Лечение на ортотике
Обращение пациента
-
не открывается рот
-
боль в челюсти, гипертонус жевательных мышц
-
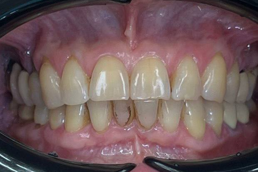
стираемость зубов
-
Провели комплексную реабилитацию с помощью физиопрецедур на аппарате Indiba.
-
Благодаря физиопроцедурам запустили процессы релаксации и восстановления мышц , в результате чего рот открылся и мы смогли получить оттиски.
-
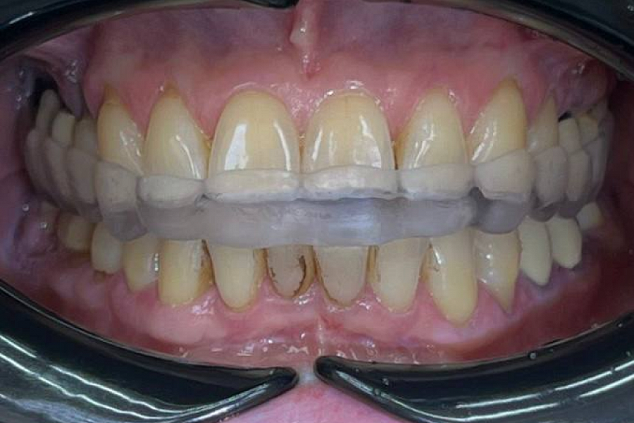
Сделали ортотик, чтобы поставить челюсть в правильное положение.
-
Далее по плану санация зубов и протезирование в правильной терапевтической позиции ВНЧС. С помощью виниров и коронок будет проведена эстетическая и функциональная реабилитация, получена красивая улыбка и качественное жевание. Лицо подтянется и помолодеет!!
Что получили?
-
рот открывается без проблем
-
ушли боли в ВНЧС, нормализовался тонус жевательных мышц
Ждём результаты после протезирования!
Результат лечения
Кто участвовал в лечении

Специализация:
Главный врач, стоматолог-ортопед, стоматолог-ортодонт, гнатолог.
Кандидат медицинских наук, член СтАР. Входит в ассоциацию лазерной стоматологии, ассоциированный член Общества по изучению цвета в стоматологии.
Владелец патента на изобретение «Способ изготовления экзопротеза верхней челюсти» (патент № 143103) и патента на полезную модель «Устройство для снятия несъемных зубных протезов» (патент № 54766).
Миссия в клинике:
Мы относимся к жизни и здоровью как к дару, к сохранению молодости и красоты – как к профессиональной чести, а воссоздание улыбки выполняем как ювелирную работу.




