+7 495 737 44 66
Пн. - пт.: с 9:00 до 21:00
Сб.: с 9:00 до 18:00
улица Новый Арбат, 30/9,
Россия, Москва

Пн. - пт.: с 9:00 до 21:00 Сб.: с 9:00 до 18:00

+7 495 737 44 66
Профессиональная гигиена
Не просто чистка, а комплексный уход за зубами

Для чувствительных зубов

Специальная программа ухода, укрепления и снижения чувствительности эмали

Индивидуальная программа

Частота, формат чистки и средства ухода подбираются именно под ваш случай

Профессиональная гигиена

картинка
Для чего нужна гигиена?

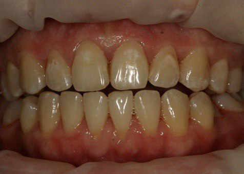
Профессиональная гигиена полости рта — очень важный этап лечения зубов и десен. Комплексная чистка зубов полностью устраняет зубные отложения, тёмный налёт, зубной камень. Проводится для предотвращения нарушения состояние пломб, вкладок, коронок, имплантатов, брекетов, а также является процедурой профилактики кариеса. Это гарантирует эффективный и долгосрочный результат сохранения стоматологической конструкции в полости рта и здоровья зубов и дёсен.

На зубах остается бактериальный налёт после каждого приема пищи. Даже самая правильная и тщательная чистка в домашних условиях не помогает устранить зубные отложения в межзубных промежутках и у десны. Со временем налет минерализуется и накапливается под десной, приводя к возникновению кариеса и воспалению пародонта (связка зуба).

Профессиональная гигиена полости рта - это профилактический комплекс процедур для поддержания вашего здоровья.

картинка
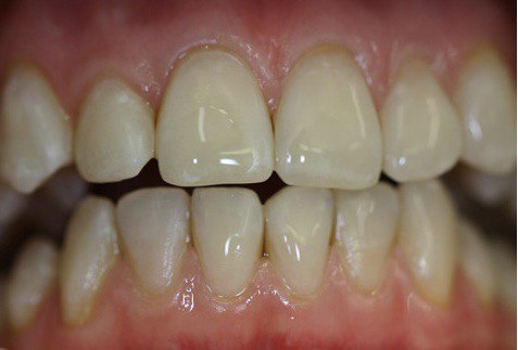
Плюсы профессиональной гигиены
ПРОФИЛАКТИКА
Полностью устраняется главная причина заболеваний полости рта — бактериальный налет, а также улучшается общее состояние здоровья. Фторирование надежно укрепляет эмаль. Риск появления кариеса и заболеваний десен снижается до минимума.
КОМФОРТ
Снижается чувствительность зубов, они обретают естественный цвет, становятся чистыми и гладкими. После процедуры профессиональной чистки зубов десны перестают кровоточить, плотнее прилегают к зубам, приобретают здоровый вид и цвет. Состояние мягких тканей быстро приходит в норму. Вы с удовольствием принимаете пищу и часто улыбаетесь.
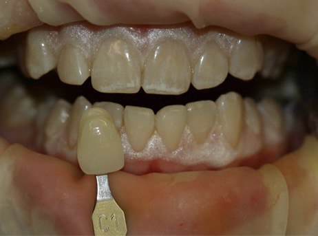
ОСВЕТЛЕНИЕ
За счет удаления пигментированного налета и чистки зубного камня с поверхности зубов достигается восстановление естественного цвета эмали: визуально улыбка становится светлее на 1–2 тона.
СВЕЖЕСТЬ
Зубные отложения являются источником неприятного запаха. После профессиональной чистки зубов ваше дыхание становится свежим, и вы чувствуете себя еще увереннее.
ДЛИТЕЛЬНЫЙ РЕЗУЛЬТАТ
Поверхность зубов после чистки тщательно полируется. Это важно не только для комфорта: на гладкой эмали гораздо медленнее скапливается налет.
картинка
Что входит в профессиональную гигиену полости рта
Ультразвуковая чистка зубов
Направленные высокочастотные колебания ультразвукового аппарата c различными насадками разрушают зубной камень, не травмируя эмаль.
иконка
Чистка зубов Air-Flow
Это аппарат, из которого под давлением поступает вода и мелкие очищающие частицы с индивидуально подобранной абразивностью для вашей эмали. Специально подобранная смесь под напором смывает пигментированный налет и остатки твердых зубных отложений даже в самых труднодоступных местах.
иконка
Полировка
Эмаль полируется до появления природного блеска — вы ощутите приятную гладкость и легкость.
иконка
Реминерализация
Специалист учитывает ваши привычки, питание и качество воды, которую вы пьете. На зубы наносится необходимое количество подобранного именно вам защитного геля для укрепления эмали и снятия чувствительности. Он не только оздоравливает эмаль, но и замедляет рост бактерий.
картинка
Гигиена под микроскопом

Профессиональная гигиена полости рта под микроскопом является современной методикой.

Под микроскопом врач-гигиенист видит скрытые проблемы зубов и десен, невидимые при обычном осмотре:

  • малейшее воспаление десны,
  • кариозные образования на самой ранней стадии,
  • незначительные нарушения герметичности пломб,
  • небольшие остатки зубного камня и мягкий зубной налет, не видимый без микроскопа.

Гигиена под микроскопом позволяет провести лечение минимально травматично, более тщательно, не нанося вреда эмали и дёснам, не упуская из виду какие-либо проблемы , требующие внимания стоматолога.


Реминерализации эмали зубов - это естественный процесс восстановления поражённых участков зубов, при котором ионы кальция фосфаты и фтора заполняют кристаллические пустоты деминерализованных участков эмали. Существует два основных способа минерализации:

  1. Наружная обработка поверхности зубов минерализующими растворами, которые наносятся на эмаль в виде аппликации.

  2. Доставка ионов минеральных компонентов внутрь зубной эмали производится при помощи физиотерапевтических аппаратов: электрофорез и фонофорез.

Для чего нужна минерализации? Для укрепления эмали, для снижения чувствительности зубов, предотвращает развитие кариеса.



Существует несколько видов чистки зубов:

  • ультразвуковая

  • Air flow

  • гигиеническая ручная

  • кюретаж (поддесневая чистка) 

Что такое ультразвуковая чистка? Ультразвуковая чистка зубов происходит при помощи аппарата ультразвука и различных насадок.

Air flow - это пескоструйный аппарат, который чистит зубы смесью специального порошочка с водой под давлением. Air flow снимает пигментированный налёт.

Гигиеническая чистка убирает мягкий и пигментированный зубной налёт при помощи зубной щётки, профессиональных паст. При гигиенической чистке производится полировка зубов и ещё иногда применяется аппарат Air flow.

Ручная чистка зубов используется для снятия твёрдых зубных отложений.

Глубокая чистка - это кюретаж, в ней убирается налёт, который формируется под дёснами.

Профилактика кариес - это регулярный уход за полостью рта, соблюдение правильной техники чистки зубов, использование зубной нити, фторсодержащих зубных паст, ополаскивателей, пенок. Обязательно нужно снизить употребление сахара и соблюдать питьевой режим, посещать стоматолога в течение двух раз в год и обязательно делать профессиональную чистку зубов.  


Твёрдый зубные отложения, т.е. зубной камень, можно убрать при помощи ультразвука и при помощи ручных инструментов. И первый, и второй способ производится в нашей клинике.


Шлифовка и полировка зубов - это этапы профессиональной гигиены полости рта. Шлифовка зубов проходит в начале процедуры: убираются различные неровности поверхности эмали, твёрдый зубные отложения и налёт. 

Полировка зубов - завершающий этап профессиональной чистки зубов. Полировка зубов необходима, чтобы сгладить все шероховатые и неровные поверхности эмали. Когда эмаль гладкая, налёт не может к ней приклеиться, зубы дольше остаются чистыми.

Чистка и отбеливание зубов - это две разные процедуры. Благодаря профессиональной чистке зубов с поверхности эмали убирается налёт и очищаются все потемневшие участки при помощи ручных инструментов, ультразвука, Air Flow аппарата и полировки. Т.е. чисткой убирается всё с поверхности эмали зубов.

Отбеливание - это другая процедура, направленная на осветление эмали при помощи различных составов, в которые входит либо перекись водорода, либо перекись карбамида. Такой состав под воздействием атомарного кислорода выталкивает на себя с внутренней поверхности эмали накопившейся тёмный пигмент. За счёт этого происходит осветление эмали зубов. Т. е. чистка и отбеливание зубов - это две разные процедуры. Для качественного и долгосрочного результата сначала производится чистка зубов, потом отбеливание.


Если у пациента установлены брекеты, профессиональная чистка зубов производится обязательно. В таких случаях она делается чаще, чем два раза в год. Как часто необходима чистка зубов с брекетами, определяет врач-ортодонт. Частота проф чистки зависит от того, как пациент соблюдает гигиену полости рта в домашних условиях. Если пациент не справляется, то он направляется к гигиенисту для проведения профессиональной гигиены полости рта. Кому-то требуется проводить раз в полтора месяца, кому-то - раз в 3 месяца, иногда раз в месяц. 


Чистка Air Flow - это снятие именно пигментированного тёмного налёта с эмали зубов. Т.к. аппарат Air Flow пескоструйный (смесь воды и специального абразивного состава), он ещё и полирует поверхность эмали зубов.


Ультразвуковая чистка зубов не вредна. Она показана всем для поддержания гигиены рта и профилактики кариеса.

Единственные ограничения по поводу применения ультразвука:

  1. первый триместр беременности;

  2. если есть наличие карты стимулятора пациента.

Профессиональная гигиена полости рта необходима, чтобы вовремя выявить наличие кариеса и воспалительных процессов. То есть это не просто процедура чистки, это прежде всего профилактика заболеваний.

Проф гигиена нужна прежде всего для снижения развития воспалительных заболеваний тканей пародонта, таких как гингивит, пародонтит, а также снижает риск развития и предотвращает кариес. Профессиональная чистка позволяет удалить твёрдые зубные отложения и биоплёнку с поверхности зубов, убрать пятна, которые появляются при употреблении красящих продуктов питания, а также при наличии вредных привычек (курение) и возвращает зубам естественный цвет и гладкость. После чистки зубов эмаль укрепляется при помощи реминерализующих состав. Ещё один приятный бонус - свежее дыхание после чистки.



Цены на услуги

Консультация гнатолога

Первичный прием (осмотр, консультация) одного из ведущих гнатологов Центра.
*все гнатологи клиники - выпускники Венской школы с международной практикой.

Профессиональная гигиена полости рта

Комплексная программа чистки и ухода за зубами, которая включает ультразвуковую чистку, чистку Air Flow, полировку и реминерализацию зубов.

Реминерализующая терапия

Нанесение на зубы специального защитного геля для укрепления эмали, снятия чувствительности зубов и защиты от роста бактерий.

Кейсы: до и после

Все кейсы

Выравнивание цвета эмали

Пациентка обратилась с жалобами на белые пятна на зубах и потемнение пломбы между центральными резцами верхней челюсти.
Была проведена микроабразивная обработка меловидных пятен (локализованного флюороза) передних зубов верхней челюсти.

Узнать подробнее

Комплексная гигиена: чистка и отбеливание

Пациентка обратилась с жалобами на неравномерный цвет зубов и наличие белых пятен на зубах.
Было проведено лечение генерализованного флюороза методом микрообразии эмали в сочетании с методом химического отбеливания зубов с использованием лазера. Узнать подробнее

Профессиональная гигиена

Профессиональная чистка зубов Узнать подробнее

Преимущества чистки зубов в Немецком Стоматологическом Центре

Индивидуальная программа

Доктор подбирает для вас индивидуальную программу чистки и кратность визитов на профессиональную гигиену полости рта. Дополнительно назначаются процедуры для укрепления, минерализации и т.д.

Гигиена под микроскопомов

Позволяет провести чистку зубов бережно и максимально тщательно, не нанося даже малейшего вреда эмали и дёснам и не упуская из виду какие-либо проблемы, требующие внимания стоматолога.

Оригинальные материалы и системы

Мы работаем с составами и системами лучших производителей (Швейцария, Япония, Германия, США). Никакого Китая, аналогов и заменителей.

Подходит для чувствительных зуб

Мы не просто чистим зубы от налёта, а проводим целый комплекс специальных процедур по укреплению и восстановлению эмали, что особенно важно для чувствительных зубов. Комплекс профессиональной гигиены способствует снижению чувствительности зубов.

Профилактика кариеса

Профессиональная чистка зубов в Немецком Стоматологическом Центре - самый надежный вариант профилактики различных заболеваний зубов, в том числе и кариеса.

Результат после 1 визита

Комплексная программа проф гигиены даёт ощутимый видимый результат после 1 визита.

Что вас беспокоит?

иконка
Удаление зубного камня
иконка
Ультразвуковая чистка зубов
иконка
Чистка зубов перед брекетами
иконка
Убрать тёмный налёт
иконка
Убрать налёт курильщика
иконка
Чистка зубов Air Flow
иконка
Чистка зубов от камня
иконка
Запах изо рта
иконка
Повышенная чувствительность эмали зубов
иконка
Чистка зубов перед протезированием
иконка
Чистка зубов перед имплантацией
иконка
Реминерализация зубов

Кто проводит лечение

Специализация:

Стоматолог гигиенист. Сертифицированный специалист по отбеливанию зубов.

Должностные обязанности:

Профессиональная гигиена полости рта; снятие зубных отложение, как наддесневых, так и поддесневых; закрытый кюретаж пародонтальных карманов; чистка Air-Flow; удаление налета курильщика, ручная чистка и чистка ультразвуком; обучение профессиональной гигиене полости рта, демонстрация пациенту правильных методов чистки зубов; определение гигиенических индексов, подбор индивидуальных средств гигиены; отбеливание зубов.

Записаться на прием Подробнее

Отзывы

Почему выбирают нас

иконка

Наши пациенты обеспечены обезболиванием и анестезией не только во время приема у доктора. Для каждого пациента разрабатывается индивидуальная программа анестезии на время лечения зубов и программа обезболивания на весь период реабилитации после лечения и зубных операций.

Программа обезболивания включает самые современные и надежные препараты для эффективной и быстрой реабилитации после операции, регенерации тканей и быстрого восстановления. Программу постоперационной поддержки курирует Виктор Владимирович Корякин – анестезиолог-реаниматолог, член "EFAAD" (Европейского Общества Обезболивания в Стоматологии), заместитель главного врача Немецкого Стоматологического Центра. Как и все специалисты клиники, Виктор Владимирович имеет несколько медицинских специализаций.

иконка

За плечами наших специалистов обучение в Венской гнатологической школе, у основателей зарубежной и отечественной стоматологической гнатологии. Многие наши доктора получали дополнительную стоматологическую специализацию в престижных европейских учебных заведениях и стажировались за границей.

Все доктора Центра – имеют несколько ключевых специализаций. Среди нас кандидаты медицинских наук, ученые, преподаватели медицинских университетов, тренеры-практики, обучающие стоматологов по всей России и за рубежом.

иконка

Системный подход – философия Немецкого Стоматологического Центра. Именно эта идея определяет и организовывает нашу работу. Наши доктора всегда рассматривают организм как комплексную систему, где все части связаны. Проблема с зубами может быть вызвана вовсе не плохой гигиеной, а скрываться совершенно в других, неочевидных на первый взгляд вещах. Все доктора Немецкого Стоматологического Центра имеют несколько ключевых специализаций, что позволяет сопоставлять те самые неочевидные нюансы здоровья в единую систему и лечить не следствие, а причину, навсегда избавляя от проблем с зубами.

Наши доктора всегда работают в команде. В диагностике и принятии решений о методах лечения всегда участвует не один доктор, а три.

иконка

Уже на этапе диагностики и планирования лечения зубов мы можем с 99% точностью показать пациенту, как будут выглядеть его зубы после лечения в Немецком Стоматологическом Центре. Наш пациент всегда четко понимает, как будет закрываться его челюсть, как будут выглядеть его зубы, улыбка и лицо после лечения зубов. От нас пациент всегда уходит полностью удовлетворенный лечением и получает именно тот результат, который мы ему показали на первой встрече.

иконка

Безошибочность нашей работы и гарантия лучшего результата основана на трех ключевых составляющих:

  1. Глубокий аналитический и комплексный подход в диагностике. Для каждого пациента мы создаем индивидуальной программу обследования, которая может включать компьютерную томографию с широким спектром исследований и анализа, телерентгенографию (ТРГ), кондилографию, аксиографию, окклюзиограмму и другие методы диагностики. Техническое оснащение нашего центра считается одним из лучших в Москве.
  2. Авторская методика детального планирования операций, которая позволяет докторам слаженно работать на всех этапах лечения.
  3. Программа индивидуального анестезиологического и реабилитационного сопровождения каждого пациента. Вы будете чувствовать себя безопасно, спокойно и комфортно не только во время лечения, но и дома, после всех стоматологических манипуляций. Наш подход к лечению всегда предусматривает отдельную программу послеоперационной реабилитации для быстрого и качественного заживления и восстановления.

иконка

Удобное расположение Немецкого Стоматологического Центра на Новом Арбате. К нам легко и быстро добираться как на общественном, так и на личном транспорте. Центр находится в пешей доступности от центральных бизнес центров, поэтому к нам на лечение очень удобно приходить сразу после работы.
Для владельцев авто у нас есть отдельная собственная парковка.