+7 495 737 44 66
Пн. - пт.: с 9:00 до 21:00
Сб.: с 9:00 до 18:00
улица Новый Арбат, 30/9,
Россия, Москва

Пн. - пт.: с 9:00 до 21:00 Сб.: с 9:00 до 18:00

+7 495 737 44 66

Исправление прикуса у 10-летней пациентки

Обращение пациента

картинка
С какой проблемой обратился пациент
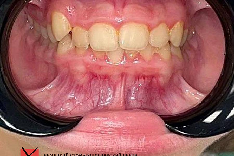
Пациентка 10 лет, пришла с выраженным дефицитом места на верхней и нижней челюстях.
Это та же пациентка, что была в предыдущем кейсе. Пришла через год для продолжения ортодонтического лечения.
картинка
Этапы лечения
Провели ортодонтическое лечение на съемных пластинках.
В результате зубные ряды выровнялись, все зубки теперь растут на своих местах. Ортодонтическое лечение официально закончено!

Результат лечения

Кто участвовал в лечении

Алиханова Милана Якубовна
Алиханова Милана Якубовна

Специализация:

Врач стоматолог-ортодонт, гнатолог.

Член российского профессионального общества ортодонтов России, Dental Brilliance специалист компании Flexiligner

Миссия в клинике:

Ведение ортодонтического приёма.

Ведение пациентов с дисфункцией ВНЧС различной этиологии (окклюзионная терапия (шины, позиционеры, миорелаксирующие каппы). Проведение комплексной диагностики, лечебно-диагностических процедур (электромиорелаксация, кондилография). Комплексный подход к лечению пациентов. Взаимодействие со смежными специалистами (стоматологи-терапевты, ортопеды, хирурги, детские стоматологи, ЛОР врачи, логопеды).


Записаться на прием
Обсудите свои стоматологические проблемы с доктором Немецкого Стоматологического Центра! Он подберёт оптимальные пути их решения.