Комплексное исправление прикуса
Обращение пациента
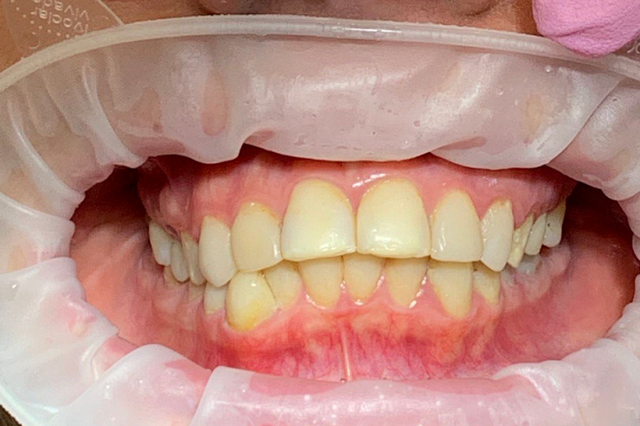
С какой проблемой обратился пациент
Пациентка пришла жалобами на неправильный прикус, который вместе с эстетическим дискомфортом и выраженной асимметрией лица доставлял ряд более серьезных проблем: головные боли, боли в шее и в суставах.
Этапы лечения
Основная проблема, с которой мы столкнулись - это отсутствие достаточного объема костной ткани для проведения качественной ортодонтии. Поэтому была выполнена частичная ортодонтия - перемещение зубов в имеющейся костной ткани в пределах возможного. Нижняя челюсть зафиксирована в нужном терапевтическом положении, комфортном для сустава. Далее было проведено ортопедическое лечение и реабилитация как боковых, так и передних отделов зубов.
В результате мы получили изменение контура лица, улучшение мимики мускулатуры лица, далее мы улучшили состояние сустава (он вообще перестал беспокоить!), шея расслабилась, благодаря чему ушли головные боли и боли от напряжения.
Также лечение привело к существенному изменениям внешнего вида пациентки.
В результате мы получили изменение контура лица, улучшение мимики мускулатуры лица, далее мы улучшили состояние сустава (он вообще перестал беспокоить!), шея расслабилась, благодаря чему ушли головные боли и боли от напряжения.
Также лечение привело к существенному изменениям внешнего вида пациентки.
Результат лечения
Кто участвовал в лечении

Мискевич Марина Ивановна
Специализация:
Главный врач, стоматолог-ортопед, стоматолог-ортодонт, гнатолог.
Кандидат медицинских наук, член СтАР. Входит в ассоциацию лазерной стоматологии, ассоциированный член Общества по изучению цвета в стоматологии.
Владелец патента на изобретение «Способ изготовления экзопротеза верхней челюсти» (патент № 143103) и патента на полезную модель «Устройство для снятия несъемных зубных протезов» (патент № 54766).
Миссия в клинике:
Мы относимся к жизни и здоровью как к дару, к сохранению молодости и красоты – как к профессиональной чести, а воссоздание улыбки выполняем как ювелирную работу.

















