Ортодонтическое лечение и протезирование
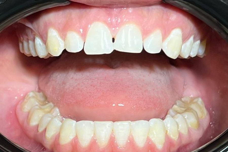
Обращение пациента
- щелчки и хруст при движении челюсти
- боль в ВНЧС
- повышенная стираемость зубов
- гипертонус жевательных мышц
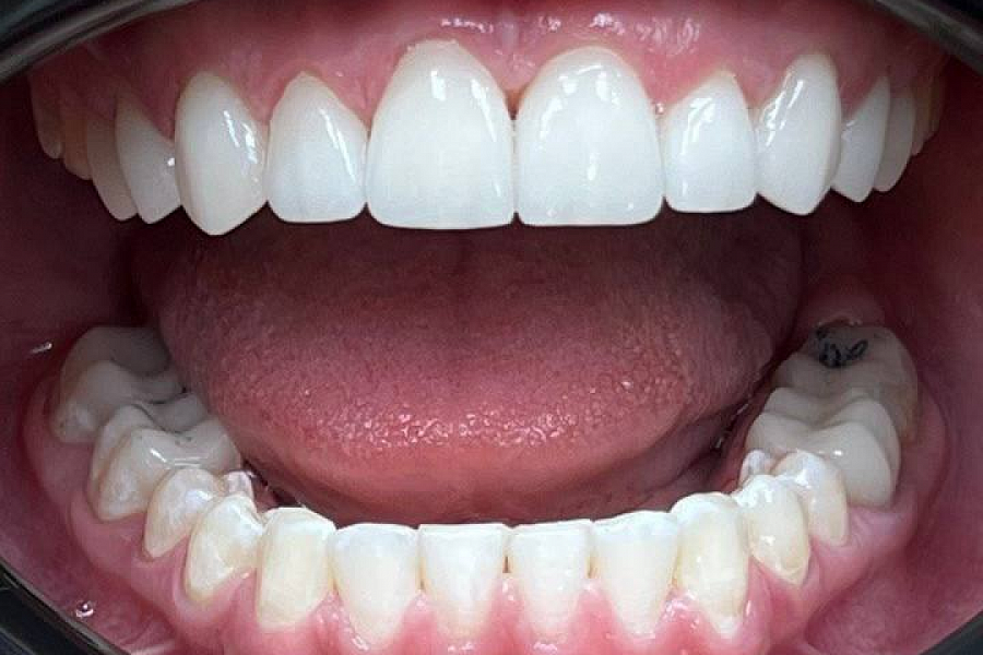
- Провели ортодонтическое перемещение зубов в правильной проекции.
- Провели протезирование.
- Восстановили высоту нижней трети лица и поставили нижнюю челюсть в терапевтическую позицию.
- В процессе лечения использовали аппарат Индиба для восстановления физиологического состояния мышц.
Благодаря правильной позиции ВНЧС ушли боли, хруст, щелчки в челюсти и стираемость зубов! У пациентки новые ровные зубы и очень красивая улыбка!
Мы очень довольны результатом, пациентка тоже!
Результат лечения
Кто участвовал в лечении

Специализация:
Главный врач, стоматолог-ортопед, стоматолог-ортодонт, гнатолог.
Кандидат медицинских наук, член СтАР. Входит в ассоциацию лазерной стоматологии, ассоциированный член Общества по изучению цвета в стоматологии.
Владелец патента на изобретение «Способ изготовления экзопротеза верхней челюсти» (патент № 143103) и патента на полезную модель «Устройство для снятия несъемных зубных протезов» (патент № 54766).
Миссия в клинике:
Мы относимся к жизни и здоровью как к дару, к сохранению молодости и красоты – как к профессиональной чести, а воссоздание улыбки выполняем как ювелирную работу.

Специализация:
Врач стоматолог-ортодонт, гнатолог.
Член российского профессионального общества ортодонтов России, Dental Brilliance специалист компании Flexiligner
Миссия в клинике:
Ведение ортодонтического приёма.
Ведение пациентов с дисфункцией ВНЧС различной этиологии (окклюзионная терапия (шины, позиционеры, миорелаксирующие каппы). Проведение комплексной диагностики, лечебно-диагностических процедур (электромиорелаксация, кондилография). Комплексный подход к лечению пациентов. Взаимодействие со смежными специалистами (стоматологи-терапевты, ортопеды, хирурги, детские стоматологи, ЛОР врачи, логопеды).










