+7 495 737 44 66
Пн. - пт.: с 9:00 до 21:00
Сб.: с 9:00 до 18:00
улица Новый Арбат, 30/9,
Россия, Москва

Пн. - пт.: с 9:00 до 21:00 Сб.: с 9:00 до 18:00

+7 495 737 44 66

Удаление зуба с имплантацией

Обращение пациента

картинка
С какой проблемой обратился пациент

Пациент, 22 года. Обратилась к терапевту с жалобами на дискомфорт при накусывании на зуб в верхней челюсти слева.

Какой диагноз поставили

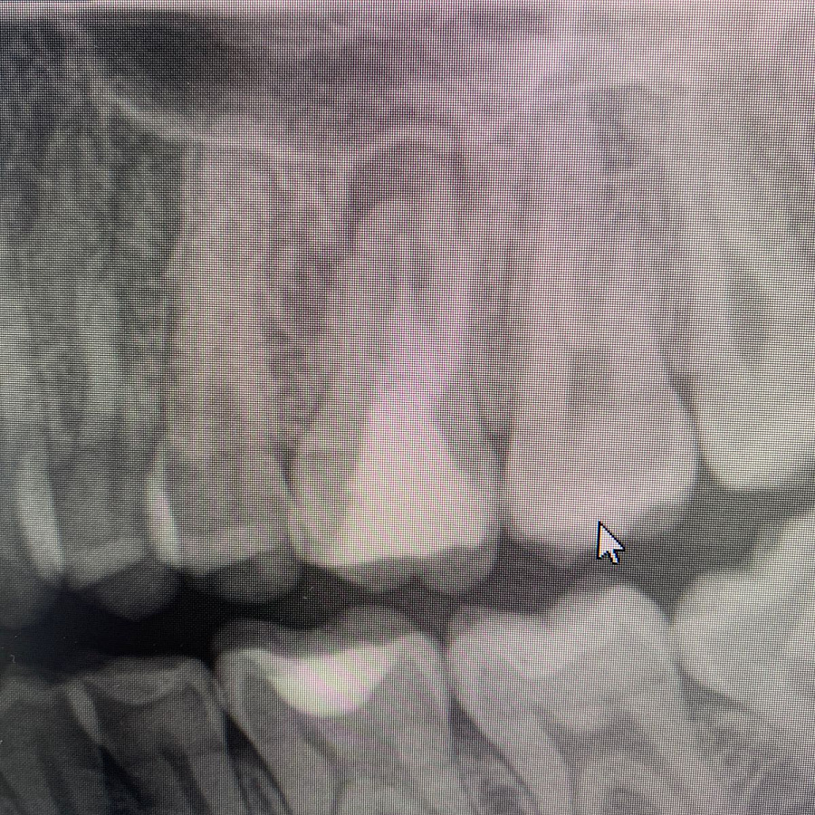
В ходе эндодонтической диагностики доктор обнаружил трещину в корне зуба.

картинка
Этапы лечения

Сохранить или вылечить зуб невозможно, поэтому было рекомендовано удаление зуба с последующей имплантацией.

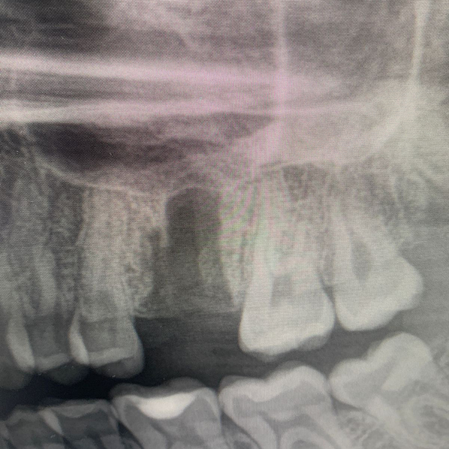
После удаления таких зубов и извлечения кисты, в кости остаётся большой дефект. Поэтому сделать одномоментную имплантацию зуба, т.е. удаление и имплантацию за один приём невозможно. В таких случаях необходимы дополнительные хирургические манипуляции по подсадке искусственной кости, чтобы сохранить объём костной ткани для последующего протезирования.

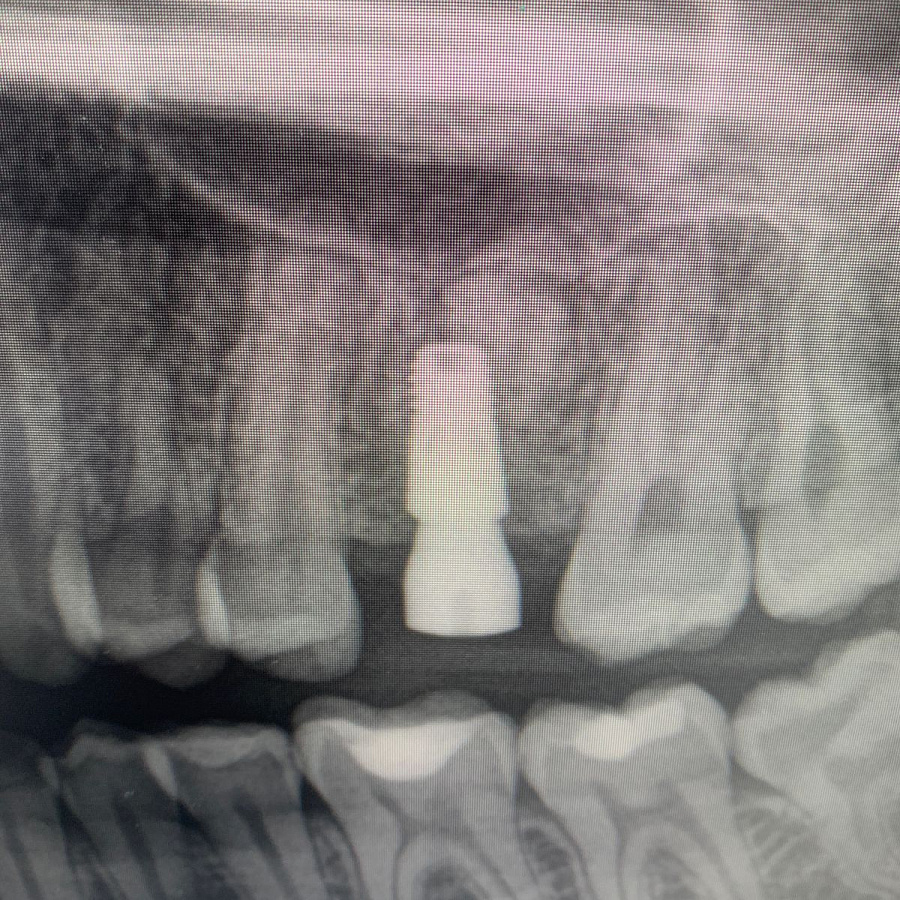
Через 6 месяцев после подсадки кости - контрольный снимок и установка зубного имплантата.

Спустя 6 месяцев пациент готов к протезированию.

Результат лечения

Кто участвовал в лечении

Самсонов Андрей Романович
Самсонов Андрей Романович

Специализация:

Врач стоматолог-хирург, имплантолог

Миссия в клинике:

Удаление зубов любой сложности, имплантация, имплантация в эстетически важной зоне, операции на мягких тканях полости рта, увеличение объема твёрдых и мягких тканей, комплексный подход к лечению заболеваний полости рта.

Записаться на прием
Обсудите свои стоматологические проблемы с доктором Немецкого Стоматологического Центра! Он подберёт оптимальные пути их решения.