+7 495 737 44 66
Пн. - пт.: с 9:00 до 21:00
Сб.: с 9:00 до 18:00
улица Новый Арбат, 30/9,
Россия, Москва

Пн. - пт.: с 9:00 до 21:00 Сб.: с 9:00 до 18:00

+7 495 737 44 66

Выравнивание цвета эмали

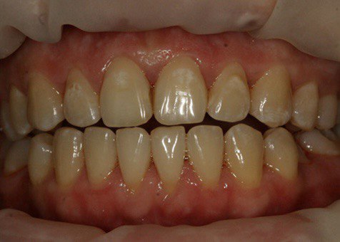
Обращение пациента

картинка
С какой проблемой обратился пациент

Пациентка 25 лет обратилась с жалобами на неравномерный цвет зубов (белые пятна на зубах) и потемнение пломбы между центральными резцами верхней челюсти.

картинка
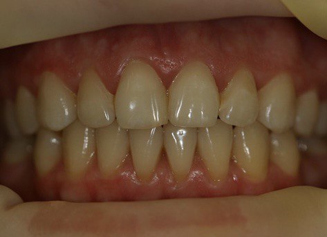
Этапы лечения

Проведена процедура микроабразии эмали зубов с использованием пасты Opalustre и последующей реминерализацией препаратами кальция.

Для получения окончательного результата потребовалось три посещения с интервалом в 5 дней, после чего пломба на центральных резцах верхней челюсти была заменена.


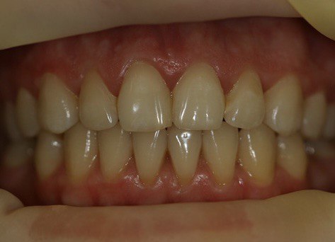
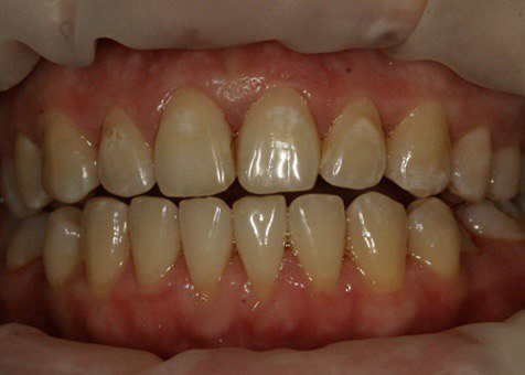
Результат лечения

Кто участвовал в лечении

Романова Светлана
Романова Светлана

Специализация:

Стоматолог гигиенист. Сертифицированный специалист по отбеливанию зубов.

Должностные обязанности:

Профессиональная гигиена полости рта; снятие зубных отложение, как наддесневых, так и поддесневых; закрытый кюретаж пародонтальных карманов; чистка Air-Flow; удаление налета курильщика, ручная чистка и чистка ультразвуком; обучение профессиональной гигиене полости рта, демонстрация пациенту правильных методов чистки зубов; определение гигиенических индексов, подбор индивидуальных средств гигиены; отбеливание зубов.

Записаться на прием
Обсудите свои стоматологические проблемы с доктором Немецкого Стоматологического Центра! Он подберёт оптимальные пути их решения.