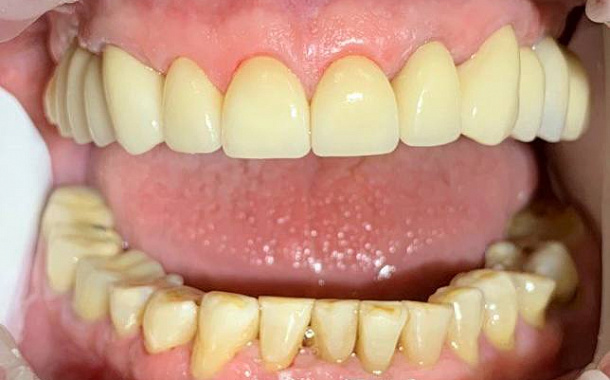
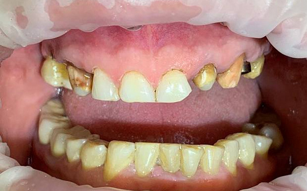
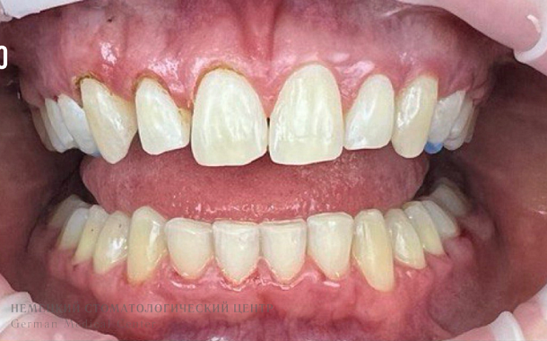
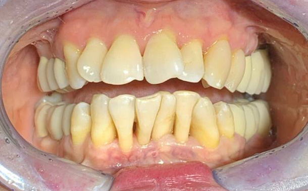
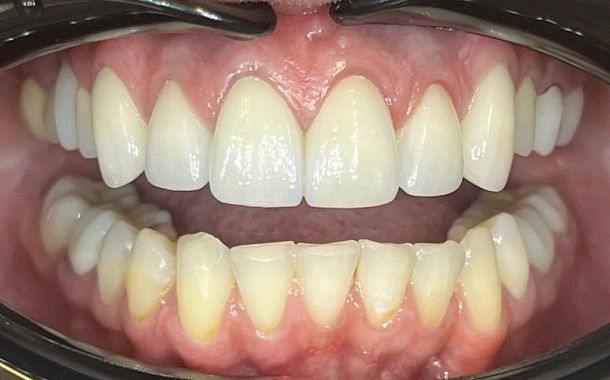
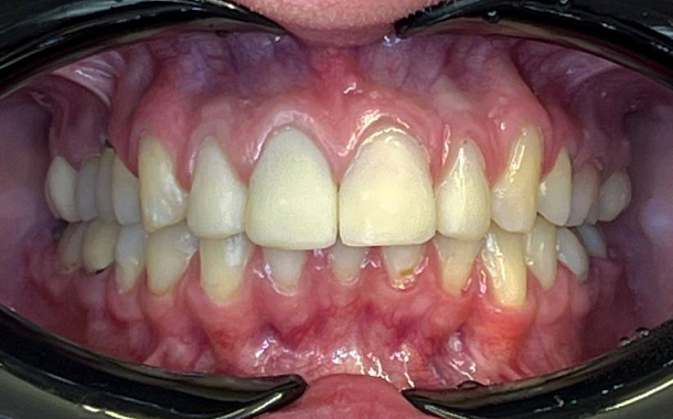
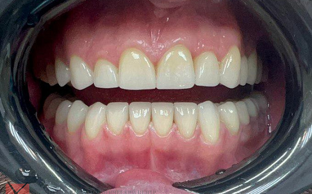
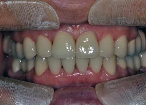
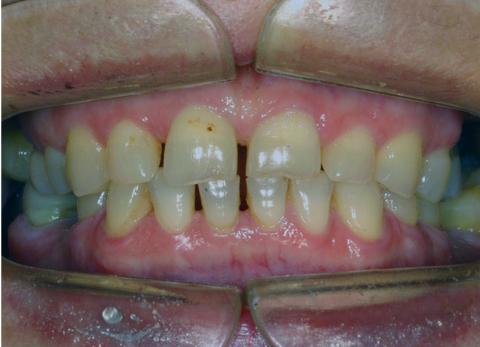
Преимущества Aoralscan 3 в ортопедии и протезировании
Высочайшая точность для идеальной посадки
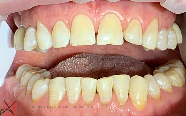
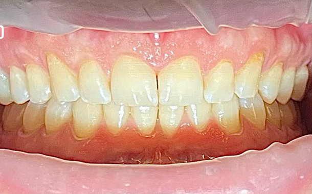
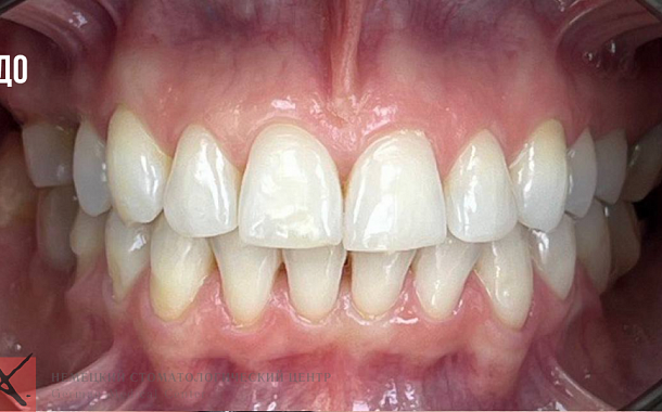
Aoralscan 3 обеспечивает сканирование с точностью до 6,9 мкм, что позволяет создавать максимально точные цифровые слепки. Это критически важно для изготовления коронок, мостов, виниров и других ортопедических конструкций, гарантируя их идеальную посадку и долговечность.Скорость и комфорт для пациентов
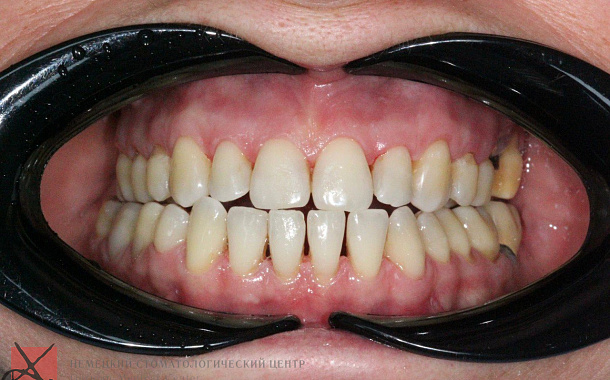
Забудьте о неудобных традиционных слепках! Сканирование обеих челюстей занимает всего 45 секунд, делая процедуру быстрой и комфортной. Это особенно важно для пациентов с повышенным рвотным рефлексом или чувствительностью.Широкий спектр применения
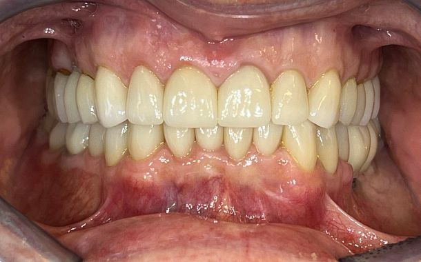
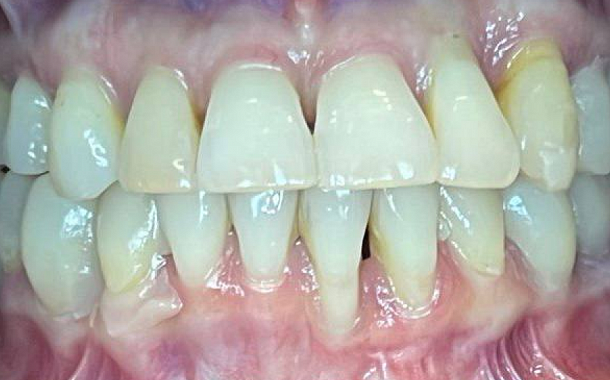
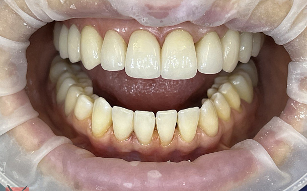
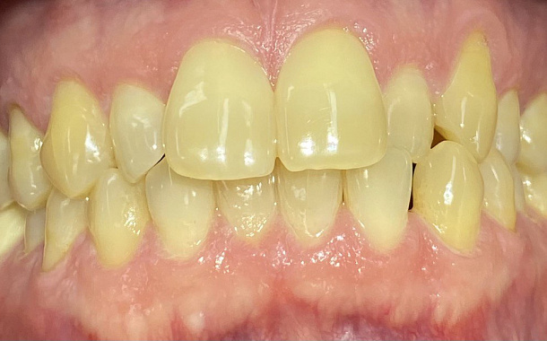
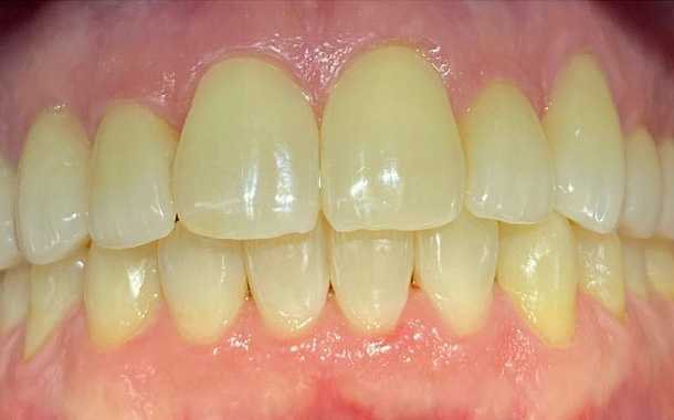
Aoralscan 3 идеально подходит для планирования и изготовления:- Коронок и мостов
- Виниров
- Вкладок и накладок
- Съемных и несъемных протезов
- Имплантатов и абатментов
Интеграция с CAD/CAM системами
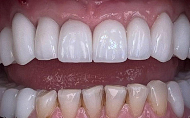
Сканер легко интегрируется с современными CAD/CAM системами, позволяя изготавливать ортопедические конструкции прямо в клинике или отправлять цифровые модели в лабораторию для высокоточного производства.Как Aoralscan 3 улучшает процесс протезирования и реставрации?
- Точное планирование: Детальные 3D-модели позволяют нашим специалистам тщательно спланировать каждый этап лечения, учитывая все анатомические особенности пациента.
- Визуализация результатов: Пациенты могут увидеть предполагаемый результат лечения еще до его начала, что помогает в принятии информированных решений.
- Сокращение сроков лечения: Благодаря цифровым технологиям, время изготовления ортопедических конструкций значительно сокращается.
- Минимизация погрешностей: Высокая точность сканирования снижает риск ошибок при изготовлении протезов и реставраций.
- Улучшенная коммуникация с зуботехнической лабораторией: Цифровые модели обеспечивают более эффективное взаимодействие между врачом и зубным техником.
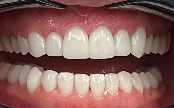
Внедрение Aoralscan 3 в нашу практику – это еще один шаг к обеспечению наших пациентов самым высоким уровнем стоматологической помощи. Мы стремимся сочетать передовые технологии с опытом наших специалистов, чтобы предоставить вам:
- Максимально точные и эстетичные ортопедические конструкции
- Комфортное и быстрое лечение
- Долговечные результаты
- Индивидуальный подход к каждому случаю


















































































































