Комплексное гнатологическое лечение и протезирование
Обращение пациента
С какой проблемой обратился пациент
- жалобы на боль и хруст в ВНЧС
- повышенная стираемость эмали
- желание улучшить эстетический вид зубов
Этапы лечения
- Начали с ортодонтического лечение, чтобы поставить зубы в правильное положение и устранить причины боли и хруста челюсти.
- Восстановили высоту нижней трети лица.
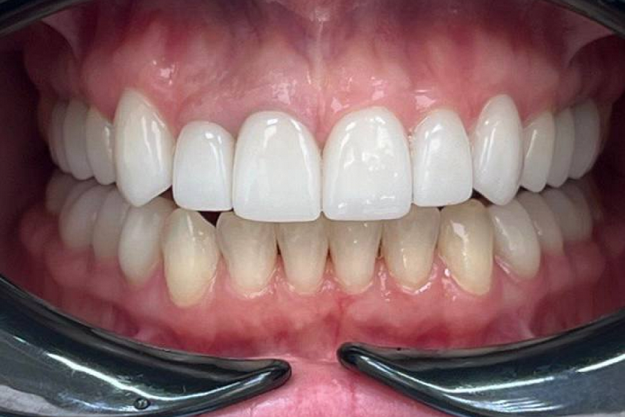
- Изготовили новые красивые виниры и коронки.
- Провели санацию и замену старых пломб.
Что получили?
✅ челюсть встала в правильное положение, ушла боль и хруст, нормализовалась стираемость эмали.
✅ теперь у пациентки новая белоснежная улыбка, которая ей очень идёт!







