Умное лечение
Программа лечения строится на базе искусственного интеллекта
Результат сразу
Смоделируем вашу будущую улыбку в 3D на первой консультации
Исправление прикуса
Исправление прикуса — это важная услуга, которая позволяет не только улучшить внешний вид улыбки, но и решить проблемы с функциональностью зубочелюстной системы. Неправильный прикус может вызвать дискомфорт в повседневной жизни, повлиять на здоровье зубов, десен и челюстей, а также привести к более серьезным заболеваниям. В нашей стоматологической клинике мы предлагаем эффективные методы исправления прикуса, с использованием современных ортодонтических технологий, что позволяет добиться долгосрочного и стабильного результата.
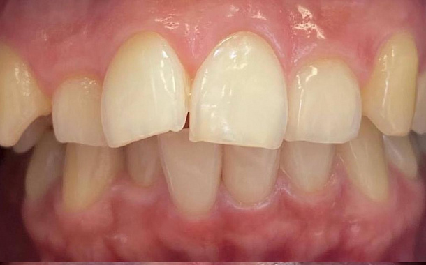
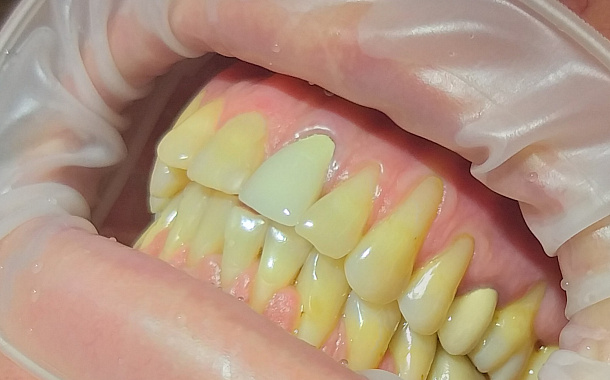
Неправильный прикус — это отклонение в положении зубов и челюстей, которое может проявляться в различных формах, например, перекусом, открытым прикусом, кривыми зубами или неправильным расположением челюстей. Нарушения прикуса могут быть как генетическими, так и вызванными травмами или вредными привычками в детстве.
Исправление прикуса необходимо не только для улучшения внешнего вида. Правильный прикус играет ключевую роль в нормальном функционировании зубочелюстной системы. Проблемы с прикусом могут привести к следующим последствиям:
- Проблемы с жеванием и пережевыванием пищи.
- Повышенная нагрузка на зубы и челюсти, что может вызвать их повреждение.
- Износ зубной эмали.
- Боли в челюстях, головные боли и проблемы с височно-нижнечелюстным суставом (ВНЧС).
Виды нарушений прикуса
- Перекус — верхние зубы смыкаются с нижними, а не над ними.
- Открытый прикус — между зубами верхней и нижней челюсти остается промежуток, когда зубы смыкаются.
- Кривые зубы — неправильное расположение зубов, которые могут быть скручены или наклонены.
- Глубокий прикус — верхние зубы слишком наклонены вперед и сильно перекрывают нижние.
- Прогнатия — передний прикус верхней челюсти, когда верхние зубы выходят далеко вперед относительно нижних.
- Микрогнатия — когда нижняя челюсть слишком маленькая по сравнению с верхней.
Методы исправления прикуса
В нашей стоматологической клинике мы используем различные методы исправления прикуса, которые подбираются в зависимости от степени сложности проблемы, возраста пациента и его предпочтений. Важно отметить, что каждый метод имеет свои особенности, и выбор подходящего лечения всегда зависит от индивидуальных показателей.
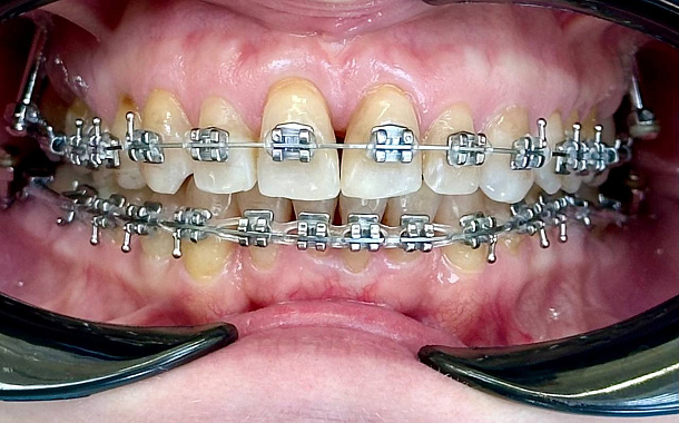
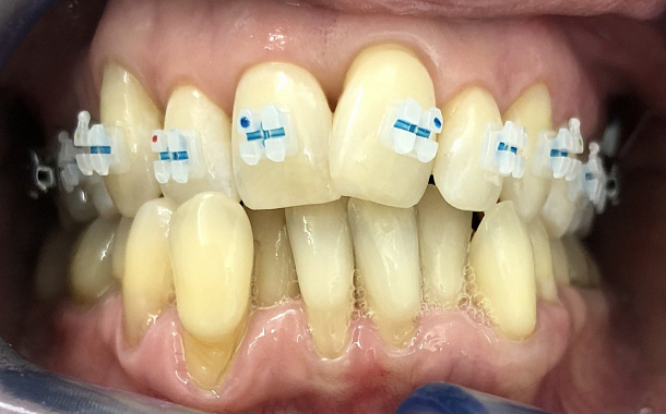
- Брекет-системы Брекеты — это наиболее эффективный и популярный метод исправления прикуса. Они бывают металлические, керамические, сапфировые и прозрачные, в зависимости от предпочтений пациента. Брекет-системы работают за счет того, что через брекеты на зубы воздействует дуга, которая с каждым месяцем постепенно изменяет положение зубов, выравнивая их.
- Капы Капы — это прозрачные пластиковые устройства, которые надеваются на зубы. Они более комфортны и эстетичны, чем традиционные брекеты, и подходят для людей, которым важна дискретность в процессе лечения. Капы можно снимать, что также повышает удобство их использования.
- Съемные аппараты Съемные аппараты используются в основном для лечения у детей и подростков, когда процесс роста зубов и челюстей еще не завершен. Эти устройства могут быть легко удалены и вставлены обратно, что позволяет пациенту не ограничивать себя в повседневных занятиях, таких как еда и гигиенические процедуры.
- Хирургическое вмешательство В самых сложных случаях, когда проблемы с прикусом связаны с нарушением структуры челюсти, может быть показано хирургическое вмешательство. Операция проводится с целью коррекции положения челюсти, чтобы устранить серьезные нарушения, которые невозможно исправить только с помощью ортодонтических устройств.
Этапы исправления прикуса
- Первичная консультация и диагностика Первым шагом является консультация с ортодонтом. Врач оценивает состояние зубочелюстной системы пациента, проводит визуальный осмотр, делает рентгеновские снимки и, при необходимости, дополнительные анализы. Это помогает точнее определить тип нарушения прикуса и выбрать оптимальный метод лечения.
- Выбор метода лечения На основе результатов диагностики врач разрабатывает индивидуальный план лечения. Этот план может включать в себя выбор типа брекет-системы или кап, определение срока лечения и других деталей, таких как необходимость хирургического вмешательства.
- Установка ортодонтического аппарата На следующем этапе устанавливаются брекеты или капы, в зависимости от выбранного метода лечения. Процесс установки не вызывает боли и обычно занимает от 1 до 2 часов.
- Регулярные посещения врача Пациент будет посещать ортодонта каждые 4-6 недель для коррекции аппарата. Врач будет следить за процессом выравнивания зубов, вносить необходимые изменения и контролировать динамику лечения.
- Завершение лечения и закрепление результата После достижения желаемого результата брекет-система или капы снимаются. Для того чтобы результат закрепился и зубы не вернулись в прежнее положение, пациенту может быть предложено носить ретейнер — съемный аппарат, который фиксирует зубы в новом положении.
Преимущества исправления прикуса
- Эстетический эффект. Исправление прикуса значительно улучшает внешний вид улыбки, делая зубы ровными и красивыми.
- Улучшение жевательной функции. После исправления прикуса восстановится правильное положение зубов, что улучшит процесс жевания и пищеварения.
- Предотвращение заболеваний зубов. Неправильный прикус может привести к преждевременному износу зубной эмали, а также к проблемам с деснами и зубами. Правильный прикус помогает предотвратить эти заболевания.
- Устранение болей. Многие пациенты с нарушениями прикуса жалуются на боли в челюстях, головные боли и дискомфорт в области височно-нижнечелюстного сустава. Исправление прикуса помогает устранить эти симптомы.
Заключение
Исправление прикуса — это не только важный шаг к красивой улыбке, но и значительное улучшение качества жизни. В нашей стоматологической клинике мы предлагаем индивидуальный подход к каждому пациенту, используя новейшие технологии и методы для достижения максимальных результатов. Будь то брекеты, капы или хирургическое вмешательство, мы готовы помочь вам получить идеальный прикус, улучшить здоровье зубов и восстановить уверенность в своей улыбке.
Цены на услуги
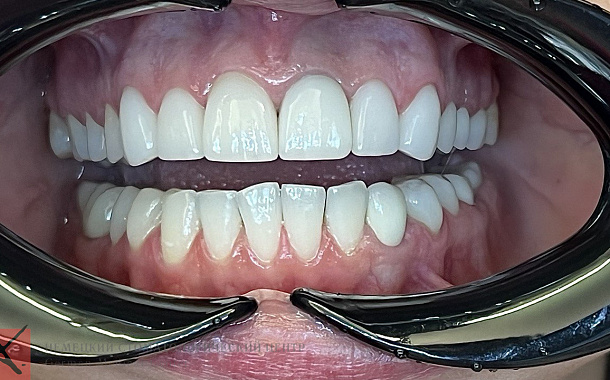
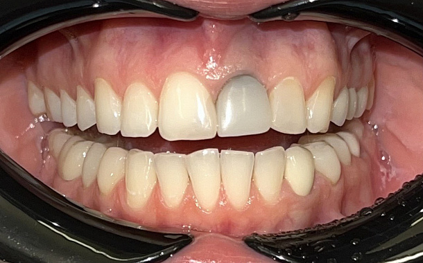
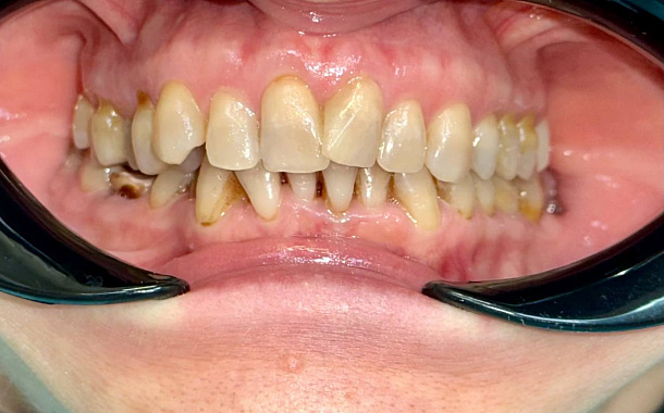
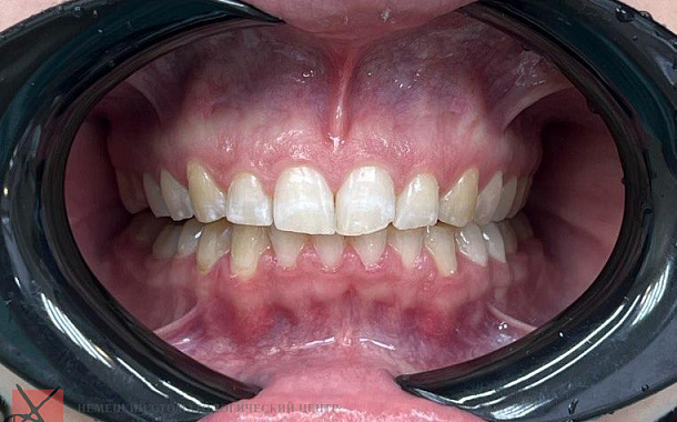
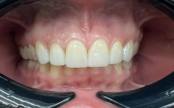
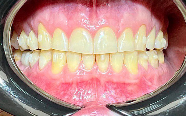
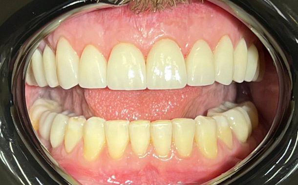
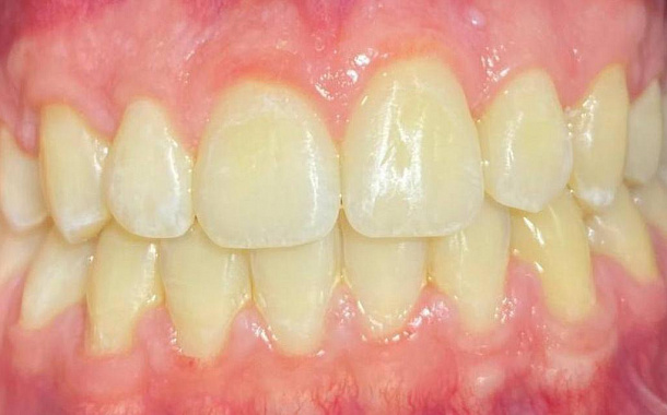
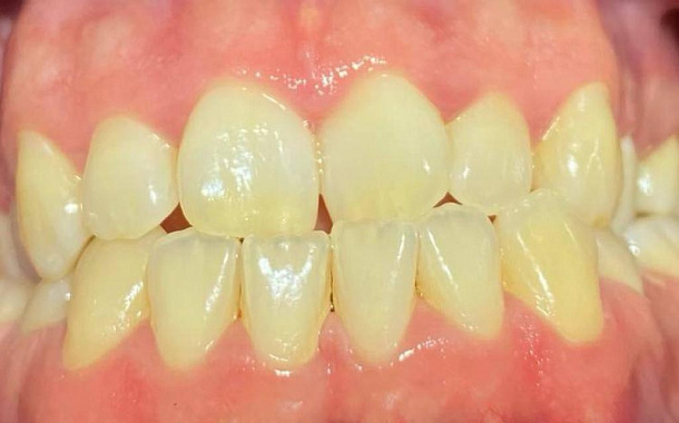
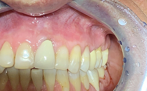
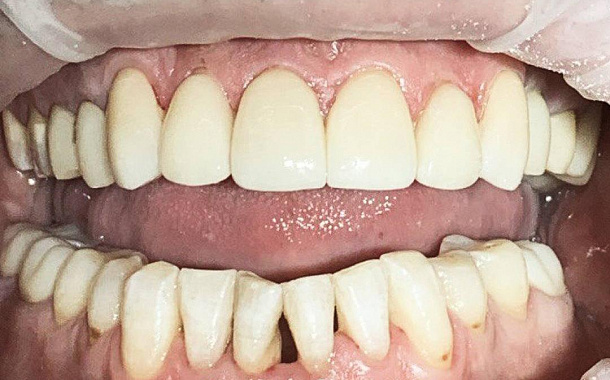
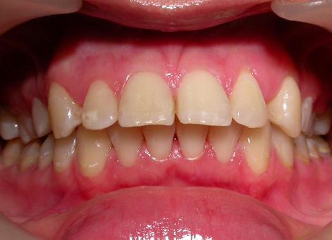
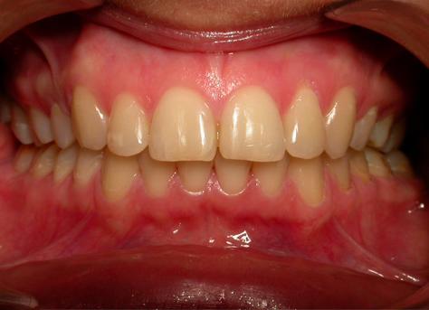
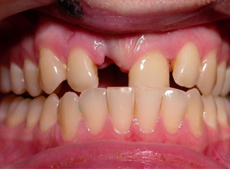
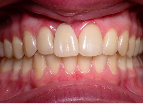
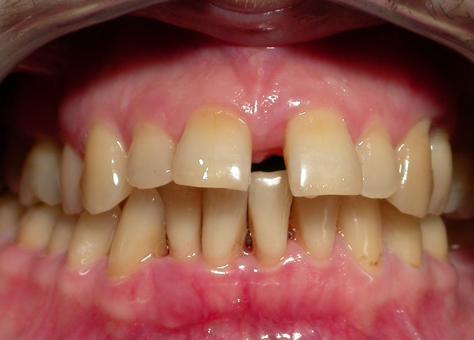
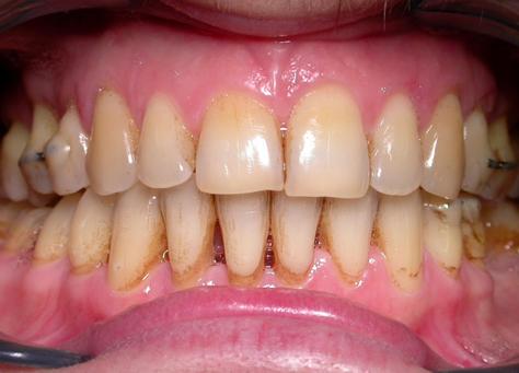
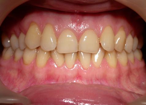
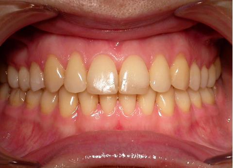
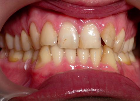
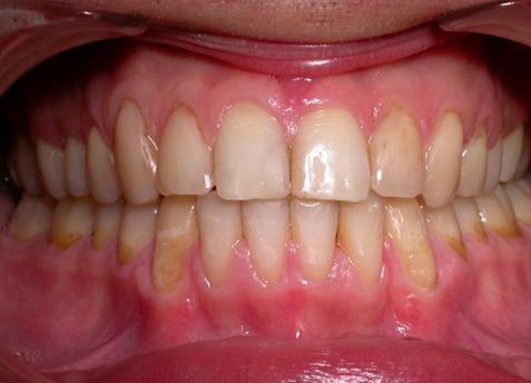
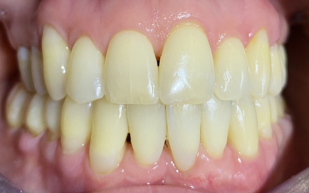
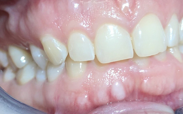
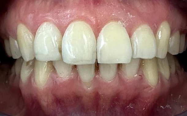
Кейсы: до и после
Все кейсыПреимущества ортодонтического лечения в Немецком Стоматологическом Центре
Видимый результат на первом приёме
С вами работает 3 доктора
Гнатологический подход

Гарантия результата
Уникальные методики
Что вас беспокоит?
Кто проводит лечение
Специализация:
Врач ортодонт, гнатолог
Master of science (Магистр естесственных наук), училась и практиковалась в Австрии в Венском Университете
Миссия в клинике:
Ведение ортодонтического приема как взрослых, так и детей в полном объёме. Проведение комплексной гнатологической и ортодонтической диагностики. Ведение пациента совместно с хирургом, ортопедом и терапевтом. Лечение детей и взрослых с помощью съемных( элайнеры, пластинки) и несъёмных ( брекеты, ортопланты, аппараты хайрекс, форсус и тд) систем. Лечение патологий ВНЧС, связанных с нарушениями зубочелюстной системы.
Специализация:
Врач стоматолог-ортопед, гнатолог.
Миссия в клинике:
Гнатологический функциональный анализ, диагностические электромиографические исследования, миорелаксация, эстетическое протезирование (виниры, коронки, вкладки, микропротезирование), виды съемного и несъемного протезирования на имплантатах, композитные реставрации, отбеливание зубов.
Специализация:
Врач стоматолог-ортодонт, гнатолог.
Член российского профессионального общества ортодонтов России, Dental Brilliance специалист компании Flexiligner
Миссия в клинике:
Ведение ортодонтического приёма.
Ведение пациентов с дисфункцией ВНЧС различной этиологии (окклюзионная терапия (шины, позиционеры, миорелаксирующие каппы). Проведение комплексной диагностики, лечебно-диагностических процедур (электромиорелаксация, кондилография). Комплексный подход к лечению пациентов. Взаимодействие со смежными специалистами (стоматологи-терапевты, ортопеды, хирурги, детские стоматологи, ЛОР врачи, логопеды).
Почему выбирают нас
Наши пациенты обеспечены обезболиванием и анестезией не только во время приема у доктора. Для каждого пациента разрабатывается индивидуальная программа анестезии на время лечения зубов и программа обезболивания на весь период реабилитации после лечения и зубных операций.
Программа обезболивания включает самые современные и надежные препараты для эффективной и быстрой реабилитации после операции, регенерации тканей и быстрого восстановления. Программу постоперационной поддержки курирует Виктор Владимирович Корякин – анестезиолог-реаниматолог, член "EFAAD" (Европейского Общества Обезболивания в Стоматологии), заместитель главного врача Немецкого Стоматологического Центра. Как и все специалисты клиники, Виктор Владимирович имеет несколько медицинских специализаций.
За плечами наших специалистов обучение в Венской гнатологической школе, у основателей зарубежной и отечественной стоматологической гнатологии. Многие наши доктора получали дополнительную стоматологическую специализацию в престижных европейских учебных заведениях и стажировались за границей.
Все доктора Центра – имеют несколько ключевых специализаций. Среди нас кандидаты медицинских наук, ученые, преподаватели медицинских университетов, тренеры-практики, обучающие стоматологов по всей России и за рубежом.
Системный подход – философия Немецкого Стоматологического Центра. Именно эта идея определяет и организовывает нашу работу. Наши доктора всегда рассматривают организм как комплексную систему, где все части связаны. Проблема с зубами может быть вызвана вовсе не плохой гигиеной, а скрываться совершенно в других, неочевидных на первый взгляд вещах. Все доктора Немецкого Стоматологического Центра имеют несколько ключевых специализаций, что позволяет сопоставлять те самые неочевидные нюансы здоровья в единую систему и лечить не следствие, а причину, навсегда избавляя от проблем с зубами.
Наши доктора всегда работают в команде. В диагностике и принятии решений о методах лечения всегда участвует не один доктор, а три.
Уже на этапе диагностики и планирования лечения зубов мы можем с 99% точностью показать пациенту, как будут выглядеть его зубы после лечения в Немецком Стоматологическом Центре. Наш пациент всегда четко понимает, как будет закрываться его челюсть, как будут выглядеть его зубы, улыбка и лицо после лечения зубов. От нас пациент всегда уходит полностью удовлетворенный лечением и получает именно тот результат, который мы ему показали на первой встрече.
Безошибочность нашей работы и гарантия лучшего результата основана на трех ключевых составляющих:
- Глубокий аналитический и комплексный подход в диагностике. Для каждого пациента мы создаем индивидуальной программу обследования, которая может включать компьютерную томографию с широким спектром исследований и анализа, телерентгенографию (ТРГ), кондилографию, аксиографию, окклюзиограмму и другие методы диагностики. Техническое оснащение нашего центра считается одним из лучших в Москве.
- Авторская методика детального планирования операций, которая позволяет докторам слаженно работать на всех этапах лечения.
- Программа индивидуального анестезиологического и реабилитационного сопровождения каждого пациента. Вы будете чувствовать себя безопасно, спокойно и комфортно не только во время лечения, но и дома, после всех стоматологических манипуляций. Наш подход к лечению всегда предусматривает отдельную программу послеоперационной реабилитации для быстрого и качественного заживления и восстановления.
Удобное расположение Немецкого Стоматологического Центра на Новом Арбате. К нам легко и быстро добираться как на общественном, так и на личном транспорте. Центр находится в пешей доступности от центральных бизнес центров, поэтому к нам на лечение очень удобно приходить сразу после работы.
Для владельцев авто у нас есть отдельная собственная парковка.
































































