+7 495 737 44 66
Пн. - пт.: с 9:00 до 21:00
Сб.: с 9:00 до 18:00
улица Новый Арбат, 30/9,
Россия, Москва

Пн. - пт.: с 9:00 до 21:00 Сб.: с 9:00 до 18:00

+7 495 737 44 66

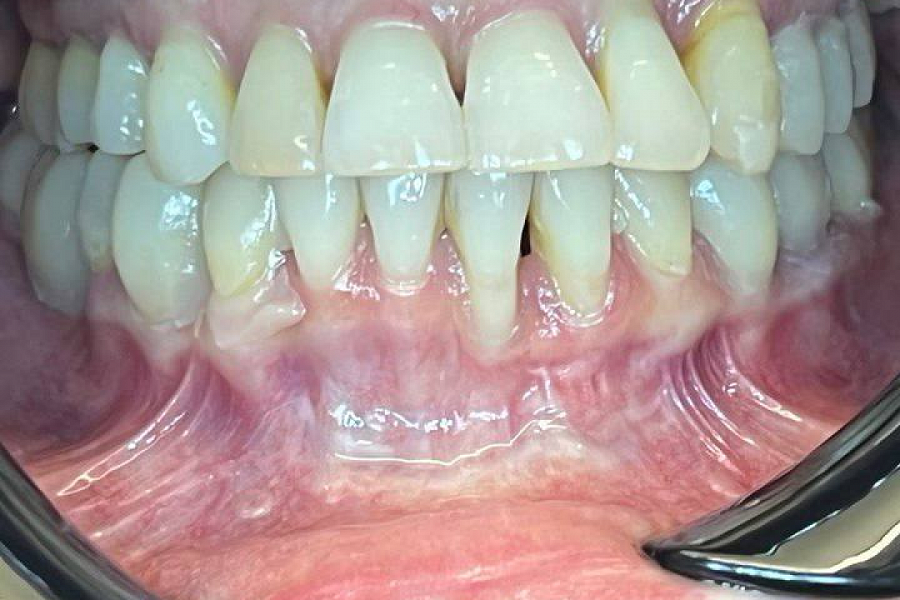
Перелечивание неудачного ортодонтического лечения

Обращение пациента

картинка
С какой проблемой обратился пациент
Пациентка обратилась к нам после неудачного ортодонтического лечения в другой клинике, из-за которого появился целый набор проблем:
  • челюсть встала в неправильную позицию, что привело к дисфункции ВНЧС и перенапряжению лицевых и жевательных мышц
  • начал болеть сустав, 
  • появился дискомфорт при жевании, 
  • отдельные зубы стали очень подвижны,
  • часть зубов подверглась перегрузке.

Какой диагноз поставили

Из-за вышеперечисленных проблем у пациентки появился страх потерять зубы. 
картинка
Этапы лечения

Все проблемы решили грамотным тотальным протезированием. Челюсть приняла правильное положение, ушла боль и дискомфорт, а вместе с ними и страх.

В планах операция по устранении рецессии на нижнем резце.

Результат лечения

Кто участвовал в лечении

Мискевич Марина Ивановна
Мискевич Марина Ивановна

Специализация:

Главный врач, стоматолог-ортопед, стоматолог-ортодонт, гнатолог.

Кандидат медицинских наук, член СтАР. Входит в ассоциацию лазерной стоматологии, ассоциированный член Общества по изучению цвета в стоматологии.

Владелец патента на изобретение «Способ изготовления экзопротеза верхней челюсти» (патент № 143103) и патента на полезную модель «Устройство для снятия несъемных зубных протезов» (патент № 54766).

Миссия в клинике:

Мы относимся к жизни и здоровью как к дару, к сохранению молодости и красоты – как к профессиональной чести, а воссоздание улыбки выполняем как ювелирную работу.


Записаться на прием
Обсудите свои стоматологические проблемы с доктором Немецкого Стоматологического Центра! Он подберёт оптимальные пути их решения.