Снятие старых протезов и установка новых
Обращение пациента
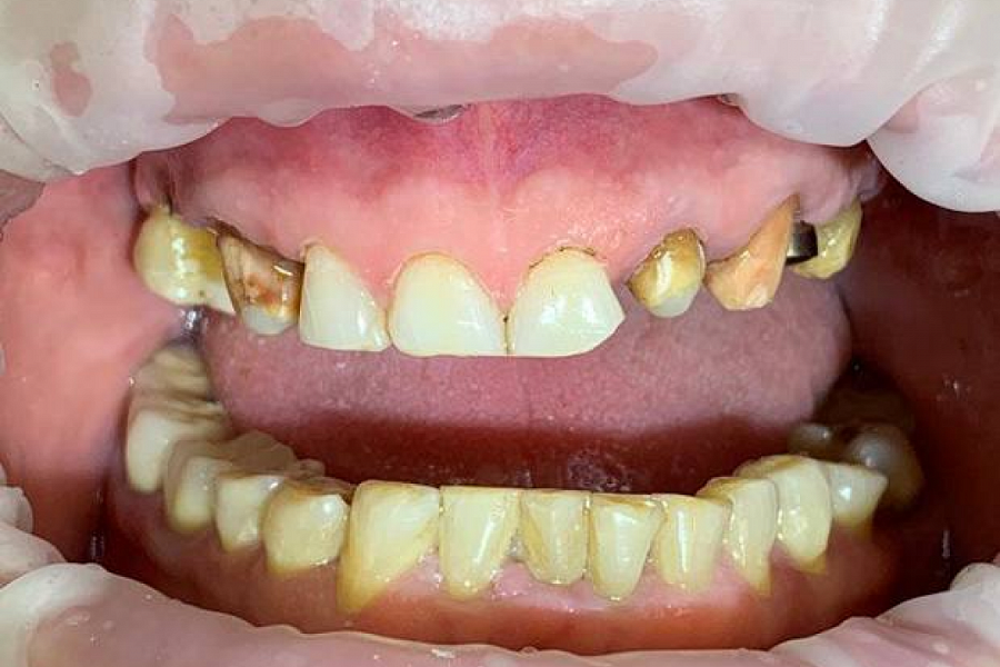
Некрасивые зубы с сильно стертым краем.
Сняли старые конструкции, провели санацию зубов и далее эстетическую реставрацию, восстановили зубные ряды.
Пациент счастлив, у него теперь очень красивая улыбка и здоровые ровные зубы.
Результат лечения
Кто участвовал в лечении

Специализация:
Главный врач, стоматолог-ортопед, стоматолог-ортодонт, гнатолог.
Кандидат медицинских наук, член СтАР. Входит в ассоциацию лазерной стоматологии, ассоциированный член Общества по изучению цвета в стоматологии.
Владелец патента на изобретение «Способ изготовления экзопротеза верхней челюсти» (патент № 143103) и патента на полезную модель «Устройство для снятия несъемных зубных протезов» (патент № 54766).
Миссия в клинике:
Мы относимся к жизни и здоровью как к дару, к сохранению молодости и красоты – как к профессиональной чести, а воссоздание улыбки выполняем как ювелирную работу.








