+7 495 737 44 66
Пн. - пт.: с 9:00 до 21:00
Сб.: с 9:00 до 18:00
улица Новый Арбат, 30/9,
Россия, Москва

Пн. - пт.: с 9:00 до 21:00 Сб.: с 9:00 до 18:00

+7 495 737 44 66

Ортодонтическое лечение брекетами

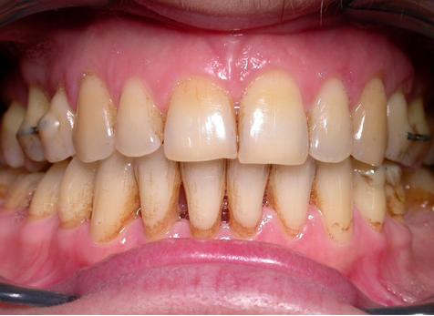
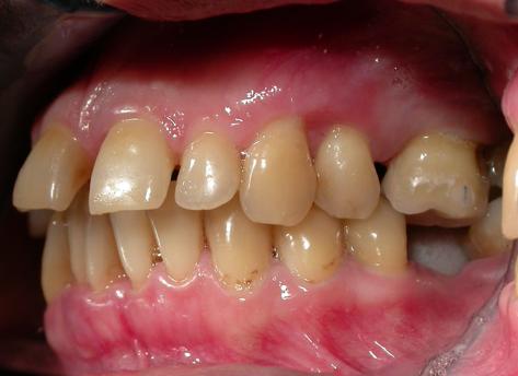
Обращение пациента

картинка
С какой проблемой обратился пациент

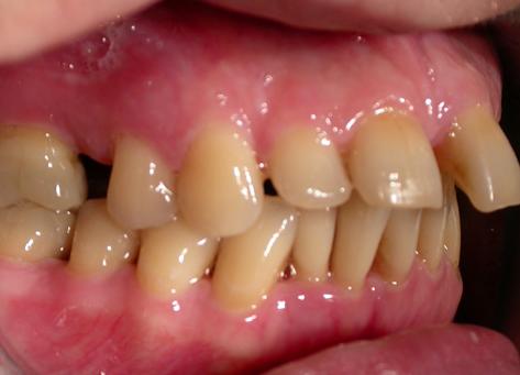
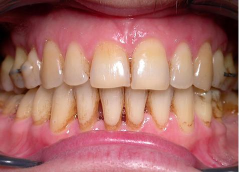
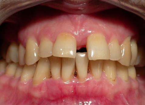
Пациентка обратилась с желанием выровнять зубы и привести улыбку в эстетический вид.

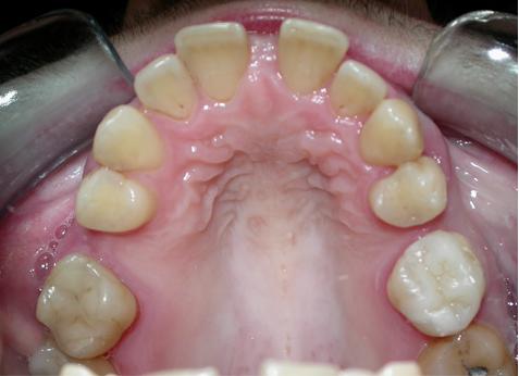
Какой диагноз поставили

  • хронический пародонтит тяжелой степени,
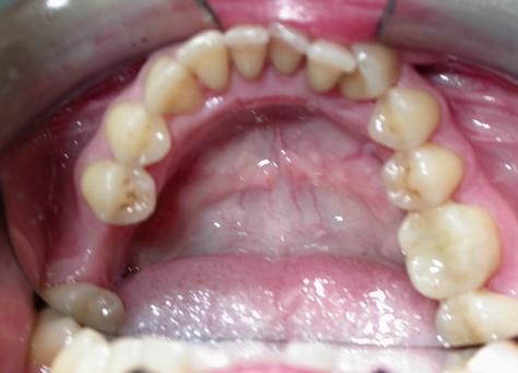
  • адентия 15, 25, 36,
  • уменьшение глубины резцового перекрытия,
  • удлинение верхнего зубного ряда за счет протрузии верхних резцов,
  • диастема,
  • множественные тремы верхнего зубного ряда,
  • мезиальное смещение и ротация верхних моляров,
  • скученность передних нижних зубов

картинка
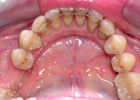
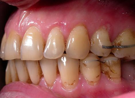
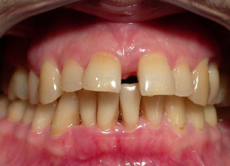
Этапы лечения

Лечение проводилось с помощью керамических вестибулярных брекетов, продолжалось 18 месяцев.

Рекомендована пожизненная ретенция на фоне профессиональной гигиены полости рта.

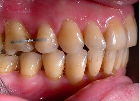
Результат лечения

Обсудите свои стоматологические проблемы с доктором Немецкого Стоматологического Центра! Он подберёт оптимальные пути их решения.