+7 495 737 44 66
Пн. - пт.: с 9:00 до 21:00
Сб.: с 9:00 до 18:00
улица Новый Арбат, 30/9,
Россия, Москва

Пн. - пт.: с 9:00 до 21:00 Сб.: с 9:00 до 18:00

+7 495 737 44 66

Комплексное ортодонтическое и гнатологическое лечение

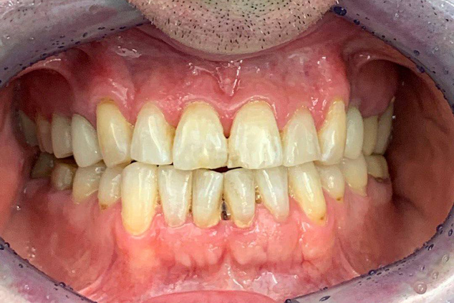
Обращение пациента

картинка
С какой проблемой обратился пациент

Наш постоянный клиент, который настаивал только на лечении кариеса. Несмотря на ряд проблем: стираемость зубов, перекрестный прикус, который и вызывал увеличение стираемости, пациент не хотел делать комплексную работу.

Какой диагноз поставили

В итоге из-за неправильного прикуса стираемость зубов прогрессировала и нам удалось убедить пациента заняться данной проблемой серьезно.

картинка
Этапы лечения

Была проведена сложная междисциплинарная работа:

1. Восстановлена правильная позиция зубов с помощью ортодонтического лечения под наблюдением гнатолога, но в связи с высокой стираемостью этого было недостаточно.
2. Была проведена ортопедическая реабилитация ортопедическими конструкциями с восстановлением высоты нижней трети лица и формы стертых зубов.

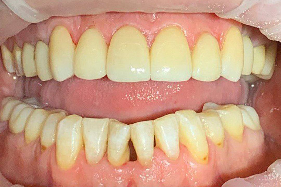
В результате мы получили сохранность ситуации , которая не ухудшается дальше. Лицо стало более молодым и подтянутым. Пациент перестал скрипеть зубами и стирать свои собственные зубы.

Результат лечения

Кто участвовал в лечении

Мискевич Марина Ивановна
Мискевич Марина Ивановна

Специализация:

Главный врач, стоматолог-ортопед, стоматолог-ортодонт, гнатолог.

Кандидат медицинских наук, член СтАР. Входит в ассоциацию лазерной стоматологии, ассоциированный член Общества по изучению цвета в стоматологии.

Владелец патента на изобретение «Способ изготовления экзопротеза верхней челюсти» (патент № 143103) и патента на полезную модель «Устройство для снятия несъемных зубных протезов» (патент № 54766).

Миссия в клинике:

Мы относимся к жизни и здоровью как к дару, к сохранению молодости и красоты – как к профессиональной чести, а воссоздание улыбки выполняем как ювелирную работу.


Записаться на прием
Обсудите свои стоматологические проблемы с доктором Немецкого Стоматологического Центра! Он подберёт оптимальные пути их решения.