Ортодонтическое лечение и протезирование винирами
Обращение пациента
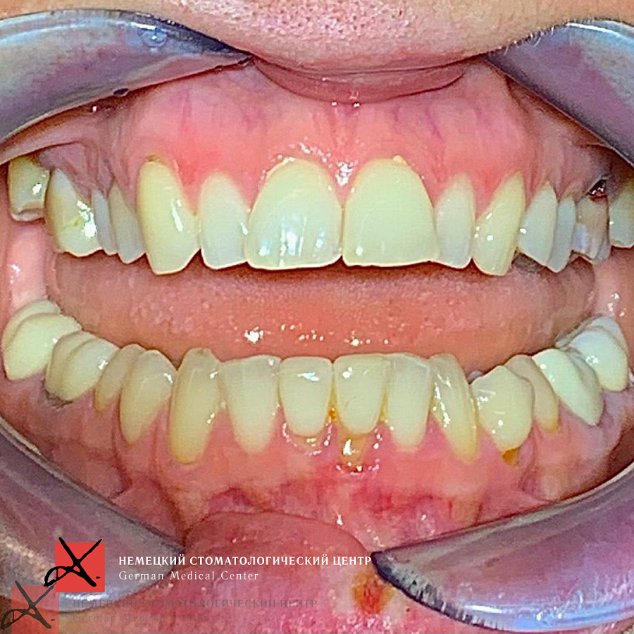
С какой проблемой обратился пациент
1. Жалобы на эстетический вид зубов.
2. Нарушение функций жевания.
3. Изменение контура лица.
2. Нарушение функций жевания.
3. Изменение контура лица.
Этапы лечения
Была проведена тщательная диагностика, после чего принято решение о комплексном подходе к лечению.
Сначала было проведена санация полости рта. Затем а ортодонтическое лечение для восстановления высоты прикуса.
С эстетической частью справились за счёт протезирования винирами в естественной форме и в естественном цвете.
Результат получился отличный! Пациентка очень довольна!
Сначала было проведена санация полости рта. Затем а ортодонтическое лечение для восстановления высоты прикуса.
С эстетической частью справились за счёт протезирования винирами в естественной форме и в естественном цвете.
Результат получился отличный! Пациентка очень довольна!
Результат лечения
Кто участвовал в лечении

Мискевич Марина Ивановна
Специализация:
Главный врач, стоматолог-ортопед, стоматолог-ортодонт, гнатолог.
Кандидат медицинских наук, член СтАР. Входит в ассоциацию лазерной стоматологии, ассоциированный член Общества по изучению цвета в стоматологии.
Владелец патента на изобретение «Способ изготовления экзопротеза верхней челюсти» (патент № 143103) и патента на полезную модель «Устройство для снятия несъемных зубных протезов» (патент № 54766).
Миссия в клинике:
Мы относимся к жизни и здоровью как к дару, к сохранению молодости и красоты – как к профессиональной чести, а воссоздание улыбки выполняем как ювелирную работу.






