Ортопедическая реставрация с опорой на имплантаты и виниры
Обращение пациента
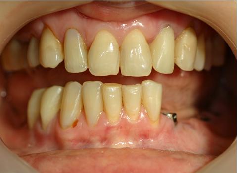
Пациентка обратилась с проблемой с отсутствия зубов в области нижней челюсти и неудовлетворительным внешним видом верхних фронтальных зубов. Пациентка пользовалась частичным нижнечелюстным съемным протезом в течение пяти последних лет.
Какой диагноз поставили
Было предложено комплексное лечение, включающее протезирование на имплантах и установку виниров.
В результате успешно проведенной имплантации на нижней челюсти с расщеплением кортикальных пластин беззубого альвеолярного гребня с использованием пьезохирургической технологии и одновременной имплантацией в области отсутствующих 37, 36, 35, 34, 33, 46, 47 зубов появилась перспектива отказа от съемной малофункциональной и неэстетичной конструкции.
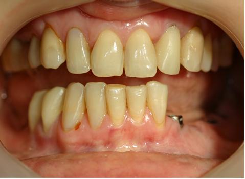
На 10 верхнечелюстных зубов (с 15 по 25) изготовлены керамические виниры. Проведено лазерное отбеливание фронтальных зубов нижней челюсти. Также с опорой на имплантаты, установленные в области нижней челюсти, изготовлены металлокерамические цементируемые реставрации.
Результат: пациентка владеет не только полностью функциональной ортопедической конструкцией, но также исключительно эстетичной, полноценной, гармоничной, свободной, приковывающей взгляды улыбкой.



