Комплексное лечение с установкой виниров
Обращение пациента
Пациентка пришла с желанием сделать красивую улыбку и поставить виниры.
Какой диагноз поставили
В ходе обследования было найдено 3 основных проблемы:
-
аномалии положения зубов
-
болезни твердых тканей зубов (дисколорит зубов)
-
сошлифовывание зубов до дентина
На базе полученного заключения было предложено комплексное лечение, которое включает в себя выравнивание зубов и исправление прикуса, некоторые хирургические манипуляции и конечно установку виниров.
Этапы лечения:
-
Подготовительные работы.
-
Ортодонтическое выравнивание зубов на каппах (доктор Алиханова М.Я.)
- Примерка мок-апп и проектирование будущей ортопедической конструкции.
-
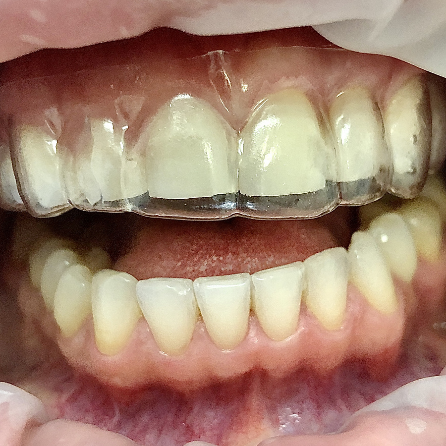
Этап временных виниров. Выравнивание протетической плоскости (доктор Бобринская А.Р.)
- Подготовка к протезированию - хирургическое закрытие рецессий 21, 22, 23 зубов туннельным методом с использованием субэпителиального соединительно-тканного трансплантата из области твердого неба (доктор Черкашин Д.)
- После хирургического лечения. Поднятие прикуса на керамических накладках и установка виниров на верхней и нижней челюсти (доктор Бобринская А.Р.)
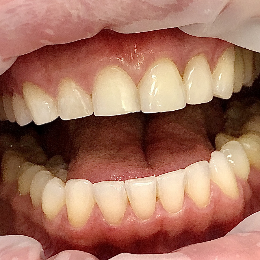
Результат лечения
Кто участвовал в лечении

Специализация:
Врач стоматолог-ортопед, гнатолог.
Миссия в клинике:
Гнатологический функциональный анализ, диагностические электромиографические исследования, миорелаксация, эстетическое протезирование (виниры, коронки, вкладки, микропротезирование), виды съемного и несъемного протезирования на имплантатах, композитные реставрации, отбеливание зубов.

Специализация:
Врач стоматолог-ортодонт, гнатолог.
Член российского профессионального общества ортодонтов России, Dental Brilliance специалист компании Flexiligner
Миссия в клинике:
Ведение ортодонтического приёма.
Ведение пациентов с дисфункцией ВНЧС различной этиологии (окклюзионная терапия (шины, позиционеры, миорелаксирующие каппы). Проведение комплексной диагностики, лечебно-диагностических процедур (электромиорелаксация, кондилография). Комплексный подход к лечению пациентов. Взаимодействие со смежными специалистами (стоматологи-терапевты, ортопеды, хирурги, детские стоматологи, ЛОР врачи, логопеды).





