+7 495 737 44 66
Пн. - пт.: с 9:00 до 21:00
Сб.: с 9:00 до 18:00
улица Новый Арбат, 30/9,
Россия, Москва

Пн. - пт.: с 9:00 до 21:00 Сб.: с 9:00 до 18:00

+7 495 737 44 66

Лечение депульпированного резца

Обращение пациента

картинка
С какой проблемой обратился пациент

Пациент 55 лет обратился с жалобами на длительные болевые ощущения в левом переднем сегменте верхней челюсти. По словам пациента в свое время первый резец был депульпирован. При этом к клинике, где депульпировали зуб, пациенту сказали, что в дальнейшем проблем с ним не возникнет.

Какой диагноз поставили

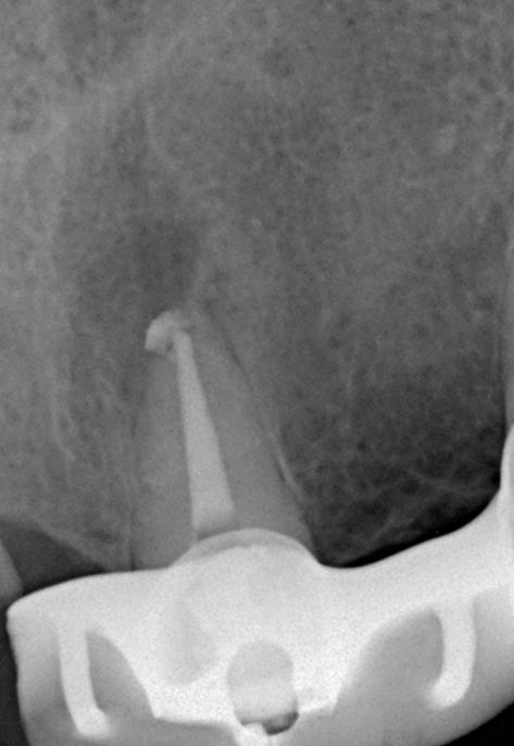
Выявлена болезненность при перкуссии и пальпации в области 21 зуба. Зуб не реагирует на термические раздражители. Результаты пародонтологического обследования в пределах нормы, рентгенологическое обследование выявило радиолюцентную зону в области верхушки корня (снимки 1, 2).

Диагноз: Острый апикальный периодонтит.

картинка
Этапы лечения

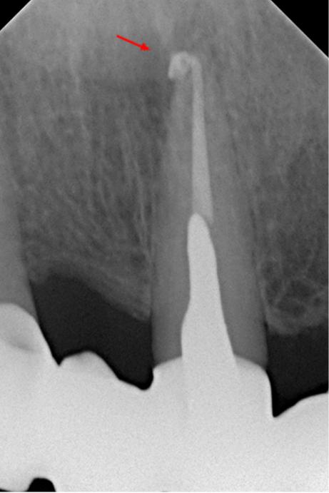
В связи с наличием у пациента жалоб и клинических симптомов принято решение о проведении ревизии корневого канала 21 зуба. Проведена терапия с помощью гидроокиси кальция в течении 4-х недель (снимок 3). Пломбировка канала гуттаперчей и корневым герметиком.

На контрольном снимке через 12 месяцев после лечения отмечается репарация тканей в области верхушки 21 зуба (снимок 4). Жалобы отсутствуют.

Результат лечения

Обсудите свои стоматологические проблемы с доктором Немецкого Стоматологического Центра! Он подберёт оптимальные пути их решения.