Комплексное лечение: ортодонтическое, хирургическое, ортопедическое
Обращение пациента
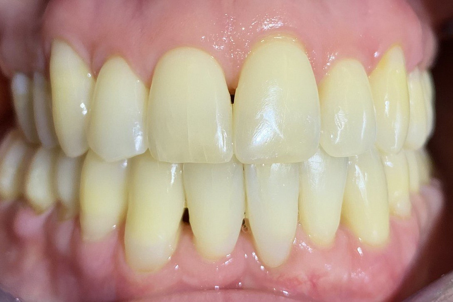
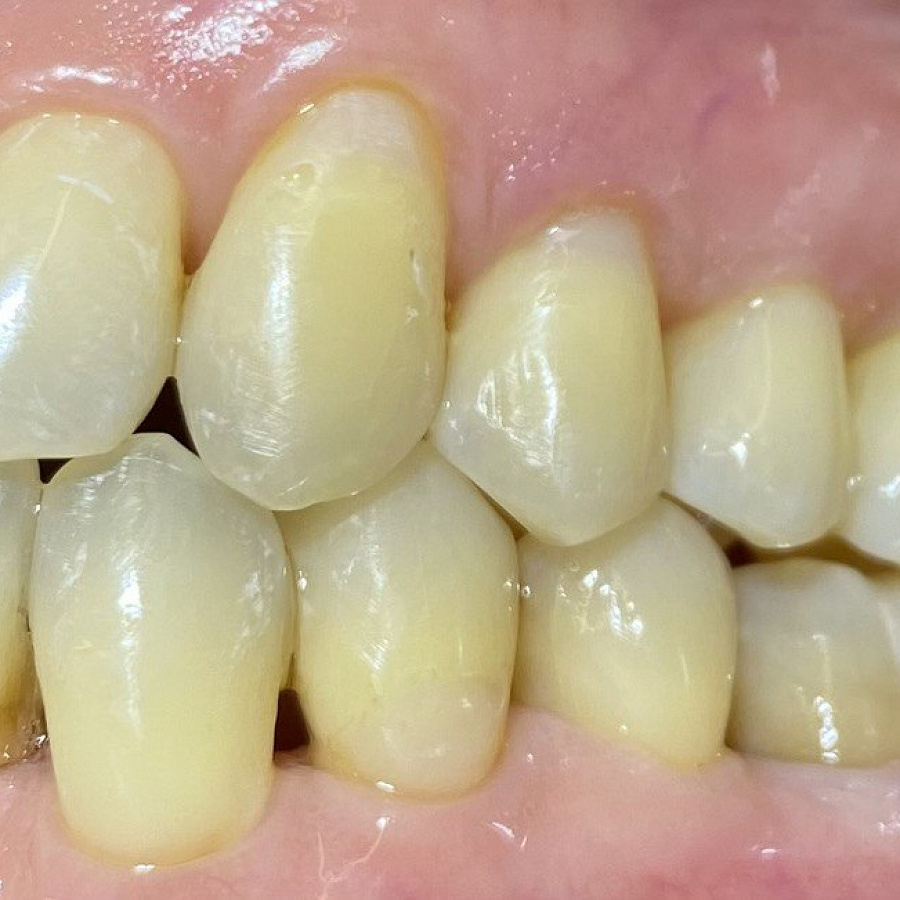
Пациентка обратилась с жалобами на неровные передние зубы.
Какой диагноз поставили
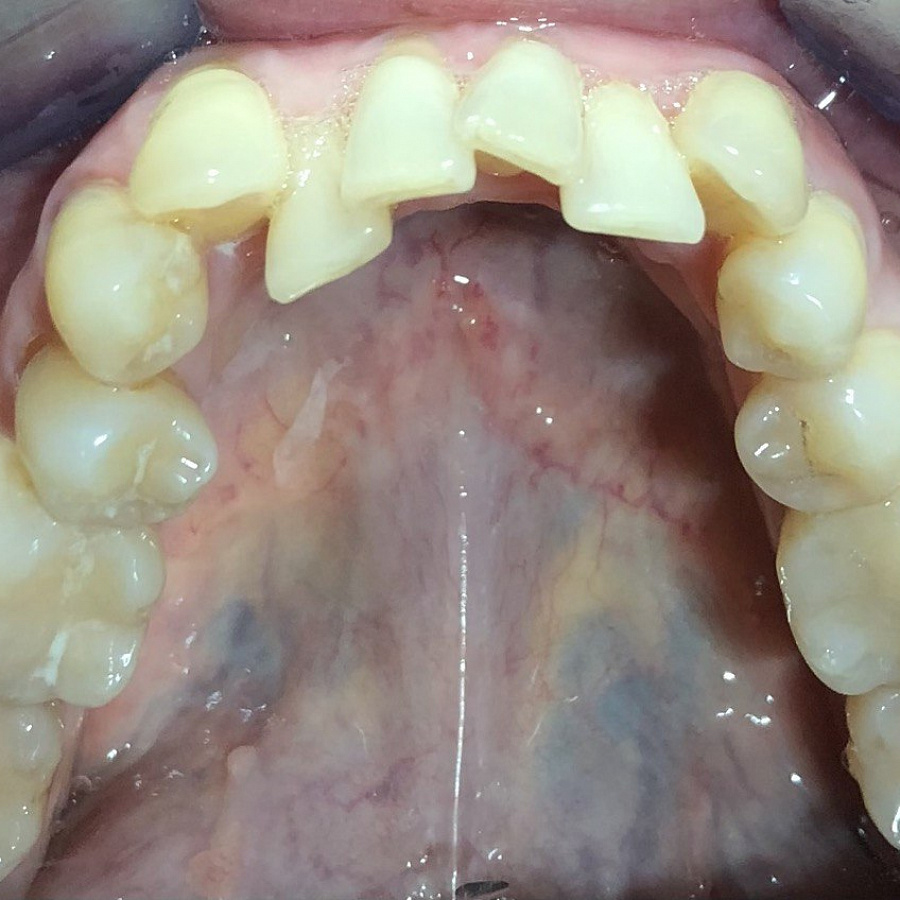
При осмотре выявлено-сужение верхнего и нижнего зубных рядов, скученное положение зубов обеих челюстей, рецессия десны. КТ показала убыль костной ткани в области зубов на нижней челюсти на 50%.
Пациентке было предложено:
- санация полости рта
- ортодонтическое лечение с помощью брекетов
- пластика преддверия полости рта, устранения рецессий десны
- ортопедическая коррекция эстетики передних зубов
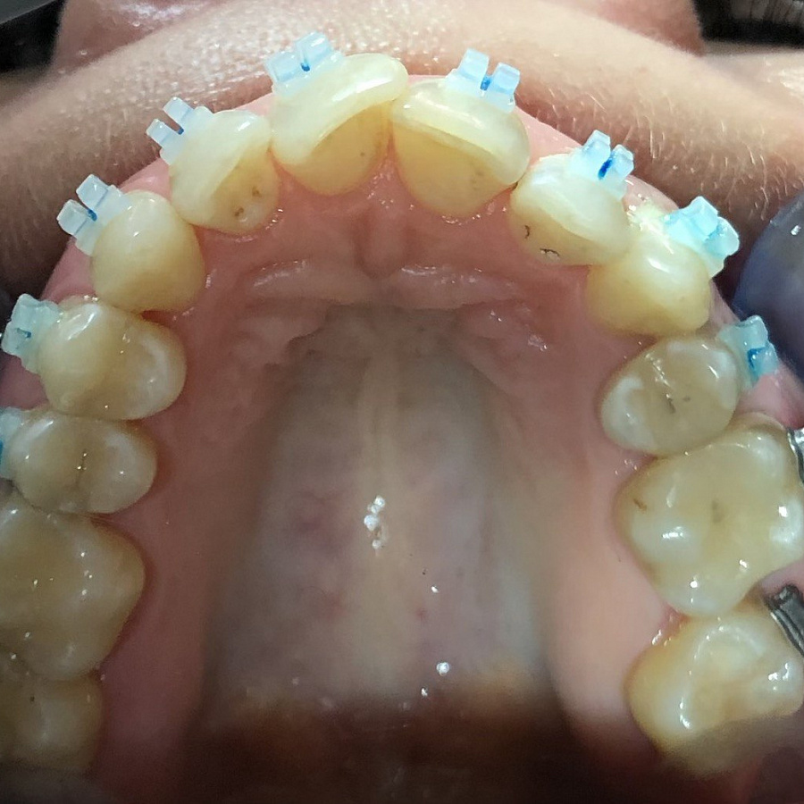
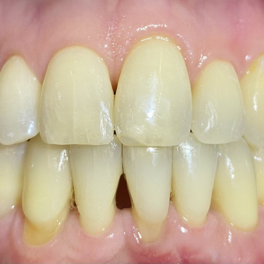
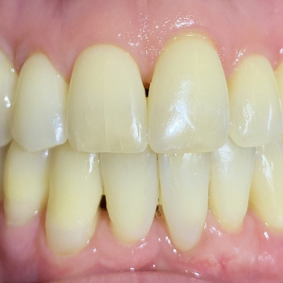
Ортодонтическое лечение длилось 24 месяца с целью сохранения оставшегося объема костной ткани. После ортодонтического лечение проведена пластика преддверия полости рта (доктор Черкашин), устранения рецессии, затем устранения чёрного треугольника между центральными резцами с помощью винира (доктор Шумская).
Результат лечения
Кто участвовал в лечении

Специализация:
Врач стоматолог-ортопед, стоматолог-терапевт, стоматолог-хирург, гнатолог, клинический провайдер.
Миссия в клинике:
Эстетическое протезирование цельно-керамическими конструкциями; протезирование на имплантатах в качестве немедленной нагрузки; полнофункциональные микропротетические безметалловые восстановления; условно-съемное протезирование на телескопических системах и имплантатах; все виды прямых эстетических реставраций.

Специализация:
Врач ортодонт, гнатолог
Master of science (Магистр естесственных наук), училась и практиковалась в Австрии в Венском Университете
Миссия в клинике:
Ведение ортодонтического приема как взрослых, так и детей в полном объёме. Проведение комплексной гнатологической и ортодонтической диагностики. Ведение пациента совместно с хирургом, ортопедом и терапевтом. Лечение детей и взрослых с помощью съемных( элайнеры, пластинки) и несъёмных ( брекеты, ортопланты, аппараты хайрекс, форсус и тд) систем. Лечение патологий ВНЧС, связанных с нарушениями зубочелюстной системы.










