+7 495 737 44 66
Пн. - пт.: с 9:00 до 21:00
Сб.: с 9:00 до 18:00
улица Новый Арбат, 30/9,
Россия, Москва

Пн. - пт.: с 9:00 до 21:00 Сб.: с 9:00 до 18:00

+7 495 737 44 66

Комбинация клинического и домашнего отбеливания

Обращение пациента

картинка
С какой проблемой обратился пациент
Пациентка 45 лет обратилась с целью отбеливания зубов.

Какой диагноз поставили

Из-за сильной чувствительности зубов процедура отбеливания проводится по щадящей схеме в два коротких посещения с интервалом 7 дней и в комбинации с домашним отбеливанием с применением индивидуальных капп.
картинка
Этапы лечения

  1. Проведение профессиональной гигиены полости рта.
  2. Фотометрия исходного цвета зубов.
  3. Снятие слепков для изготовления индивидуальных капп.
  4. Изоляция мягких тканей полости рта (десна, щёки, язык, губы).
  5. Однократное нанесение отбеливающего состава.
  6. Активация отбеливающего состава с помощью диодного лазера в щалящем режиме.
  7. Реминерализующая терапия - насыщение эмали зубов пропаратами кальция и фтора (по показаниям) для снижения чувствительности и стабилизации цвета зубов.
  8. Проведение повторной процедуры отбеливания через 7 дней. Примерка индивидуальных капп
  9. Домашнее использование отбеливающего набора с индивидуальными каппами в течение пяти дней
  10. Фотометрия результатов процедуры.
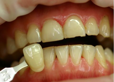
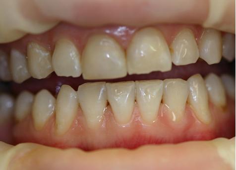
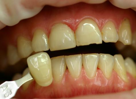
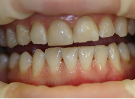
Цвет зубов до отбеливания А3 по шкале VITA.
После двух процедур отбеливания с применением диодного лазера и последующим домашним отбеливанием в течение пяти дней цвет зубов А1 по шкале VITA.

Результат лечения

Кто участвовал в лечении

Романова Светлана
Романова Светлана

Специализация:

Стоматолог гигиенист. Сертифицированный специалист по отбеливанию зубов.

Должностные обязанности:

Профессиональная гигиена полости рта; снятие зубных отложение, как наддесневых, так и поддесневых; закрытый кюретаж пародонтальных карманов; чистка Air-Flow; удаление налета курильщика, ручная чистка и чистка ультразвуком; обучение профессиональной гигиене полости рта, демонстрация пациенту правильных методов чистки зубов; определение гигиенических индексов, подбор индивидуальных средств гигиены; отбеливание зубов.

Записаться на прием
Обсудите свои стоматологические проблемы с доктором Немецкого Стоматологического Центра! Он подберёт оптимальные пути их решения.