+7 495 737 44 66
Пн. - пт.: с 9:00 до 21:00
Сб.: с 9:00 до 18:00
улица Новый Арбат, 30/9,
Россия, Москва

Пн. - пт.: с 9:00 до 21:00 Сб.: с 9:00 до 18:00

+7 495 737 44 66

Комплексное лечение и фейслифтинг

Обращение пациента

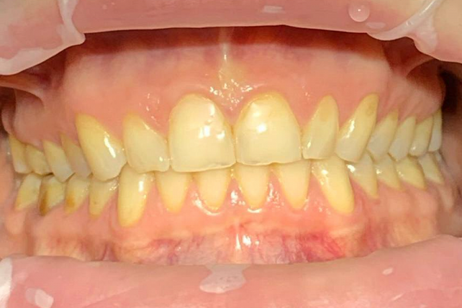
картинка
С какой проблемой обратился пациент
Стираемость зубов, повышенная чувствительность эмали, некрасивый желтый оттенок зубов, оплывший контур лица, небольшая кривизна зубов.
картинка
Этапы лечения
Была проведена комплексная работа ортодонта-гнатолога, терапевта и ортопеда гнатолога. Тотальная реабилитация винирами улучшила фирму лица, подтянулся контур, красиво легли губы. Пациентка очень довольна.

Результат лечения

Кто участвовал в лечении

Мискевич Марина Ивановна
Мискевич Марина Ивановна

Специализация:

Главный врач, стоматолог-ортопед, стоматолог-ортодонт, гнатолог.

Кандидат медицинских наук, член СтАР. Входит в ассоциацию лазерной стоматологии, ассоциированный член Общества по изучению цвета в стоматологии.

Владелец патента на изобретение «Способ изготовления экзопротеза верхней челюсти» (патент № 143103) и патента на полезную модель «Устройство для снятия несъемных зубных протезов» (патент № 54766).

Миссия в клинике:

Мы относимся к жизни и здоровью как к дару, к сохранению молодости и красоты – как к профессиональной чести, а воссоздание улыбки выполняем как ювелирную работу.


Записаться на прием
Кобликова Анастасия Михайловна
Кобликова Анастасия Михайловна

Специализация:

Врач ортодонт, гнатолог

Master of science (Магистр естесственных наук), училась и практиковалась в Австрии в Венском Университете

Миссия в клинике:

Ведение ортодонтического приема как взрослых, так и детей в полном объёме. Проведение комплексной гнатологической и ортодонтической диагностики. Ведение пациента совместно с хирургом, ортопедом и терапевтом. Лечение детей и взрослых с помощью съемных( элайнеры, пластинки) и несъёмных ( брекеты, ортопланты, аппараты хайрекс, форсус и тд) систем. Лечение патологий ВНЧС, связанных с нарушениями зубочелюстной системы.

Записаться на прием
Платонов Евгений Владиславович
Платонов Евгений Владиславович

Специализация:

Врач стоматолог-терапевт, эндодонтист, детский стоматолог

Миссия в клинике:

Все виды терапевтического лечения, Эндодонтия любой степени сложности, Работа на операционном микроскопе, Работа ротационными эндодонтическими инструментами, Обтурация корневых каналов термопластифицированной гуттаперчей, Владение современными методиками адгезивных композитных реставраций

Записаться на прием
Обсудите свои стоматологические проблемы с доктором Немецкого Стоматологического Центра! Он подберёт оптимальные пути их решения.