+7 495 737 44 66
Пн. - пт.: с 9:00 до 21:00
Сб.: с 9:00 до 18:00
улица Новый Арбат, 30/9,
Россия, Москва

Пн. - пт.: с 9:00 до 21:00 Сб.: с 9:00 до 18:00

+7 495 737 44 66

Комплексное лечение: ортодонтия + виниры

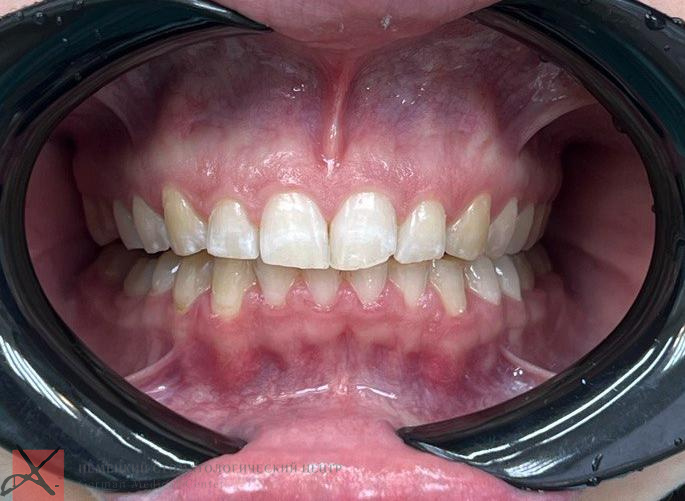
Обращение пациента

картинка
С какой проблемой обратился пациент

Пациентка обратилась в Немецкий Стоматологический Центр с желанием улучшить эстетику улыбки. Однако в ходе диагностики стало ясно: для стабильного и долговечного результата необходимо не только восстановление формы зубов, но и коррекция прикуса.

картинка
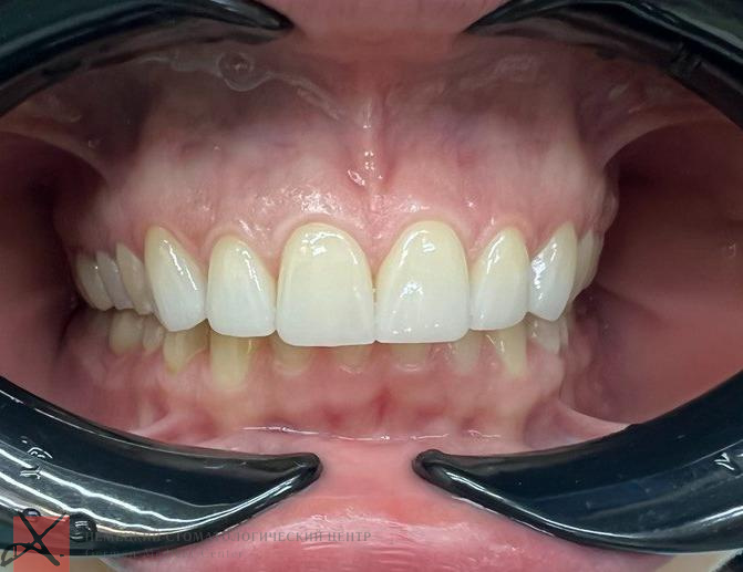
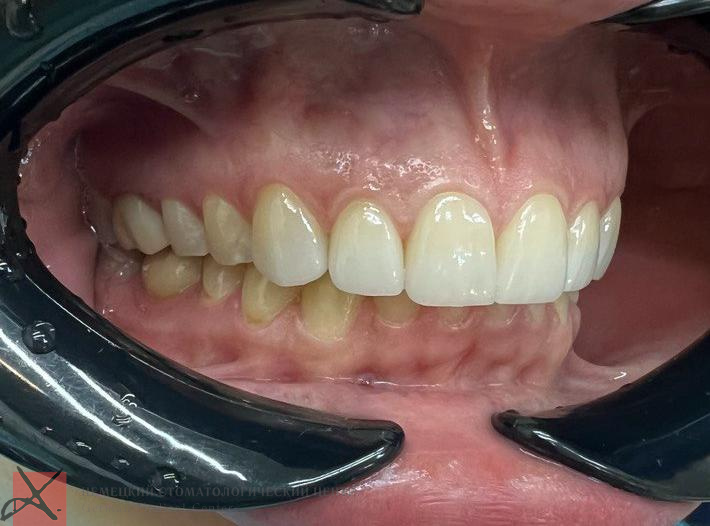
Этапы лечения

Этап 1: Ортодонтическое лечение

Ортодонт: Алиханова М.Я.

После детальной диагностики были выявлены скрытые нарушения прикуса и неравномерное распределение нагрузки. В ходе лечения:

  • проведено выравнивание зубных рядов
  • создана правильная высота прикуса
  • подготовлена челюстная система к финальному этапу

Этап 2: Эстетическая реабилитация

Ортопед: Мискевич М.И.

После завершения ортодонтического этапа была проведена цифровая диагностика и 3D-моделирование будущей улыбки. Совместно с пациенткой подобраны:

  • естественная форма зубов
  • оттенок, соответствующий внешности и возрасту

Установлены керамические виниры, интегрированные в сбалансированную окклюзию.

Результат:

  • Устранены скрытые биомеханические нарушения
  • Сбалансирован прикус
  • Создана красивая, пропорциональная и устойчивая улыбка

Этот случай — пример комплексного подхода НСЦ: вместо компромиссов — точное планирование, командная работа и здоровье зубочелюстной системы в долгосрочной перспективе.

Результат лечения

Кто участвовал в лечении

Мискевич Марина Ивановна
Мискевич Марина Ивановна

Специализация:

Главный врач, стоматолог-ортопед, стоматолог-ортодонт, гнатолог.

Кандидат медицинских наук, член СтАР. Входит в ассоциацию лазерной стоматологии, ассоциированный член Общества по изучению цвета в стоматологии.

Владелец патента на изобретение «Способ изготовления экзопротеза верхней челюсти» (патент № 143103) и патента на полезную модель «Устройство для снятия несъемных зубных протезов» (патент № 54766).

Миссия в клинике:

Мы относимся к жизни и здоровью как к дару, к сохранению молодости и красоты – как к профессиональной чести, а воссоздание улыбки выполняем как ювелирную работу.


Записаться на прием
Алиханова Милана Якубовна
Алиханова Милана Якубовна

Специализация:

Врач стоматолог-ортодонт, гнатолог.

Член российского профессионального общества ортодонтов России, Dental Brilliance специалист компании Flexiligner

Миссия в клинике:

Ведение ортодонтического приёма.

Ведение пациентов с дисфункцией ВНЧС различной этиологии (окклюзионная терапия (шины, позиционеры, миорелаксирующие каппы). Проведение комплексной диагностики, лечебно-диагностических процедур (электромиорелаксация, кондилография). Комплексный подход к лечению пациентов. Взаимодействие со смежными специалистами (стоматологи-терапевты, ортопеды, хирурги, детские стоматологи, ЛОР врачи, логопеды).


Записаться на прием
Обсудите свои стоматологические проблемы с доктором Немецкого Стоматологического Центра! Он подберёт оптимальные пути их решения.