные передние зубы верхней и нижней челюстей.
Какой диагноз поставили
Диагностика показала:
-
сужение зубных рядов,
-
обратное перекрытие в области фронтальных зубов слева,
-
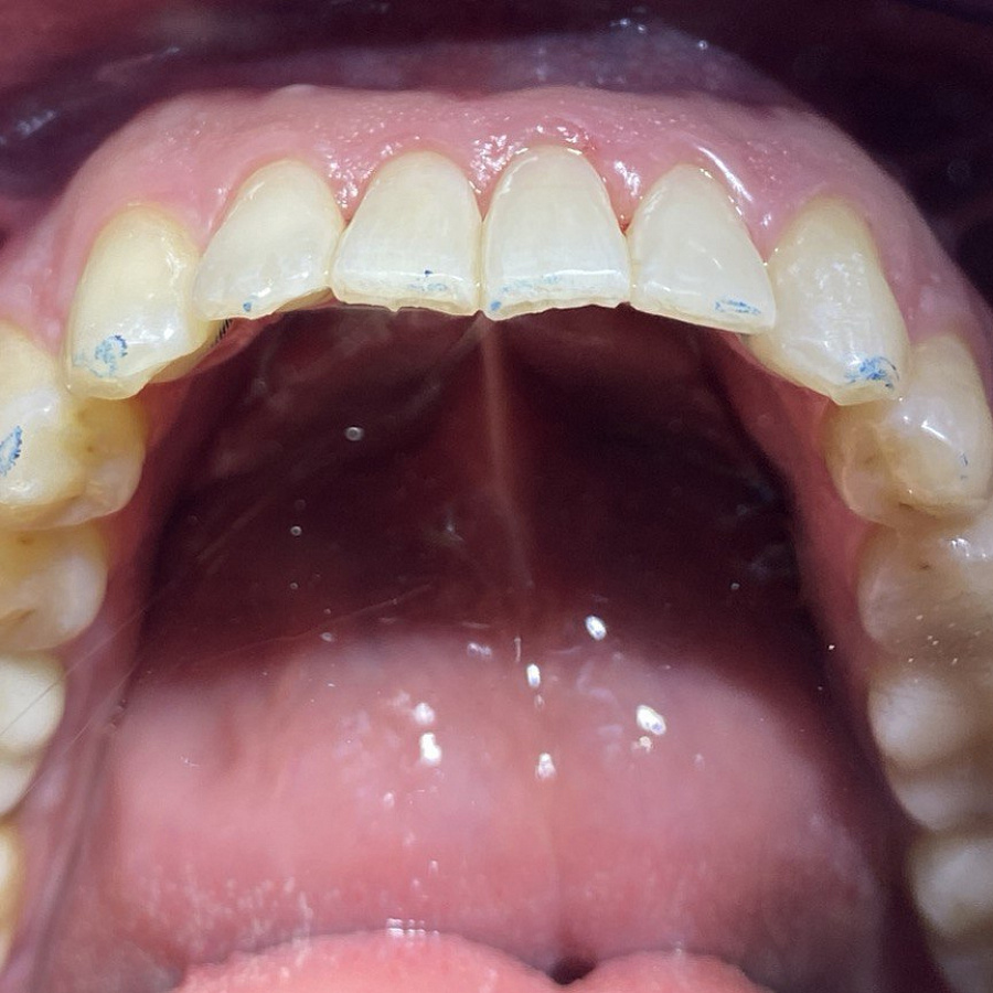
разворот по оси передних зубов верхней и нижней челюстей,
-
стираемость эмали зубов,
-
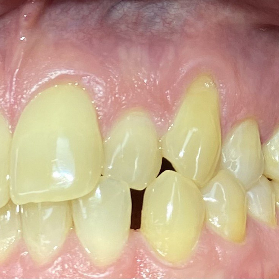
индивидуальную микродентию 12 и 22 зубов.
- санация полости рта
- ортодонтическое лечение с помощью элайнеров
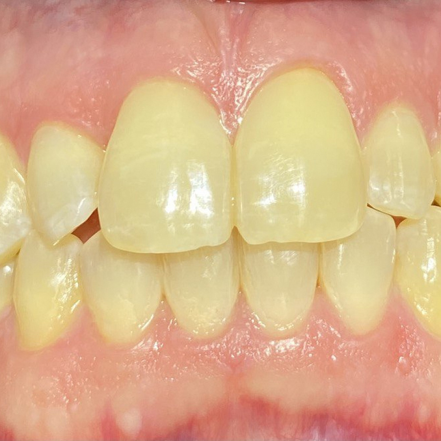
- восстановление плотных межзубных контактов с помощью ортопедических конструкций
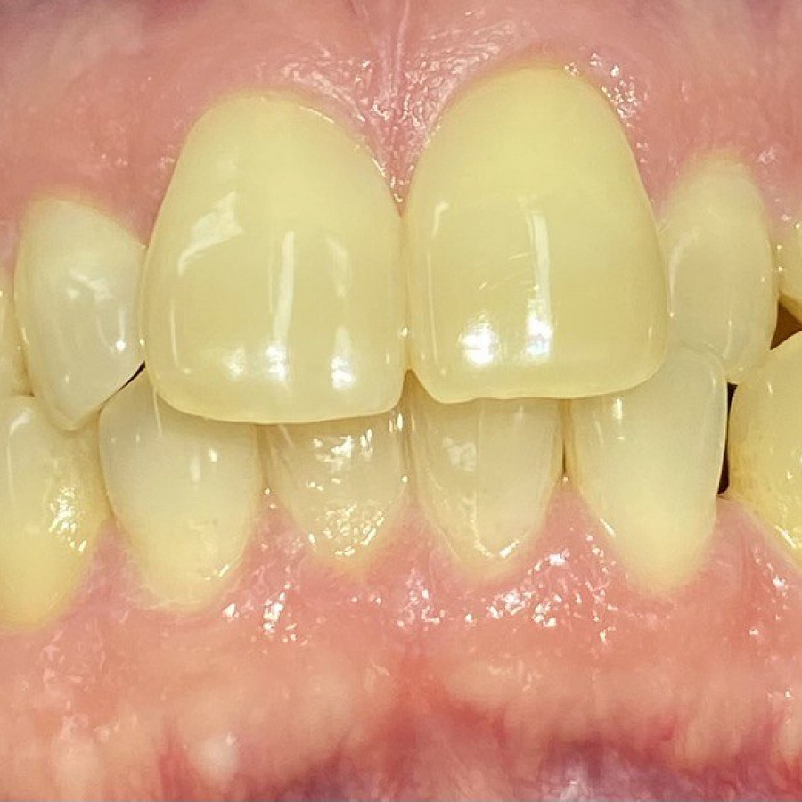
- виниры 12, 22 для удлинения резцов.
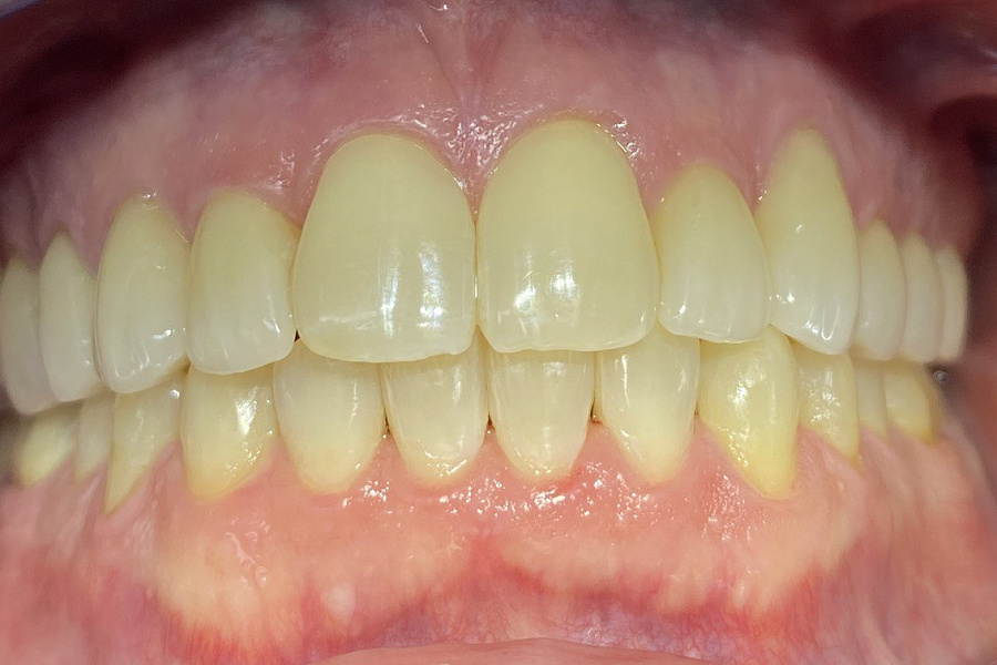
Ортодонтическое лечение с помощью элайнеров длилось 10 месяцев. Далее последовало протезирование и установка виниров.
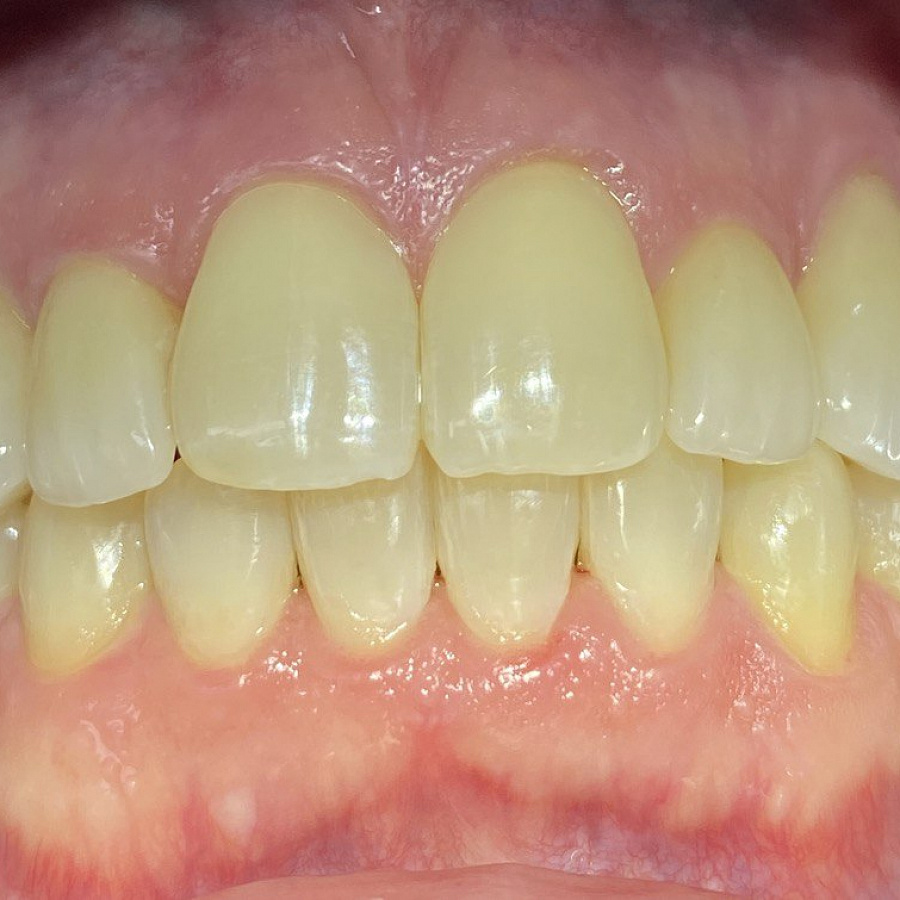
Результат лечения
Кто участвовал в лечении

Специализация:
Главный врач, стоматолог-ортопед, стоматолог-ортодонт, гнатолог.
Кандидат медицинских наук, член СтАР. Входит в ассоциацию лазерной стоматологии, ассоциированный член Общества по изучению цвета в стоматологии.
Владелец патента на изобретение «Способ изготовления экзопротеза верхней челюсти» (патент № 143103) и патента на полезную модель «Устройство для снятия несъемных зубных протезов» (патент № 54766).
Миссия в клинике:
Мы относимся к жизни и здоровью как к дару, к сохранению молодости и красоты – как к профессиональной чести, а воссоздание улыбки выполняем как ювелирную работу.

Специализация:
Врач ортодонт, гнатолог
Master of science (Магистр естесственных наук), училась и практиковалась в Австрии в Венском Университете
Миссия в клинике:
Ведение ортодонтического приема как взрослых, так и детей в полном объёме. Проведение комплексной гнатологической и ортодонтической диагностики. Ведение пациента совместно с хирургом, ортопедом и терапевтом. Лечение детей и взрослых с помощью съемных( элайнеры, пластинки) и несъёмных ( брекеты, ортопланты, аппараты хайрекс, форсус и тд) систем. Лечение патологий ВНЧС, связанных с нарушениями зубочелюстной системы.










