Протезирование и имплантация с гнатологическим лечением
Обращение пациента
С какой проблемой обратился пациент
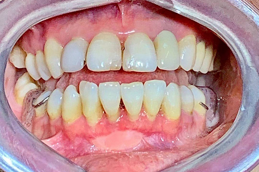
Пациентка обратилась с рядом проблем:
- жалобы на боли в суставах
- щелчки в челюсти
- неудобно жевать
- сильно разрушенные зубы
- множество эстетических дефектов, которые не позволяют пациентке полноценно улыбаться
Этапы лечения
Начали с денталфобии. Мы работаем по авторской антистресс системе, которая эффективно помогает нашим пациентам избавиться от боязни лечить зубы и посещать стоматолога. Пациентка перестала бояться, для нее это самая большая победа.
Далее было проведено большое стоматологическое лечение и реабилитация:
Сперва удалили зубы, которые невозможно было сохранить.
Провели имплантацию, частичное протезирование и частичную реставрацию. Протезирование выполнили частично по желанию пациентки, т.к. она не была готова к тотальному протезированию. Поэтому там, где было возможно, провели реставрацию пломбами. Вместо удалённых зубов поставили красивые коронки, которые выглядят очень натурально и очень гармонично сочетаются со своими зубами.
Пациентка смело улыбается. Ушли боли и щелчки при жевании. И самое главное, теперь пациентка не боится ходить к стоматологу
Далее было проведено большое стоматологическое лечение и реабилитация:
Сперва удалили зубы, которые невозможно было сохранить.
Провели имплантацию, частичное протезирование и частичную реставрацию. Протезирование выполнили частично по желанию пациентки, т.к. она не была готова к тотальному протезированию. Поэтому там, где было возможно, провели реставрацию пломбами. Вместо удалённых зубов поставили красивые коронки, которые выглядят очень натурально и очень гармонично сочетаются со своими зубами.
Пациентка смело улыбается. Ушли боли и щелчки при жевании. И самое главное, теперь пациентка не боится ходить к стоматологу
Результат лечения
Кто участвовал в лечении

Мискевич Марина Ивановна
Специализация:
Главный врач, стоматолог-ортопед, стоматолог-ортодонт, гнатолог.
Кандидат медицинских наук, член СтАР. Входит в ассоциацию лазерной стоматологии, ассоциированный член Общества по изучению цвета в стоматологии.
Владелец патента на изобретение «Способ изготовления экзопротеза верхней челюсти» (патент № 143103) и патента на полезную модель «Устройство для снятия несъемных зубных протезов» (патент № 54766).
Миссия в клинике:
Мы относимся к жизни и здоровью как к дару, к сохранению молодости и красоты – как к профессиональной чести, а воссоздание улыбки выполняем как ювелирную работу.






