Химическое отбеливание с использованием лазера
Обращение пациента
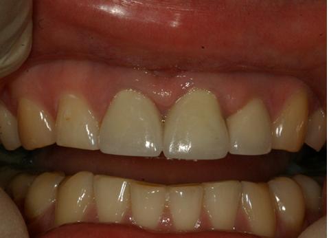
Пациентка 36 лет обратилась с целью отбеливания зубов и замены коронок на передних верхних зубах на более светлые.
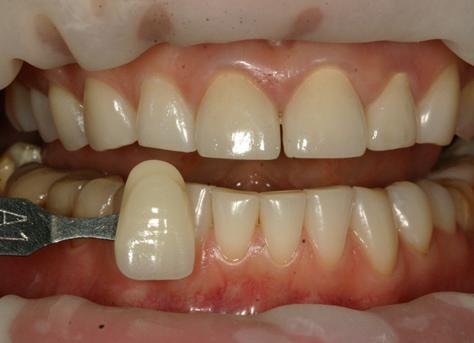
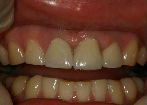
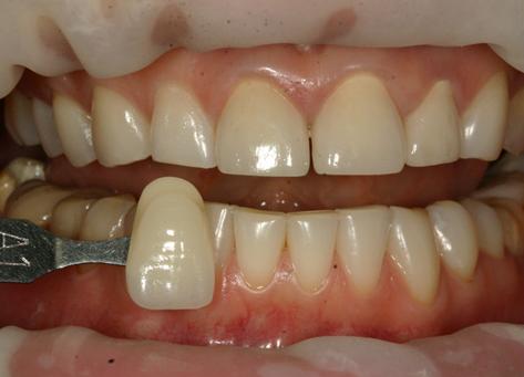
Проведено химическое отбеливание зубов с использованием лазера, в сочетании с ортопедической реконструкцией центральных резцов на верхней челюсти. До процедуры цвет зубов А3-А3,5 по шкале VITA. После отбеливания с использованием диодного лазера и замены коронок цвет зубов А1 по шкале VITA.
Результат лечения
Кто участвовал в лечении

Специализация:
Стоматолог гигиенист. Сертифицированный специалист по отбеливанию зубов.
Должностные обязанности:
Профессиональная гигиена полости рта; снятие зубных отложение, как наддесневых, так и поддесневых; закрытый кюретаж пародонтальных карманов; чистка Air-Flow; удаление налета курильщика, ручная чистка и чистка ультразвуком; обучение профессиональной гигиене полости рта, демонстрация пациенту правильных методов чистки зубов; определение гигиенических индексов, подбор индивидуальных средств гигиены; отбеливание зубов.



