Комплексное гнатологическое и ортодонтическое лечение
Обращение пациента
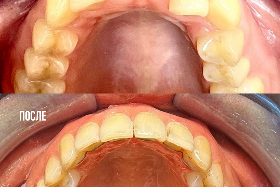
С какой проблемой обратился пациент
Искривление зубных рядов, которое в свою очередь вызывало ряд гнатологических проблем: головная боль, боль в шейном отделе, боль ВНЧС, стираемость эмали и т.д.
Этапы лечения
Было проведено комплексное гнатологическое и ортодонтичечкое лечение. В результате пациент получил не только красивые ровные зубы, но и избавился от всех сопутствующих проблем.





