Исправление прикуса у 9-летней пациентки
Обращение пациента
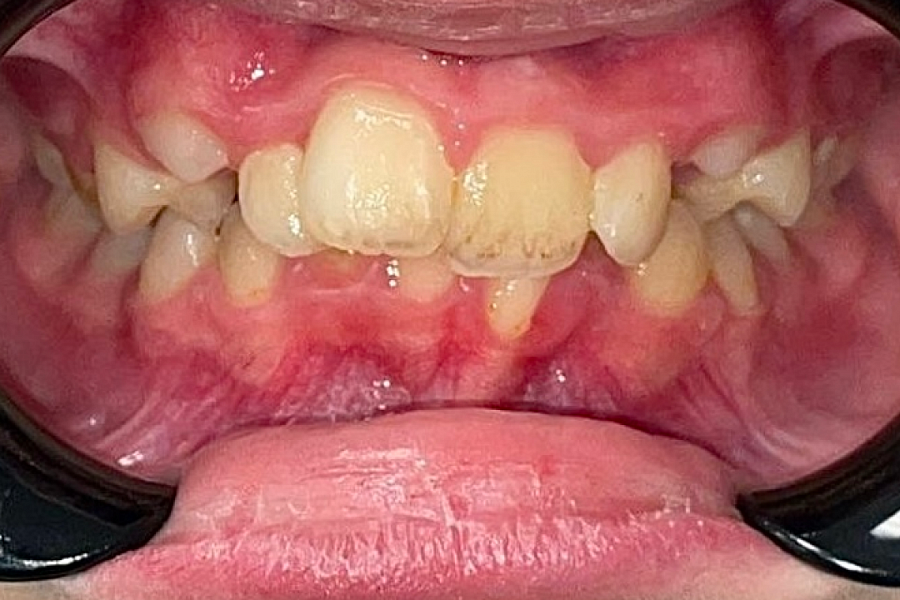
С какой проблемой обратился пациент
Пациентке 9 лет. Имеется ряд проблем:
- ротация верхней челюсти
- скученное положение зубов
- глубокая окклюзия
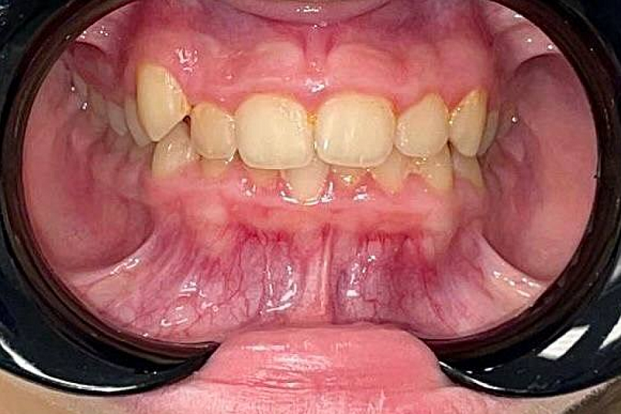
Этапы лечения
- Провели работу на функциональном аппарате, увеличивающем объем костной ткани верхней челюсти
- На нижнюю челюсть поставили расширяющую пластинку.
Изменения отлично видны на фото: положение зубов значительно изменилось. Зубки теперь растут ровными рядами.
Результат лечения
Кто участвовал в лечении

Алиханова Милана Якубовна
Специализация:
Врач стоматолог-ортодонт, гнатолог.
Член российского профессионального общества ортодонтов России, Dental Brilliance специалист компании Flexiligner
Миссия в клинике:
Ведение ортодонтического приёма.
Ведение пациентов с дисфункцией ВНЧС различной этиологии (окклюзионная терапия (шины, позиционеры, миорелаксирующие каппы). Проведение комплексной диагностики, лечебно-диагностических процедур (электромиорелаксация, кондилография). Комплексный подход к лечению пациентов. Взаимодействие со смежными специалистами (стоматологи-терапевты, ортопеды, хирурги, детские стоматологи, ЛОР врачи, логопеды).




