Переделывание неудачных виниров
Обращение пациента
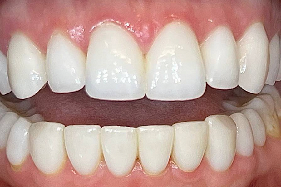
После установки виниров в другой клинике у пациентки появились боли в ВНЧС, поэтому она обратилась к нам.
Старые конструкции пришлось снять, т.к. они не подходили по размеру. Пациентка хотела зубы с прозрачным режущим краем. И первый вариант виниров мы сделали прозрачным. Но при примерке оказалось, что такой прозрачный край красиво смотрится на отфотошопленных фото, но не в жизни. Поэтому виниры переделали. Второй вариант получился идеальным со всех точек зрения.
В результате получили идеальную улыбку и красивые белые зубы, отсутствие дискомфорта и боли в области суставов.
Результат лечения
Кто участвовал в лечении

Специализация:
Главный врач, стоматолог-ортопед, стоматолог-ортодонт, гнатолог.
Кандидат медицинских наук, член СтАР. Входит в ассоциацию лазерной стоматологии, ассоциированный член Общества по изучению цвета в стоматологии.
Владелец патента на изобретение «Способ изготовления экзопротеза верхней челюсти» (патент № 143103) и патента на полезную модель «Устройство для снятия несъемных зубных протезов» (патент № 54766).
Миссия в клинике:
Мы относимся к жизни и здоровью как к дару, к сохранению молодости и красоты – как к профессиональной чести, а воссоздание улыбки выполняем как ювелирную работу.







