+7 495 737 44 66
Пн. - пт.: с 9:00 до 21:00
Сб.: с 9:00 до 18:00
улица Новый Арбат, 30/9,
Россия, Москва

Пн. - пт.: с 9:00 до 21:00 Сб.: с 9:00 до 18:00

+7 495 737 44 66

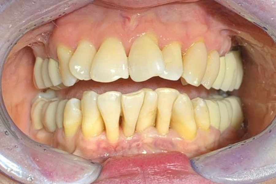
Исправление скученности без ортодонтического лечения

Обращение пациента

картинка
С какой проблемой обратился пациент

Выраженный пародонтит и дефицит костной ткани, сильная скученность зубов.

картинка
Этапы лечения

К сожалению, ортодонтическое лечение этой пациентки не может быть проведено, потому что зубы слишком крупные и очень большой дефицит костной ткани. Поэтому перемещение зубов ортодонтическими конструкциями приведет к их потере. Поэтому наша команда предложила протезирование верхнего зубного ряда и создание эстетических реставраций, которые бы не только исправили внешний вид зубов, но и дополнительно создали стабильность зубного ряда. На нижней челюсти мы провели чистку, полировку и шинирование зубов.

Получили очень хороший эстетический результат и стабилизацию состояния агрессивного пародонтита. Пациентку зубы больше не беспокоят.

Результат лечения

Кто участвовал в лечении

Мискевич Марина Ивановна
Мискевич Марина Ивановна

Специализация:

Главный врач, стоматолог-ортопед, стоматолог-ортодонт, гнатолог.

Кандидат медицинских наук, член СтАР. Входит в ассоциацию лазерной стоматологии, ассоциированный член Общества по изучению цвета в стоматологии.

Владелец патента на изобретение «Способ изготовления экзопротеза верхней челюсти» (патент № 143103) и патента на полезную модель «Устройство для снятия несъемных зубных протезов» (патент № 54766).

Миссия в клинике:

Мы относимся к жизни и здоровью как к дару, к сохранению молодости и красоты – как к профессиональной чести, а воссоздание улыбки выполняем как ювелирную работу.


Записаться на прием
Обсудите свои стоматологические проблемы с доктором Немецкого Стоматологического Центра! Он подберёт оптимальные пути их решения.