+7 495 737 44 66
Пн. - пт.: с 9:00 до 21:00
Сб.: с 9:00 до 18:00
улица Новый Арбат, 30/9,
Россия, Москва

Пн. - пт.: с 9:00 до 21:00 Сб.: с 9:00 до 18:00

+7 495 737 44 66

Комплексная реставрация передних зубов

Обращение пациента

картинка
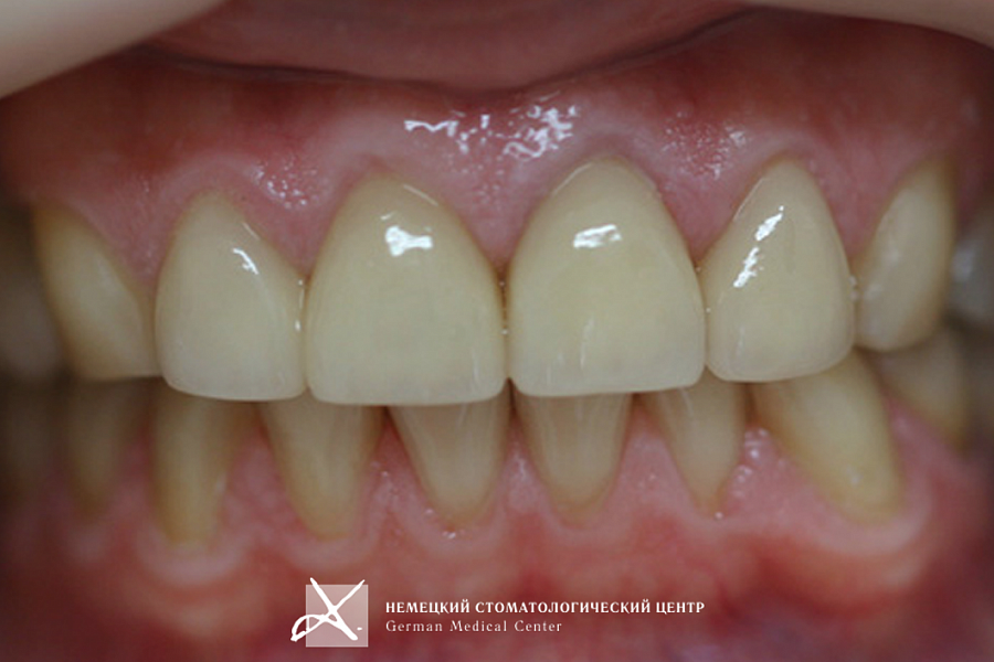
С какой проблемой обратился пациент

Пациентка (42 года) обратилась с жалобой на эстетику фронтальных зубов верхней челюсти.

Какой диагноз поставили

  1. зубы 12, 22 — эрозия эмали
  2. зуб 23 — клиновидный дефект
  3. зубы 11, 21 — некачественные композитные реставрации
  4. стираемость эмали в области режущего края зубов 11, 21, 12, 22

картинка
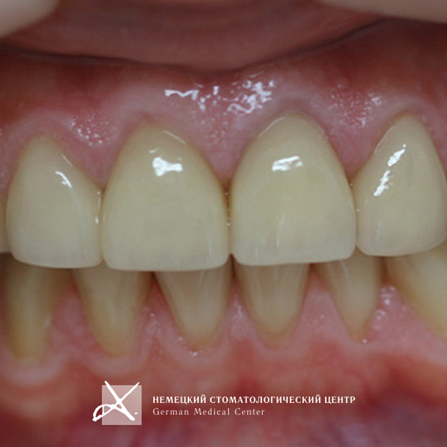
Этапы лечения

На зубы 12, 11, 21, 22 установлены керамические виниры.

Зуб 23 восстановлен композитной пломбой в пришеечной области.

Результат лечения

Обсудите свои стоматологические проблемы с доктором Немецкого Стоматологического Центра! Он подберёт оптимальные пути их решения.