+7 495 737 44 66
Пн. - пт.: с 9:00 до 21:00
Сб.: с 9:00 до 18:00
улица Новый Арбат, 30/9,
Россия, Москва

Пн. - пт.: с 9:00 до 21:00 Сб.: с 9:00 до 18:00

+7 495 737 44 66
Indiba в стоматологии
Заживление после имплантации и удаления в 3 раза быстрее!
Хирургия
Виртуозно делаем самые сложные операции
Хирургия
Удаление зуба как по щелчку пальцев

Боремся за каждый зуб

Если есть хотя бы один шанс сохранить и восстановить зуб.

Удалим так, что вам понравится

Гарантируем, такого комфортного удаления зубов у вас ещё не было.

Хирургия

картинка
Indiba
Инновационная технология Indiba для быстрого восстановления после стоматологических процедур.

Что такое аппарат Indiba и как он работает


Аппарат Indiba - это передовая медицинская технология, использующая радиочастотное излучение на частоте 448 кГц для стимуляции клеточных процессов. Эта уникальная частота обеспечивает глубокое проникновение энергии в ткани без повреждения кожи или поверхностных структур. Принцип работы Indiba основан на создании контролируемого локального повышения температуры тканей, что активизирует метаболизм клеток и улучшает микроциркуляцию крови.

Преимущества Indiba в стоматологической практике


Применение Indiba после стоматологических процедур, таких как удаление зубов, костная пластика и имплантация, обеспечивает ряд значительных преимуществ:
  1. Ускоренное заживление: за счет стимуляции клеточной активности способствует более быстрому восстановлению тканей.
  2. Уменьшение отека и боли: улучшение микроциркуляции помогает снизить послеоперационный отек и болевые ощущения.
  3. Профилактика осложнений: активизация иммунных процессов снижает риск развития инфекций.
  4. Улучшение приживаемости имплантатов: усиление кровоснабжения в области имплантации способствует лучшей интеграции имплантата с костной тканью.
Кроме того, Indiba эффективен при лечении височно-нижнечелюстных расстройств, снятии мышечного напряжения и улучшении состояния десен при пародонтите.

Научные доказательства эффективности


Эффективность Indiba подтверждена многочисленными клиническими исследованиями:
  • Исследование, опубликованное в Journal of Clinical Medicine (2020), показало, что применение Indiba после имплантации зубов ускоряет процесс остеоинтеграции на 30-40%.
  • Согласно данным Clinical Oral Investigations (2019), использование Indiba после удаления зубов мудрости снижает интенсивность боли на 50% и сокращает время заживления на 25%.
  • Мета-анализ, проведенный в International Journal of Oral and Maxillofacial Surgery (2021), подтвердил, что Indiba значительно уменьшает послеоперационный отек и ускоряет восстановление тканей после различных стоматологических вмешательств.


Эксклюзивность процедуры


В Москве аппарат Indiba представлен лишь в нескольких ведущих стоматологических клиниках, что делает эту процедуру эксклюзивной и высокотехнологичной опцией для пациентов, стремящихся к наиболее эффективному и комфортному восстановлению после стоматологических вмешательств. Наличие Indiba в Немецком Стоматологическом Центре подчеркивает нашу приверженность инновациям и стремление предоставить пациентам самые передовые методы лечения.
Выбирая лечение с использованием Indiba в нашем центре, вы получаете доступ к уникальной технологии, которая значительно улучшит ваш опыт восстановления после стоматологических процедур, обеспечивая более быстрое заживление и минимизируя дискомфорт.
картинка
Плановая хирургическая помощь

Включает какое-либо амбулаторное хирургическое вмешательство в общий план подготовки к ортопедическому или ортодонтическому лечению, или рассматриваем это вмешательство, как плановую санацию полости рта.

К плановой хирургии зуба можно отнести:

  • удаление зубов «мудрости»,
  • пластику уровня прикрепления уздечек верхней и нижней губ, языка,
  • удаление разрушенных зубов,
  • подготовку лунки удаленного зуба к отсроченной постановки дентального имплантата
  • и много другое.
картинка
Экстренная хирургия

Экстренная хирургическая помощь - неотложная помощь «по острой боли», когда необходимо четко оценить все риски для пациента, точно выяснить причину возникшего состояния (боли, отека) и немедленно провести хирургическое вмешательство:

  • удалить зуб,
  • провести разрез слизистой оболочки с целью дренирования возникшего абсцесса (вскрыть абсцесс),
  • назначить антибактериальную и противовоспалительную терапию.
картинка
Сохранение зуба

Зубосохраняющие манипуляции - неотъемлемая часть работы Немецкого Стоматологического Центра. 

Удаление зуба — исключительная процедура, которая выполняется строго по медицинским показаниям. Если есть хоть малейший шанс спасти зуб, в Немецком Стоматологическом Центре всегда идут по пути сохранения зуба. Перед плановым удалением, проводится тщательная диагностика и оценка состоятельности корня разрушенного зуба, возможность его эндодонтического лечения и последующего восстановления. Диагностика включает:

  • компьютерную томографию. Обследование в формате 3D на томографе дает полную картину состояния зубочелюстной системы, что очень важно для грамотного планирования удаления.
  • ревизию твердых тканей (определяется уровень разрушения твердых тканей зуба относительно уровня костной ткани лунки, исключается наличие трещин корня),
  • оценку проходимости корневых каналов с использованием операционного микроскопа с целью определения прогноза возможного эндодонтического лечения и последующего восстановления ортопедической конструкцией. 

В случае невозможности сохранить разрушенный зуб по причинам, указанным выше, принимается решение об удалении. 

На этапе подготовке к плановому удалению, рассматривается возможность в кратчайшие сроки восстановить утраченный зуб. В этом случае мы предлагаем:

  1. Одномоментную имплантацию с немедленной нагрузкой (чаще в области передних зубов с целью сохранить эстетический внешний вид и речевые функции). 
  2. Отсроченную имплантацию (чаще в области жевательной группы зубов), когда в момент удаления корня проводятся мероприятия по сохранению (консервирование) лунки и созданию условий для беспрепятственной имплантации в зоне утраченного зуба после заживления лунки через 4 месяца. 
картинка
Когда удалять зуб?
  1. Невозможно восстановить зуб искусственной коронкой или взять под опору ортопедической конструкции из-за глубокого разрушения или трещины корня, большого очага разрушения костной ткани вокруг корня или в области верхушки корня
  2. Отсутствует возможность проведения других видов лечения (терапевтического, эндодонтического, ортопедического) с благоприятным исходом.
  3. Высокая степень подвижности зубов по причине хронического пародонтита.
  4. Гнойные осложнения, причиной которых является нелеченый или некачественно вылеченный зуб.
  5. Удаление зуба, неправильно расположенного в зубном ряду, или по ортодонтическим показаниям.    
  6. Удаление зуба по ортодонтическим показаниям: 
    • скученность зубов,
    • дистальный прикус,
    • мезиальный прикус,
    • асимметрия зубных рядов,
    • зуб является причиной неправильного прикуса,
    • продолжение ортодонтического лечения невозможно без удаления

Перед операцией обязательно проводится предварительная рентгенологическая, визуальная, инструментальная диагностика, на основании которой врач определяет тактику дальнейшего лечения.

Одной из частых причин удаление зуба или группы зубов является высокая степень подвижности по причине хронического пародонтита из-за значительной убыли костной ткани, возникшей на этом фоне травматической окклюзии и как следствие бесперспективность пародонтологического лечения. 

В этой ситуации перед удалением проводится тщательный анализ клинической ситуации, включая анализ компьютерной томограммы и соматический статус пациента (общие заболевания). И в случае, если нет возможности провести адекватное лечение, коллегиально принимается решение об удалении одного или нескольких зубов с одномоментной установкой дентальных имплантатов и их немедленной нагрузкой временной ортопедической конструкцией. Либо одномоментной имплантацией в день удаления и замещением дефекта зубного ряда частично-съемными протезами на период интеграции (приживления)имплантатов, для восстановления косметического функционального и речевого дефекта. 

Удаление зуба по причине гнойных осложнений таких, как боли и отек десны, отек мягких тканей челюстно-лицевой области или других состояний, которые заставляют пациента незамедлительно обратится к врачу, относится уже к разряду экстренной неотложной хирургической помощи. 

Как правило причиной гнойных осложнений является нелеченый или пролеченный некачественно корневой канал зуба, а также позднее обращение с проблемой решение, которой постоянной откладывалось по тем или иным причинам.

Длительное бессимптомное течение заболевания, постепенное разрушение сначала постоянной пломбы, а затем и корня зуба сопровождается появлением очага разрушения костной ткани или кистозной полости за верхушкой корня, основной причиной которого является инфицированный (нелеченый или пролеченный некачественно) корневой канал. Пусковым механизмом в развитии гнойных осложнений является сбой работы факторов местного иммунитета, ослабление защитных сил, что приводит к активизации бактериальной микрофлоры инфицированного корневого канала и в конечном счете развитию бурных клинических проявлений.

Такое состояние обратимого угнетения местного иммунитета может возникнуть на фоне переохлаждения, перенесенной болезни, после больших оперативных вмешательств, чаще как следствие психоэмоционального перенапряжения или стресса.

картинка
Как происходит удаление зуба?

Как правило, к моменту удаления разрушенного корня зуба основные диагностические мероприятия уже проведены и дополнительное обследование или анализы не требуются, за исключением случаев, когда пациент принимает медицинские препараты по жизненным показаниям или планируется проведение удаления с анестезиологическим пособием (удаление зубов во сне, под седацией), тогда необходимо дополнительное обследование у смежных специалистов. 

В стандартном случае этапы удаления зуба выглядят так:

  1. Анестезия или погружение в «сон».
  2. Атравматичное удаление корня с минимальной травмой костных структур лунки корня.
  3. Антисептическая обработка костной раны, кюретаж грануляций или удаление оболочки кистозной полости, то есть удаление из лунки тканей, поддерживающих воспалительный процесс и препятствующих правильному заживлению лунки.
  4. Заполнение лунки костно-пластическим материалом BioOss, закрытие зоны подсадки костной ткани, входа в лунку мембраной богатой тромбоцитами - APRF.
  5. Ушивание лунки.
картинка
Удаление зуба с восстановлением

Прежде, чем приступить к удалению нескольких подвижных зубов, необходимо решить вопрос о способе их восстановления. На этапе обследования проводится тщательный анализ компьютерной томографии, планируется расстановка дентальных имплантатов в максимально выгодной ортопедической позиции, на основании которой изготавливается хирургический шаблон с запрограммированным положением имплантатов и будущая временная ортопедическая конструкция. 

Обязательно выполняется клинический минимум лабораторных анализов для оценки общего состояния организма, за исключением случаев, если пациент принимает медицинские препараты по жизненным показаниям или планируется проведение удаления с анестезиологическим пособием, тогда необходимо дополнительное обследование у смежных специалистов.

Учитывая высокий риск развития септических осложнений (негативного влияния бактерий пародонтальных карманов и их токсинов на жизненно-важные органы), перед удаление зубов обязательно назначается профилактический прием антибактериальных препаратов.

Каждый клинический случай уникален и требует индивидуального подхода, чтобы в кратчайшие сроки завершить лечение. 

На сегодняшний день отработаны общепринятые методики восстановления зубного ряда на 4-х и 6-и имплантатах с немедленной нагрузкой временными ортопедическими конструкциями и их последующей заменой через 4-6 месяцев на постоянные. 

Однако, не стоит забывать о том, что для подобных реконструктивных операций существует строго определенное условие, а именно достижение первичной стабильности установленных имплантатов, способных выдержать немедленную нагрузку, зависящую напрямую от объема и качества костной ткани в области планируемого удаления зубов.   

Как происходит удаление нескольких зубов с немедленным восстановлением зубного ряда? 

  1. Анестезия или погружение в «сон».
  2. Атравматичное удаление подвижных зубов с минимальной травмой костных стенок лунок корней.
  3. Антисептическая обработка костной раны, кюретаж грануляций, то есть удаление из лунки тканей, поддерживающих воспалительный процесс и препятствующих правильному заживлению лунки.
  4. Наложение и фиксация хирургического шаблона, установка дентальных имплантатов в запрограммированном положении, контроль первичной стабильности имплантатов.  
  5. Заполнение лунок и дефектов альвеолярного отростка костно-пластическим материалом BioOss, закрытие зоны подсадки костной ткани мембраной богатой тромбоцитами - APRF.
  6. Ушивание раны.
  7. Фиксация и коррекция временной ортопедической конструкции (временных протезов).
  8. Замена временных ортопедических конструкций на постоянные через 4-6 месяцев.
картинка
Удаление зуба мудрости

Удаление «зуба мудрости» - не простая манипуляция из-за множества факторов, усложняющих процедуру:

  1. Затрудненное прорезывание – хроническое воспаление мягких тканей вокруг зуба и частые эпизоды его обострения.
  2. Неправильное положение зуба в челюсти, часто зубы «мудрости» прорезаются частично или не прорезаются в полость рта вообще, имея при этом горизонтальный наклон и близкое, а иногда переплетающееся расположение относительно важных анатомических образований (нижнечелюстной нерв, корни соседних зубов.
  3. Аномальная форма коронки зуба, в среднем коронка нижнего зуба «мудрости» больше по размерам относительно других жевательных зубов.
  4. Сложная анатомия корней зубов «мудрости» - тонкие и скривленные корни, часто плотно сросшиеся между собой «в замок» и с костной тканью.
  5. Близость и взаимосвязанность важных анатомических образований челюстно-лицевой области - нижнечелюстной нерв, гайморова пазуха, небная артерия, мышцы.
  6. Частое поражение кариозным процессом.

Причины для удаления зуба «мудрости»:

1. Профилактика скученности зубного ряда. 

В каких случаях ортодонтом может быть назначено удаление?

  • Скученность зубов
  • Дистальный прикус
  • Мезиальный прикус
  • Асимметрия зубных рядов
  • Зуб является причиной неправильного прикуса
  • Продолжение ортодонтического лечения невозможно без удаления

2. Профилактика и лечение различных заболеваний дальнего отдела полости рта, связанных с неправильным положением зубов «мудрости» в зубном ряду, от кариеса и его осложнений до различных проявлений патологии слизистых оболочек.

Сложное анатомическое расположение и анатомия самих зубов, близкое расположение важных анатомических образований (нижнечелюстной канал, гайморова пазуха) и их взаимосвязанное расположение с корнями «восьмых» зубов, требует от врача-хирурга тщательного анализа клинической ситуации, данных 3D рентгенографии и оценки всех возможных рисков и осложнений, как во время операции, так и после ее проведения. 

Как происходит удаление зуба мудрости?

1. Диагностика.

Как правило, к моменту удаления зуба основные диагностические мероприятия уже проведены и дополнительное обследование или анализы не требуется, за исключением случаев, когда пациент принимает медицинские препараты по жизненным показаниям или планируется проведение удаления с анестезиологическим пособием, тогда необходимо дополнительное обследование у смежных специалистов. 

2. Анестезия или погружение в «сон».

3. Атравматичное удаление зуба: его разделяют на несколько фрагментов, чтобы уменьшить объем иссечения кости вокруг коронки неправильно расположенного зуба и тем самым минимизировать риск травмы расположенных рядом анатомических образований.

4. Антисептическая обработка костной раны и заполнение лунки мембраной богатой тромбоцитами - APRF.

5. Ушивание лунки.


картинка
Удаление зуба без боли

Любое удаление зуба проходит под анестезией. В нашем Центре анестезии уделяется особое внимание. Каждому пациенту мы предлагаем индивидуальный список вариантов анестезии, который подбирается под конкретные процедуры, с учётом особенностей здоровья, ситуации и конечно ваших пожеланий.

Основная особенность анестезии в Немецком Стоматологическом Центре в том, что кроме классических уколов и седации (так называемого погружения в сон), мы предлагаем авторские седативные коктейли, которые действуют гораздо мягче классической седации. Вы остаётесь в сознании, но при этом уходит состояние тревоги (если оно присутствует при посещении стоматолога), вы полностью расслабляетесь и конечно не чувствуете никакой боли.

Доза и рецептура седативного коктейля всегда рассчитывается таким образом, чтобы его хватило на проведение всех манипуляций, а после посещения стоматолога вы вернулись в нормальное состояние и не отходили от анестезии ещё несколько часов, как это бывает с классическими методами обезболивания. 

Ещё одним важным преимуществом седативного коктейля перед другими видами анестезии является то, что он абсолютно безопасен для здоровья и никаким образом не влияет на работу вашего организма. И если у уколов или седации, не говоря уже про более тяжёлые формы наркоза, есть свои противопоказания, то в случае с седативным коктейлем мы можем индивидуально подобрать все компоненты и анестезиологический коктейль не будет иметь каких-либо противопоказаний.

Резекция

Если на корне зуба возникло какое-либо воспаление, то также может понадобиться вмешательство хирурга. Когда терапевтически вылечить невозможно, то показана операция под названием «резекция».
Устранив потенциально опасную часть зуба, хирург спасает его от удаления.

Как проходит резекция?
  1. Десна аккуратно надрезается
  2. Отсекается пораженная верхушка корня
  3. Десна бережно ушивается


Цены на услуги

Безболезненное удаление, восстановление и сохранение зубов - успешно работаем с самыми сложными случаями.

Полный прайс-лист

Консультация имплантолога

Осмотр и консультация стоматолога-хирурга (имплантолога) для составления чёткого плана для имплантации зубов.

Консультация хирурга

Первичный прием (осмотр, консультация) врача-стоматолога-хирурга.

Консультация гнатолога

Первичный прием (осмотр, консультация) одного из ведущих гнатологов Центра.
*все гнатологи клиники - выпускники Венской школы с международной практикой.

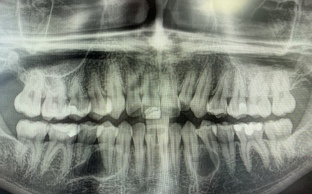
Компьютерная томография

Компьютерная томография челюстно-лицевой области: 3D сканирование, аксиальная проекция, серия профильных изображений (сагиттальные срезы), панорамная рентгенография.

Описание КТ

Описание и интерпретация компьютерных томограмм (КЛКТ) специалистом Центра.

Удаление 1 зуба

Удаление зуба под седацией, без боли и стресса. Наши хирурги успешно справляются даже с самыми безнадежными случаями, от которых отказываются в других клиниках.

Имплантация зубов

Установка зубных имплантов по индивидуальному плану лечения.
Вид импланта и методика установки определяется только после диагностики и консультации хирурга и имплантолога.

Кейсы: до и после

Все кейсы

Установка имплантатов, костная регенерация, МКР, пластика мягких тканей

Пациент обратился с целью установки зубных имплантов и ортопедической реабилитации.
Проведена установка имплантатов, направленная костная регенерация, МКР, пластика мягких тканей, наращивание десны и установка коронок. Узнать подробнее

Удаление ретинированного дистопированного зуба мудрости

Пациент пришёл удалить зуб мудрости.
Сложность данного кейса в том, что восьмой зуб упирается под углом в сторону седьмого зуба.  Узнать подробнее

Удаление зуба мудрости

Пациент направлен ортодонтом для удаления зуба мудрости. 
У зуба мудрости оказалось 4 корня, которые растут в разные стороны.
Удаление заняло 45 минут.  Узнать подробнее

Туннельная вестибулопластика

Пациент направлен врачом-ортодонтом с целью восстановления контура мягких тканей перед ортодонтическим лечением.
Проведена туннельная вестибулопластика. В дальнейшем пациента ждет ортодонтическое лечение и повторная коррекция уровня десны. Узнать подробнее

Удаление горизонтально лежащего зуба мудрости

Пациент направлен врачом-ортодонтом для удаления зуба мудрости, который лежит горизонтально. Зуб мудрости мешал прорезаться седьмому зубу.
Доступ к восьмому зубу был сильно ограничен, что усложняло удаление. 
Узнать подробнее

Удаление старого импланта и установка нового

Пациент обратился к врачу-ортопеду с целью протезирования имплантата, установленного ранее в другой клинике. Однако из-за неадекватного положения имплантата изготовить полноценную функциональную и эстетически красивую коронку не представлялось возможным. Поэтому проведено удаление имплантата и повторная имплантация в более правильную позицию.  Узнать подробнее

Рецессия десны

Пациент обратился с рядом жалоб. Была проведена рецессия десны. Узнать подробнее

Удаление сломанного зуба и имплантация

Пациентка обратилась с жалобой на перелом зуба, который ощутила при накусывании.
Провели имплантацию при помощи хирургического шаблона. 

Узнать подробнее

Имплантация с закрытым синус -лифтингом

Пациент обратился с жалобой на отсутствие зуба, для решения вопроса предложили провести имплантацию.
Для проведения имплантации не хватало высоты кости, поэтому сперва делали закрытый синус-лифтинг, далее вживление импланта. Узнать подробнее

Удаление наклоненной восьмерки

Пациента отправили на удаление восьмёрки из-за невозможности пролечить кариес между восьмым и седьмым зубом.
Восьмерка имеет наклон в горизонтальном направлении и упирается в седьмой зуб. Сложность в том, что зуб находится на нерве, и ошибки при удалении таких зубов могут привести в последствии к онемению губы и подбородка со стороны удаляемого зуба. 
Узнать подробнее

Удаления ретинированных зубов

Пациент пришёл по направлению ортодонта с аномалией: лишние зубы в передне-боковых отделах.
Провели ювелирное удаление через окошко в кости. Узнать подробнее

Удаление зуба и кюретаж

Пациент обратился с жалобой на острую боль при накусывании на 37 зуб (нижний зуб слева).
Диагностика показала разрежение костной ткани, обширный воспалительный процесс, который находится в контакте с нижним челюстным каналом. 
Принято решение удалить зуб и провести щадящий кюретаж 


Узнать подробнее

Комплексное лечение с установкой виниров

Пациентка обратилась в клинику с жалобами на оголение шеек и корней зубов, повышенную чувствительность зубов от холодного, горячего и других пищевых раздражителей, боли во время чистки зубов, косметический дефект.
Было предложено комплексное лечение, одним из этапов которого была операция по закрытию рецессии десны мягкими тканями.

Узнать подробнее

Костная пластика с последующей имплантацией

Пациентка пришла в Центр после удаления зуба стоматологам-хирургам в другой клинике. Возникли сомнения в качестве проведенного удаления.
Провели костную пластику с последующей имплантацией.
Узнать подробнее

Удаление зуба и одновременная имплантация

Пациент направлен врачом-терапевтом для удаления зуба 46 (нижний шестой зуб справа) и одновременной постановки имплантата.
Зуб был фрагментирован, чтобы удаление прошло максимально атравматично, то есть без повреждения окружающих костных стенок. После удаления установлен имплантат.
Узнать подробнее

Удаление шестёрок с имплантацией

Пациентка 28 лет пришла с жалобами на скученность зубов.

Перед установкой брекетов ей было необходимо полностью вылечить все зубы. В ходе диагностики мы выяснили, что нижние шестерки вылечить невозможно. В таком случае необходимо удалить зубы и установить имплантаты.

Узнать подробнее

Удаление зуба с имплантацией

Пациент 22 года обратилась к терапевту с жалобами на дискомфорт при накусывании на зуб в верхней челюсти. 

Диагностика показала трещину в корне зуба. Сохранить или вылечить зуб невозможно, поэтому было рекомендовано удаление зуба с последующей имплантацией.

Узнать подробнее

Удаление зуба и одномоментная имплантация

Пациентка обратилась в клинику с жалобами на воспаление десны в области переднего зуба верхней челюсти.

Обследование показало посттравматическую резорбция корня.

Мы удалили разрушенный корень и провели одномоментную имплантацию зуба.

Узнать подробнее

Комплексное лечение: ортодонтическое, хирургическое, ортопедическое

Пациентка обратилась с жалобами на неровные передние зубы.
При осмотре выявлено-сужение верхнего и нижнего зубных рядов, скученное положение зубов обеих челюстей, рецессия десны. КТ показала убыль костной ткани в области зубов на нижней челюсти на 50%.

Предложено комплексное лечение.

Узнать подробнее

Наращивание кости ламинатной техники Кюри

Пациент 40 лет пришел с жалобами на постоянно выпадающий мост верхней челюсти. В другой клинике не смогли сделать мост, который смог бы держаться и не выбиваться здоровыми зубами пациента. 

Для установки зубного имплантата в этом случае не хватало кости. Поэтому наш хирург предложил нарастить пациенту кость при помощи ламинатной техники Кюри и провёл операцию по наращиванию.

Узнать подробнее

Удаление непрорезающегося зуба мудрости

Пациентка 18 лет пришла на консультацию после того, как другой стоматолог хирург отправил ее в стационар челюстно-лицевой хирургии для удаления зуба мудрости. В стационаре предполагалось лежать неделю.

Зуб удалили за 1 час. Реабилитацию и заживление пациентка успешна прошла дома, а не в стационаре.


Узнать подробнее

Комплексное лечение с установкой виниров

Пациентка пришла с желанием поставить виниры. В ходе обследования было найдено несколько проблем и предложено комплексное лечение, которое включает в себя выравнивание зубов и исправление прикуса, некоторые хирургические манипуляции и конечно  установку виниров.

Узнать подробнее

Удаление сломанного зуба и одномоментная имплантация

Пациент обратился с жалобой на перелом зуба после падения. 
Проведено удаление зуба и установка имплантата и временной коронки в день оперативного вмешательства.

Узнать подробнее

Устранение уздечки губы

Пациент направлен ортодонтом для иссечения или устранения уздечки губы.
Уздечка губы крепилась слишком низко, из-за чего передние зубы при прорезывании разошлись в стороны, образовалась диастема. 
Было принято решено иссечь уздечку при помощи лазера.

Узнать подробнее

Особенности хирургии в Немецком Стоматологическом Центре

Лазерная хирургия

Для работы с мягкими тканями используется лазер. Он обеспечивает максимальную точность в работе. Послеоперационная рана меньше беспокоит, не кровоточит и быстрее заживает.

Послеоперационное восстановление в 3 раза быстрее

Нашим пациентам мы предлагаем комплекс восстанавливающих процедур на аппарате Indiba, которые ускоряют процесс заживления после удаления, операций и имплантации, а также снимают отёк, болевой синдром и способствуют скорейшей регенерации тканей.

Комфортная анестезия

Вид анестезии подбирается индивидуально, в зависимости от ваших личных потребностей и сложности операции. Мы используем авторские седативные коктейли для расслабления и полного обезболивания. Возможно проведение операции «во сне» — под общим наркозом, седацией, если того требует ваше психоэмоциональное и физическое состояние. В течение всей процедуры вы будете находиться под наблюдением анестезиолога, который контролирует жизненно важные показатели.

Лучшие материалы для костной пластики

При костных пластиках мы используем материалы Bio-Oss, Bio-oss collagen, Geistlich Bio - Gide, Ossix Plus. Эти материалы признаны лучшими для лечения костных дефектов ведущими стоматологами всего мира. Они безопасны и дают отличный результат.

Комплексный подход к каждому случаю

Для полноценной реабилитации всегда работаем командой.Для полноценного и качественного лечения подключаем специалистов других областей стоматологии: гнатолога, терапевта, эндодонтиста, ортодонта, ортопеда.

Удаление с восстановлением

После удаления зуба наши доктора могут сразу провести для вас имплантацию и восстановить недостающий зуб. Для имплантации мы используем лучшие имплантаты, проверенные временем и мировой практикой: Astra Tech implant system TX, Astra Tech implant system EV, Nobel Active, Nobel Parallel, Nobel Replace, Straumann BLX, Straumann TL, Straumann BL.

Что вас беспокоит?

иконка
Вырвать зуб
иконка
Подготовка к имплантации
иконка
Вырвать зуб мудрости
иконка
Зуб разрушен, треснул, сломался
иконка
Опустилась десна
иконка
Появилось образование во рту
иконка
Удалили зуб в другом месте, долго болит
иконка
Абсцесс, флюс, флегмона, отек, опухоль
иконка
Травма зуба
иконка
Киста в зубе, корне
иконка
Скололась постоянная пломба, часть зуба
иконка
Невозможно вылечить зуб
иконка
Острая боль при накусывании
иконка
Отек десны, пульсирующая боль зуба
иконка
Зуб мудрости не может прорезаться
иконка
Подвижность зуба, зуб шатается
иконка
Подрезать уздечку языка, губы
иконка
Короткая уздечка языка, губы
иконка
Оголение корней зубов

Кто проводит лечение

Специализация:

Врач стоматолог-ортопед, стоматолог-терапевт, стоматолог-хирург, гнатолог, клинический провайдер.

Миссия в клинике:

Эстетическое протезирование цельно-керамическими конструкциями; протезирование на имплантатах в качестве немедленной нагрузки; полнофункциональные микропротетические безметалловые восстановления; условно-съемное протезирование на телескопических системах и имплантатах; все виды прямых эстетических реставраций.

Записаться на прием Подробнее

Специализация:

Врач стоматолог-хирург, имплантолог,стоматолог-ортопед

Миссия в клинике:

Удаление зубов любой сложности, имплантация, имплантация в эстетически важной зоне, операции на мягких тканях полости рта, увеличение объема твёрдых и мягких тканей, комплексный подход к лечению заболеваний полости рта.

Записаться на прием Подробнее

Специализация:

Врач стоматолог-хирург, имплантолог

Миссия в клинике:

Удаление зубов любой сложности, имплантация, имплантация в эстетически важной зоне, операции на мягких тканях полости рта, увеличение объема твёрдых и мягких тканей, комплексный подход к лечению заболеваний полости рта.

Записаться на прием Подробнее

Отзывы

Почему выбирают нас

иконка

Наши пациенты обеспечены обезболиванием и анестезией не только во время приема у доктора. Для каждого пациента разрабатывается индивидуальная программа анестезии на время лечения зубов и программа обезболивания на весь период реабилитации после лечения и зубных операций.

Программа обезболивания включает самые современные и надежные препараты для эффективной и быстрой реабилитации после операции, регенерации тканей и быстрого восстановления. Программу постоперационной поддержки курирует Виктор Владимирович Корякин – анестезиолог-реаниматолог, член "EFAAD" (Европейского Общества Обезболивания в Стоматологии), заместитель главного врача Немецкого Стоматологического Центра. Как и все специалисты клиники, Виктор Владимирович имеет несколько медицинских специализаций.

иконка

За плечами наших специалистов обучение в Венской гнатологической школе, у основателей зарубежной и отечественной стоматологической гнатологии. Многие наши доктора получали дополнительную стоматологическую специализацию в престижных европейских учебных заведениях и стажировались за границей.

Все доктора Центра – имеют несколько ключевых специализаций. Среди нас кандидаты медицинских наук, ученые, преподаватели медицинских университетов, тренеры-практики, обучающие стоматологов по всей России и за рубежом.

иконка

Системный подход – философия Немецкого Стоматологического Центра. Именно эта идея определяет и организовывает нашу работу. Наши доктора всегда рассматривают организм как комплексную систему, где все части связаны. Проблема с зубами может быть вызвана вовсе не плохой гигиеной, а скрываться совершенно в других, неочевидных на первый взгляд вещах. Все доктора Немецкого Стоматологического Центра имеют несколько ключевых специализаций, что позволяет сопоставлять те самые неочевидные нюансы здоровья в единую систему и лечить не следствие, а причину, навсегда избавляя от проблем с зубами.

Наши доктора всегда работают в команде. В диагностике и принятии решений о методах лечения всегда участвует не один доктор, а три.

иконка

Уже на этапе диагностики и планирования лечения зубов мы можем с 99% точностью показать пациенту, как будут выглядеть его зубы после лечения в Немецком Стоматологическом Центре. Наш пациент всегда четко понимает, как будет закрываться его челюсть, как будут выглядеть его зубы, улыбка и лицо после лечения зубов. От нас пациент всегда уходит полностью удовлетворенный лечением и получает именно тот результат, который мы ему показали на первой встрече.

иконка

Безошибочность нашей работы и гарантия лучшего результата основана на трех ключевых составляющих:

  1. Глубокий аналитический и комплексный подход в диагностике. Для каждого пациента мы создаем индивидуальной программу обследования, которая может включать компьютерную томографию с широким спектром исследований и анализа, телерентгенографию (ТРГ), кондилографию, аксиографию, окклюзиограмму и другие методы диагностики. Техническое оснащение нашего центра считается одним из лучших в Москве.
  2. Авторская методика детального планирования операций, которая позволяет докторам слаженно работать на всех этапах лечения.
  3. Программа индивидуального анестезиологического и реабилитационного сопровождения каждого пациента. Вы будете чувствовать себя безопасно, спокойно и комфортно не только во время лечения, но и дома, после всех стоматологических манипуляций. Наш подход к лечению всегда предусматривает отдельную программу послеоперационной реабилитации для быстрого и качественного заживления и восстановления.

иконка

Удобное расположение Немецкого Стоматологического Центра на Новом Арбате. К нам легко и быстро добираться как на общественном, так и на личном транспорте. Центр находится в пешей доступности от центральных бизнес центров, поэтому к нам на лечение очень удобно приходить сразу после работы.
Для владельцев авто у нас есть отдельная собственная парковка.