Комплексное лечение с установкой виниров
Обращение пациента
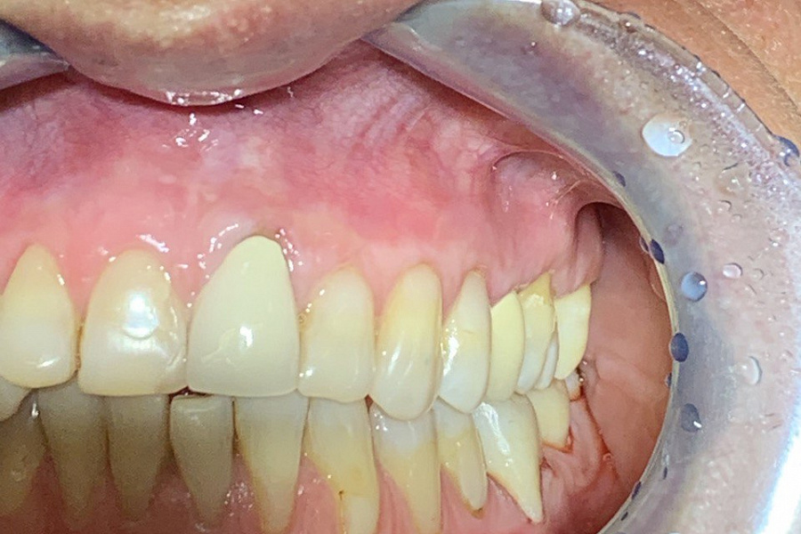
Пациент обратился в клинику с жалобами на оголение шеек и корней зубов, повышенную чувствительность зубов от холодного, горячего и других пищевых раздражителей, боли во время чистки зубов, косметический дефект.
Какой диагноз поставили
Поставлен диагноз генерализованная рецессия десны в области зубов верхней и нижней челюстей, аномалии положения зубов
-
Ортодонтическое лечение, чтобы восстановить правильное положение зубов верхней и нижней челюстей. Лечение проводила Кобликова Анастасия.
-
Операция по закрытию рецессии десны мягкими тканями - перемещение полнослойного слизистого лоскутка. Операцию проводил хирург Денис Черкашин.
-
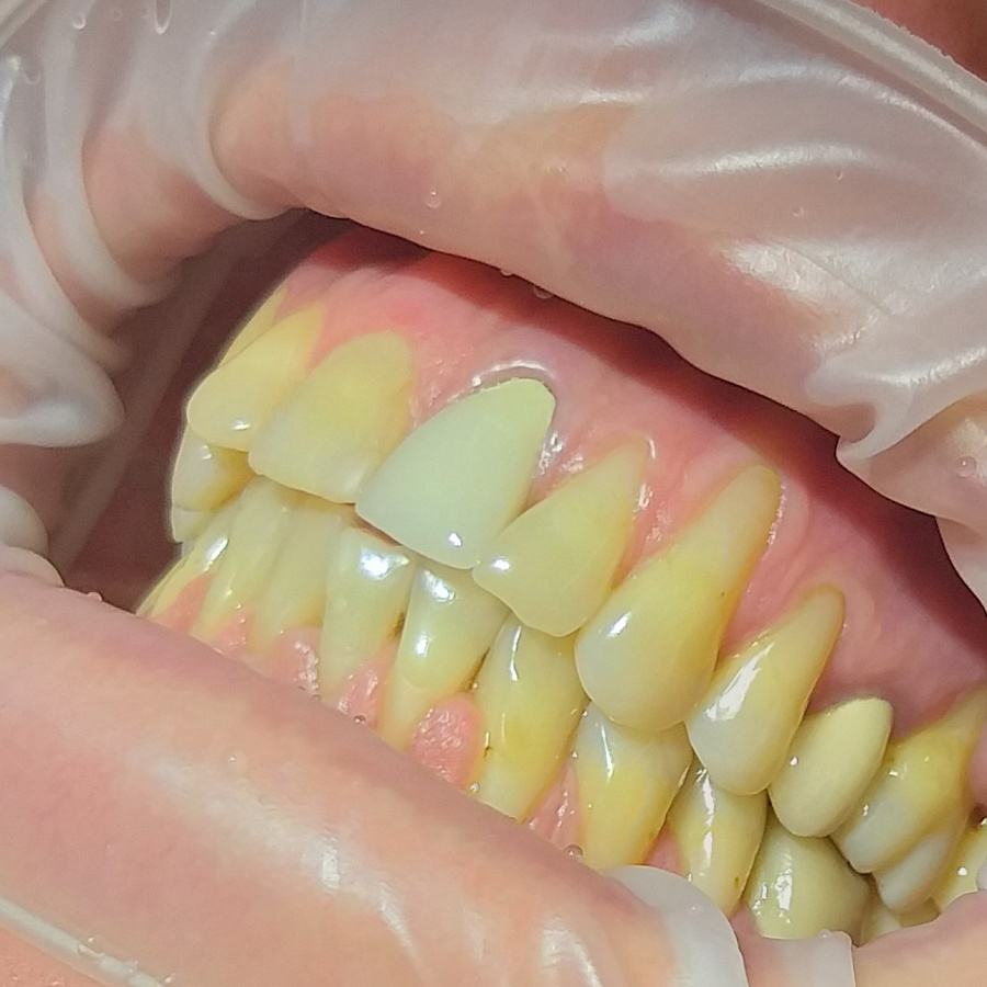
Восстановление формы коронок зубов керамическими винирами, чтобы устранить восстановление цвета и формы коронок зубов, убрать окклюзионную травму, восстановить гармоничное движение в височно-нижнечелюстном суставе. Реставрацию проводила доктор Марина Мискевич.
Результат лечения
Кто участвовал в лечении

Специализация:
Главный врач, стоматолог-ортопед, стоматолог-ортодонт, гнатолог.
Кандидат медицинских наук, член СтАР. Входит в ассоциацию лазерной стоматологии, ассоциированный член Общества по изучению цвета в стоматологии.
Владелец патента на изобретение «Способ изготовления экзопротеза верхней челюсти» (патент № 143103) и патента на полезную модель «Устройство для снятия несъемных зубных протезов» (патент № 54766).
Миссия в клинике:
Мы относимся к жизни и здоровью как к дару, к сохранению молодости и красоты – как к профессиональной чести, а воссоздание улыбки выполняем как ювелирную работу.

Специализация:
Врач ортодонт, гнатолог
Master of science (Магистр естесственных наук), училась и практиковалась в Австрии в Венском Университете
Миссия в клинике:
Ведение ортодонтического приема как взрослых, так и детей в полном объёме. Проведение комплексной гнатологической и ортодонтической диагностики. Ведение пациента совместно с хирургом, ортопедом и терапевтом. Лечение детей и взрослых с помощью съемных( элайнеры, пластинки) и несъёмных ( брекеты, ортопланты, аппараты хайрекс, форсус и тд) систем. Лечение патологий ВНЧС, связанных с нарушениями зубочелюстной системы.




