+7 495 737 44 66
Пн. - пт.: с 9:00 до 21:00
Сб.: с 9:00 до 18:00
улица Новый Арбат, 30/9,
Россия, Москва

Пн. - пт.: с 9:00 до 21:00 Сб.: с 9:00 до 18:00

+7 495 737 44 66
Ортодонтия
Специальная программа лечения для подростков

Гнатологический подход

Гармоничный прикус — залог здоровья ребёнка: осанка, дыхание, самочувствие в балансе.

Диагностика с точностью до микрона

Максимальная точность за минимум времени: 3D-план лечения за 1 визит.

Детская ортодонтия

картинка
Детская ортодонтия

Красивая и здоровая улыбка – залог уверенности и успеха вашего ребенка в будущем. Однако многие родители сталкиваются с проблемами развития зубочелюстной системы у детей, которые могут серьезно повлиять на качество жизни малыша. В Немецком Стоматологическом Центре мы предлагаем профессиональную помощь в области детской ортодонтии, чтобы решить эти проблемы на ранних стадиях.

Признаки неправильного прикуса у ребенка

Обратите внимание на следующие симптомы у вашего ребенка:

  • Асимметрия нижней трети лица
  • Ночной скрежет зубами (бруксизм)
  • Затруднения при пережевывании пищи
  • Проблемы с откусыванием еды
  • Боли в области жевательных мышц и височно-нижнечелюстного сустава

Если вы заметили хотя бы один из этих признаков, рекомендуем как можно быстрее записаться к ортодонту детскому в нашем центре.

Комплексный подход к исправлению прикуса у детей

В Немецком Стоматологическом Центре все детские ортодонты также являются гнатологами. Это означает, что наш подход к лечению и исправлению прикуса всегда комплексный и ориентирован на долгосрочную перспективу. Наши детские стоматологи-ортодонты учитывают, как текущее и новое положение зубов и челюсти будет влиять на весь организм, проводя лечение так, чтобы максимально избавить ребенка от проблем с зубами в будущем.

Благодаря такому подходу ваш ребенок избавится не только от неровных зубов, но и от многих проблем со здоровьем, которые на первый взгляд могут казаться не связанными с зубами:

  • Головные боли
  • Бруксизм
  • Боли в спине
  • Проблемы с позвоночником
  • Плоскостопие

Передовые технологии для точной диагностики

Немецкий Стоматологический Центр оснащен самым современным оборудованием, что позволяет проводить всестороннюю диагностику и планирование лечения:

  • Рентгенографическая система Dentsply Sirona Axeos и панорамный рентгеновский аппарат Orthophos XG Plus (Германия)
  • Дентальные цифровые рентгеновские аппараты Dentsply Sirona HELIODENT PLUS во всех кабинетах
  • Интраоральный 3D сканер Shining 3D Aoralscan 3, обеспечивающий сканирование всей челюсти за 45 секунд с точностью до 6,9 мкм

Благодаря этому оборудованию все необходимые исследования и диагностику можно провести за один день, не покидая Центр. Такая передовая диагностика позволяет выявить даже самые неявные и скрытые проблемы, что обеспечивает детальное планирование эффективного лечения неправильного прикуса у ребенка.

Лучший детский ортодонт в Москве

Немецкий Стоматологический Центр с 2000 года входит в каталог лучших клиник мира, что подтверждает высокий уровень оснащения и качества предоставляемых услуг. Наши детские ортодонты в Москве – это крутые специалисты с международными дипломами и практикой, постоянно совершенствующие свои навыки и применяющие самые современные методики лечения.

Комфорт для маленьких пациентов

В НСЦ действует особая система стресс-менеджмента для детей и уникальные протоколы работы. Благодаря этому дети остаются в полном восторге от посещения детского стоматолога-ортодонта и с удовольствием проходят лечение.

Записаться к лучшему детскому ортодонту в Москве

Если вы ищете профессиональную помощь в области детской ортодонтии, доверьте здоровье улыбки вашего ребенка специалистам Немецкого Стоматологического Центра. Записаться к ортодонту детскому можно прямо сейчас, позвонив по телефону или оставив заявку на нашем сайте.Не откладывайте решение проблем с прикусом вашего ребенка. Обратитесь к лучшим детским ортодонтам Москвы в Немецком Стоматологическом Центре и подарите своему малышу красивую и здоровую улыбку на всю жизнь!

Первый визит к ортодонту рекомендуется в возрасте 6-7 лет, когда начинается смена молочных зубов на постоянные.
Неправильный прикус, скученность зубов, трудности с жеванием или речью, ранняя потеря молочных зубов, привычка сосать палец.
Да, в некоторых случаях используются съемные аппараты, трейнеры или пластинки, особенно у детей младшего возраста.
Обычно брекеты ставят с 10-12 лет, когда прорезались все постоянные зубы, но это индивидуально.
Нет, при правильном подходе ортодонтическое лечение безопасно и для молочных зубов.
В среднем от 1 до 3 лет, но длительность зависит от сложности случая и метода лечения.
Может быть небольшой дискомфорт в первые дни, но сильной боли обычно нет.
Иногда это необходимо для создания места, но решение принимается индивидуально.
Требуется более тщательная гигиена с использованием специальных щеток и ирригаторов.
Да, но рекомендуется использовать специальные защитные каппы.
Обычно раз в 4-6 недель для корректировки и контроля.
Оно значительно снижает риск проблем, но не гарантирует их полное отсутствие.
Может быть временное влияние, но в долгосрочной перспективе лечение улучшает речь.
Съемные пластинки, трейнеры, брекет-системы, лицевые маски и другие.
Объяснить важность, использовать систему поощрений, показывать позитивные примеры. Наши доктора помогают родителям в мотивации ребёнка.
Рекомендуется избегать твердой, липкой и сладкой пищи, особенно при ношении брекетов.
Обычно постоянно в течение первых 6 месяцев, затем по ночам в течение нескольких лет.
Да, коррекция прикуса может улучшить дыхание, особенно при проблемах с дыханием через нос.
Это зависит от конкретного страхового полиса, некоторые планы покрывают часть расходов.
Редко могут возникнуть кариес, воспаление десен или корней зубов, но при правильном уходе риски минимальны.

Цены на услуги

Полная ортодонтическая диагностика

Проведение комплекса диагностических мероприятий для составление полного заключения и детального плана лечения.

Съемный функциональный аппарат

Предназначен для пациентов в возрасте от 4 до 10 лет.

Съемный функциональный аппарат

Для пациентов от 10 лет и более.

Ортодонтическая коррекция при помощи элайнеров Light

1 дуга (от 1 до 4 шагов) на срок использования до 8 месяцев.

Кейсы: до и после

Все кейсы

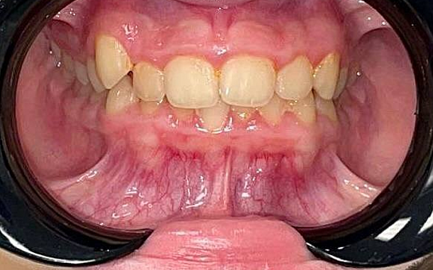
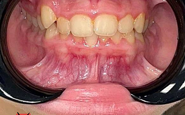
Исправление прикуса у 10-летней пациентки

Второй этап ортодонтического лечения. На этот раз пациентке уже 10 лет, есть недостаток места на верхней и нижней челюсти. Для решения проблемы поставили съёмные пластинки на обе челюсти. Узнать подробнее

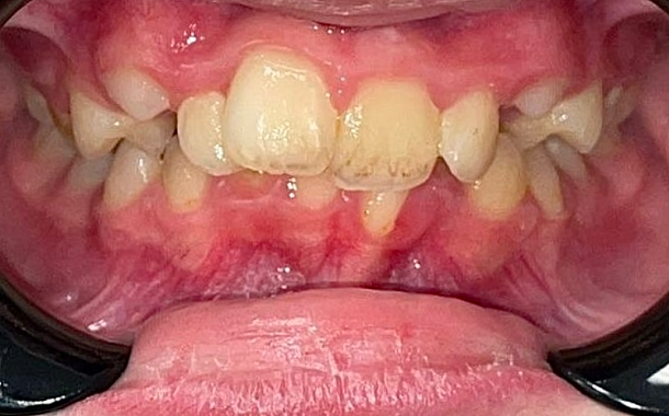
Исправление прикуса у 9-летней пациентки

Пациентка 9 лет пришла с рядом проблем: ротация верхней челюсти, скученное положение зубов, глубокая окклюзия.
Провели работу на функциональном аппарате, увеличивающем объем костной ткани верхней челюсти. На нижнюю челюсть поставили расширяющую пластинку.
Узнать подробнее

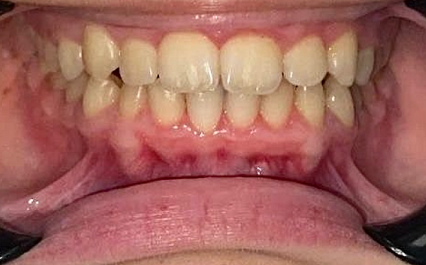
Ортодонтическое лечение на брекетах у подростка 15 лет

Пациент-подросток, возраст 15 лет. Пришел с большим списком проблем, от аномального положения отдельных зубов до минимального резцового перекрытия. Проведено ортодонтическое лечение на брекетах. Узнать подробнее

Особенности детского ортодонтического лечения

Долгосрочный эффект: лечение с прицелом на будущее

Наш подход не ограничивается исправлением текущих проблем. Мы планируем лечение так, чтобы обеспечить здоровье зубочелюстной системы вашего ребенка на долгие годы вперед. Это позволяет избежать повторных корректировок и минимизировать риски возникновения проблем в будущем.

Передовая диагностика: точность до микрона

Наш центр оснащен ультрасовременным оборудованием, включая 3D-сканеры и цифровые рентгеновские аппараты. Интраоральный сканер Shining 3D Aoralscan 3 создает цифровые слепки с точностью до 6,9 мкм за 45 секунд. Это позволяет нам выявлять даже малейшие отклонения и планировать лечение с непревзойденной точностью.

Международное признание: в каталоге лучших клиник мира с 2000 года

Немецкий Стоматологический Центр входит в каталог лучших клиник мира более 20 лет. Это подтверждает высочайший уровень нашего оборудования, квалификации специалистов и качества услуг. Выбирая нас, вы доверяете здоровье вашего ребенка признанным экспертам международного уровня.

Все исследования в одном месте за один день

Благодаря полному оснащению центра, мы проводим все необходимые исследования и диагностику за одно посещение. Это экономит ваше время и позволяет быстро приступить к лечению. От первичной консультации до детального плана лечения – все это вы получите в течение одного визита.

Уникальная система стресс-менеджмента для детей

Мы разработали специальные протоколы работы с детьми, которые превращают визит к ортодонту в увлекательное приключение. Наша система стресс-менеджмента помогает детям преодолеть страх перед стоматологическими процедурами и с удовольствием посещать врача.

Что вас беспокоит?

иконка
асимметрия нижней трети лица
иконка
бруксизм
иконка
затруднение при пережевывании пищи
иконка
боли в области жевательных мышц и ВНЧС
иконка
искривление зубных рядов
иконка
неправильный прикус

Кто проводит лечение

Специализация:

Врач ортодонт, гнатолог

Master of science (Магистр естесственных наук), училась и практиковалась в Австрии в Венском Университете

Миссия в клинике:

Ведение ортодонтического приема как взрослых, так и детей в полном объёме. Проведение комплексной гнатологической и ортодонтической диагностики. Ведение пациента совместно с хирургом, ортопедом и терапевтом. Лечение детей и взрослых с помощью съемных( элайнеры, пластинки) и несъёмных ( брекеты, ортопланты, аппараты хайрекс, форсус и тд) систем. Лечение патологий ВНЧС, связанных с нарушениями зубочелюстной системы.

Записаться на прием Подробнее

Специализация:

Врач стоматолог-ортопед, гнатолог.

Миссия в клинике:

Гнатологический функциональный анализ, диагностические электромиографические исследования, миорелаксация, эстетическое протезирование (виниры, коронки, вкладки, микропротезирование), виды съемного и несъемного протезирования на имплантатах, композитные реставрации, отбеливание зубов.


Записаться на прием Подробнее

Специализация:

Врач стоматолог-ортодонт, гнатолог.

Член российского профессионального общества ортодонтов России, Dental Brilliance специалист компании Flexiligner

Миссия в клинике:

Ведение ортодонтического приёма.

Ведение пациентов с дисфункцией ВНЧС различной этиологии (окклюзионная терапия (шины, позиционеры, миорелаксирующие каппы). Проведение комплексной диагностики, лечебно-диагностических процедур (электромиорелаксация, кондилография). Комплексный подход к лечению пациентов. Взаимодействие со смежными специалистами (стоматологи-терапевты, ортопеды, хирурги, детские стоматологи, ЛОР врачи, логопеды).


Записаться на прием Подробнее

Отзывы

Почему выбирают нас

иконка

Наши пациенты обеспечены обезболиванием и анестезией не только во время приема у доктора. Для каждого пациента разрабатывается индивидуальная программа анестезии на время лечения зубов и программа обезболивания на весь период реабилитации после лечения и зубных операций.

Программа обезболивания включает самые современные и надежные препараты для эффективной и быстрой реабилитации после операции, регенерации тканей и быстрого восстановления. Программу постоперационной поддержки курирует Виктор Владимирович Корякин – анестезиолог-реаниматолог, член "EFAAD" (Европейского Общества Обезболивания в Стоматологии), заместитель главного врача Немецкого Стоматологического Центра. Как и все специалисты клиники, Виктор Владимирович имеет несколько медицинских специализаций.

иконка

За плечами наших специалистов обучение в Венской гнатологической школе, у основателей зарубежной и отечественной стоматологической гнатологии. Многие наши доктора получали дополнительную стоматологическую специализацию в престижных европейских учебных заведениях и стажировались за границей.

Все доктора Центра – имеют несколько ключевых специализаций. Среди нас кандидаты медицинских наук, ученые, преподаватели медицинских университетов, тренеры-практики, обучающие стоматологов по всей России и за рубежом.

иконка

Системный подход – философия Немецкого Стоматологического Центра. Именно эта идея определяет и организовывает нашу работу. Наши доктора всегда рассматривают организм как комплексную систему, где все части связаны. Проблема с зубами может быть вызвана вовсе не плохой гигиеной, а скрываться совершенно в других, неочевидных на первый взгляд вещах. Все доктора Немецкого Стоматологического Центра имеют несколько ключевых специализаций, что позволяет сопоставлять те самые неочевидные нюансы здоровья в единую систему и лечить не следствие, а причину, навсегда избавляя от проблем с зубами.

Наши доктора всегда работают в команде. В диагностике и принятии решений о методах лечения всегда участвует не один доктор, а три.

иконка

Уже на этапе диагностики и планирования лечения зубов мы можем с 99% точностью показать пациенту, как будут выглядеть его зубы после лечения в Немецком Стоматологическом Центре. Наш пациент всегда четко понимает, как будет закрываться его челюсть, как будут выглядеть его зубы, улыбка и лицо после лечения зубов. От нас пациент всегда уходит полностью удовлетворенный лечением и получает именно тот результат, который мы ему показали на первой встрече.

иконка

Безошибочность нашей работы и гарантия лучшего результата основана на трех ключевых составляющих:

  1. Глубокий аналитический и комплексный подход в диагностике. Для каждого пациента мы создаем индивидуальной программу обследования, которая может включать компьютерную томографию с широким спектром исследований и анализа, телерентгенографию (ТРГ), кондилографию, аксиографию, окклюзиограмму и другие методы диагностики. Техническое оснащение нашего центра считается одним из лучших в Москве.
  2. Авторская методика детального планирования операций, которая позволяет докторам слаженно работать на всех этапах лечения.
  3. Программа индивидуального анестезиологического и реабилитационного сопровождения каждого пациента. Вы будете чувствовать себя безопасно, спокойно и комфортно не только во время лечения, но и дома, после всех стоматологических манипуляций. Наш подход к лечению всегда предусматривает отдельную программу послеоперационной реабилитации для быстрого и качественного заживления и восстановления.

иконка

Удобное расположение Немецкого Стоматологического Центра на Новом Арбате. К нам легко и быстро добираться как на общественном, так и на личном транспорте. Центр находится в пешей доступности от центральных бизнес центров, поэтому к нам на лечение очень удобно приходить сразу после работы.
Для владельцев авто у нас есть отдельная собственная парковка.