+7 495 737 44 66
Пн. - пт.: с 9:00 до 21:00
Сб.: с 9:00 до 18:00
улица Новый Арбат, 30/9,
Россия, Москва

Пн. - пт.: с 9:00 до 21:00 Сб.: с 9:00 до 18:00

+7 495 737 44 66

Реставрация на основе оксида циркония и керамических виниров

Обращение пациента

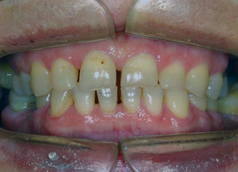
картинка
С какой проблемой обратился пациент

Пациентка обратилась с жалобами на неудовлетворяющую эстетику, образовавшиеся в последнее время промежутки между зубами, значительную стираемость зубов и связанный с этим явлением дискомфорт во время приёма пищи.

Какой диагноз поставили

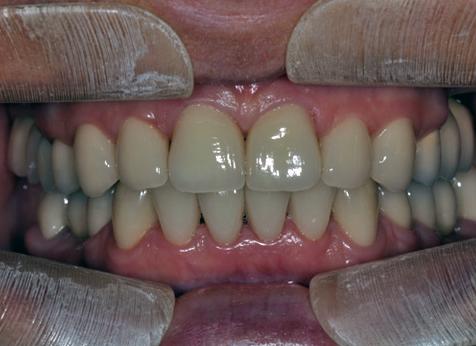
После серии диагностических исследований, включающих функциональный анализ было осуществлено реконструктивное лечение с учетом индивидуальной функции каркасными реставрациями на основе оксида циркония и керамическим винирами.

картинка
Этапы лечения

Данный вид ортопедического восстановления позволяет добиваться максимальных эстетико-функциональных результатов. Стоматологические изделия из оксида циркония обладают биологически совместимыми свойствами. Поскольку эти качества полностью исключают любые иммунные реакции, подобные реставрации являются лучшим выбором ещё и для тех пациентов, чей аллергологический статус неполноценен.

Обсудите свои стоматологические проблемы с доктором Немецкого Стоматологического Центра! Он подберёт оптимальные пути их решения.