+7 495 737 44 66
Пн. - пт.: с 9:00 до 21:00
Сб.: с 9:00 до 18:00
улица Новый Арбат, 30/9,
Россия, Москва

Пн. - пт.: с 9:00 до 21:00 Сб.: с 9:00 до 18:00

+7 495 737 44 66

Эстетическое протезирование с опорой на имплантат

Обращение пациента

картинка
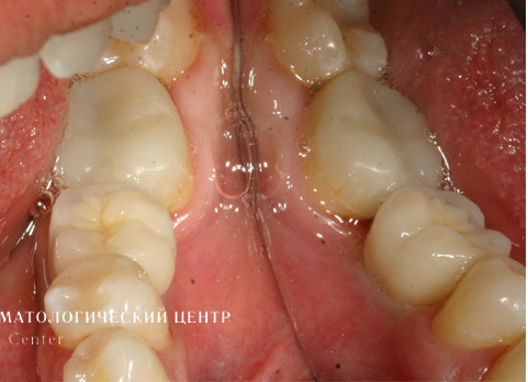
С какой проблемой обратился пациент
Пациентка обратилась с жалобой на отсутствие зуба 36. 
картинка
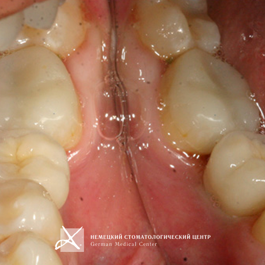
Этапы лечения

1. Проведена имплантация отсутствующего зуба.

2. Для оптимальной эстетики была изготовлена коронка с каркасом из оксида циркония с использованием индивидуального абатмента, выполненного из аналогичного материала по технологии CAD/CAM. Диоксид циркония (ZrO2) обладает высочайшей степенью биологической совместимости.

Безупречные эстетика и функциональность, полностью воссоздающие соответствующие характеристики естественного зуба. Данный вид ортопедического восстановления не требует специального ухода и не имеет никаких ограничений при пользовании им.

Результат лечения

Обсудите свои стоматологические проблемы с доктором Немецкого Стоматологического Центра! Он подберёт оптимальные пути их решения.