Эстетическое протезирование винирами
Обращение пациента
С какой проблемой обратился пациент
- выраженная стираемость зубов
- поврежден край переднего зуба семечками
В первую очередь был запрос на эстетическую часть. Пациентка хотела, чтобы новые зубы выглядели естественно.
Этапы лечения
По части натуральных виниров мы профи!
Провели санацию, сделали и установили красивые натуральные виниры.
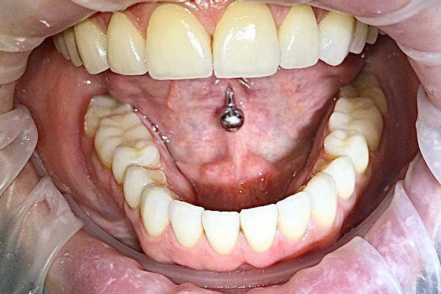
Что получили?
Результат на фото говорит лучше всяких слов. Пациентка очень довольна результатом!
Провели санацию, сделали и установили красивые натуральные виниры.
Что получили?
Результат на фото говорит лучше всяких слов. Пациентка очень довольна результатом!
Результат лечения
Кто участвовал в лечении

Мискевич Марина Ивановна
Специализация:
Главный врач, стоматолог-ортопед, стоматолог-ортодонт, гнатолог.
Кандидат медицинских наук, член СтАР. Входит в ассоциацию лазерной стоматологии, ассоциированный член Общества по изучению цвета в стоматологии.
Владелец патента на изобретение «Способ изготовления экзопротеза верхней челюсти» (патент № 143103) и патента на полезную модель «Устройство для снятия несъемных зубных протезов» (патент № 54766).
Миссия в клинике:
Мы относимся к жизни и здоровью как к дару, к сохранению молодости и красоты – как к профессиональной чести, а воссоздание улыбки выполняем как ювелирную работу.







