Осветление эмали зубов
Обращение пациента
С какой проблемой обратился пациент
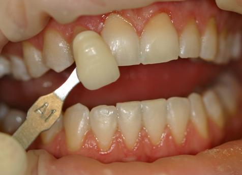
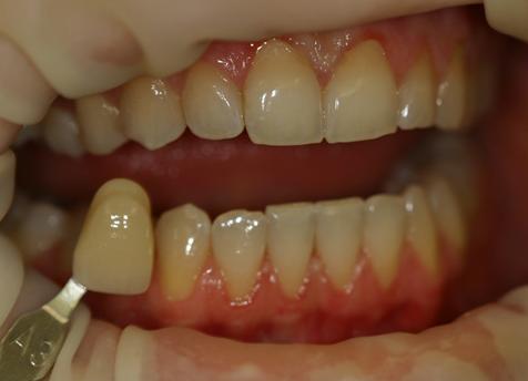
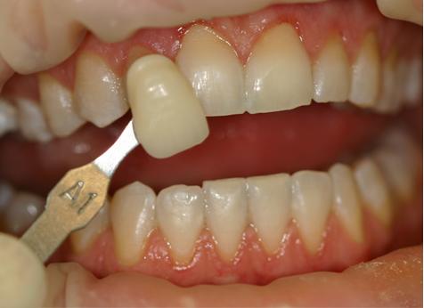
Пациентка 23 лет обратилась с жалобой на тёмный цвет зубов.
Какой диагноз поставили
Проведено отбеливание зубов с применением диодного лазера.
Этапы лечения
- Проведение профессиональной гигиены полости рта.
- Фотометрия исходного цвета зубов.
- Изоляция мягких тканей полости рта (десна, щёки, язык, губы)
- Двукратное нанесение отбеливающего состава с интервалом 20мин.
- Активация отбеливающего состава с помощью диодного лазера.
- Реминерализующая терапия - насыщение эмали зубов пропаратами кальция и фтора (по показаниям) для снижения чувствительности и стабилизации цвета зубов.
- Фотометрия результатов процедуры.
- Рекомендации.
Результат лечения
Кто участвовал в лечении

Романова Светлана
Специализация:
Стоматолог гигиенист. Сертифицированный специалист по отбеливанию зубов.
Должностные обязанности:
Профессиональная гигиена полости рта; снятие зубных отложение, как наддесневых, так и поддесневых; закрытый кюретаж пародонтальных карманов; чистка Air-Flow; удаление налета курильщика, ручная чистка и чистка ультразвуком; обучение профессиональной гигиене полости рта, демонстрация пациенту правильных методов чистки зубов; определение гигиенических индексов, подбор индивидуальных средств гигиены; отбеливание зубов.



