+7 495 737 44 66
Пн. - пт.: с 9:00 до 21:00
Сб.: с 9:00 до 18:00
улица Новый Арбат, 30/9,
Россия, Москва

Пн. - пт.: с 9:00 до 21:00 Сб.: с 9:00 до 18:00

+7 495 737 44 66

Комплексная реставрация зубов

Обращение пациента

картинка
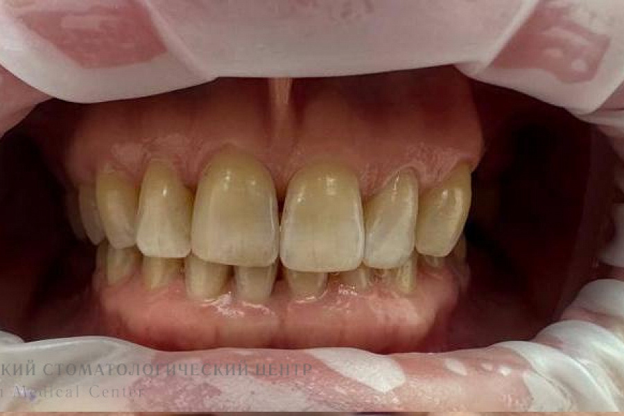
С какой проблемой обратился пациент
Пациентка пришла с целым набором проблем и эстетическим недовольством своими зубами.
картинка
Этапы лечения

Проведена большая комплексная реабилитация, работала команда докторов. Были установлены виниры, коронки и импланты. 

Вместе с проблемами с зубами мы получили и антиэйдж эффект: губа поднялась выше , подтянулось лицо.

Пациентка осталась очень довольна результатом, впервые в жизни купила себе красную помаду и научилась улыбаться! 

Результат лечения

Кто участвовал в лечении

Першина Ирина Валерьевна
Першина Ирина Валерьевна

Специализация:

Врач стоматолог-терапевт, стоматолог-ортопед, гнатолог, клинический провайдер.

Миссия в клинике:

виниры, керамические реставрации «INLAY», «ONLAY»;
безметалловая керамика;
реставрации на основе оксида циркония;
все виды съёмного и несъёмного протезирования на имплантатах.

Записаться на прием
Обсудите свои стоматологические проблемы с доктором Немецкого Стоматологического Центра! Он подберёт оптимальные пути их решения.