Точечное ортодонтическое лечение и протезирование
Обращение пациента
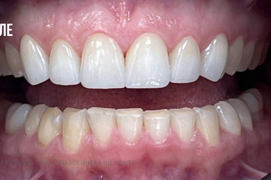
Начали с ортодонтии. Несмотря на то, что у пациентки был сильно ограничен бюджет на лечение, мы смогли провести очень точечную ортодонтию, чтобы переместить незначительное количества зубов и создать более широкий объем верхнего зубного ряда и частично нижнего зубного ряда.
В связи с отсутствием у пациентки достаточной длины клыков и резцов, мы провели протезирование передней группы зубов тонкостенными винирами с минимальным препарированием (так хотела пациентка). Задача с протезированием была непростой, т.к. нужно было идеально попасть в цвет, чтобы виниры и свои зубы выглядели идентично.
Также восстановили высоту нижней трети лица за счет боковых сегментов верхней и нижней челюсти.
Пациентка осталась очень довольна, новые зубы выглядят великолепно, а дискомфорт в ВНЧС и стираемость зубов теперь не беспокоят.
Результат лечения
Кто участвовал в лечении

Специализация:
Главный врач, стоматолог-ортопед, стоматолог-ортодонт, гнатолог.
Кандидат медицинских наук, член СтАР. Входит в ассоциацию лазерной стоматологии, ассоциированный член Общества по изучению цвета в стоматологии.
Владелец патента на изобретение «Способ изготовления экзопротеза верхней челюсти» (патент № 143103) и патента на полезную модель «Устройство для снятия несъемных зубных протезов» (патент № 54766).
Миссия в клинике:
Мы относимся к жизни и здоровью как к дару, к сохранению молодости и красоты – как к профессиональной чести, а воссоздание улыбки выполняем как ювелирную работу.

Специализация:
Врач стоматолог-ортопед, стоматолог-терапевт, стоматолог-хирург, гнатолог, клинический провайдер.
Миссия в клинике:
Эстетическое протезирование цельно-керамическими конструкциями; протезирование на имплантатах в качестве немедленной нагрузки; полнофункциональные микропротетические безметалловые восстановления; условно-съемное протезирование на телескопических системах и имплантатах; все виды прямых эстетических реставраций.

Специализация:
Врач ортодонт, гнатолог
Master of science (Магистр естесственных наук), училась и практиковалась в Австрии в Венском Университете
Миссия в клинике:
Ведение ортодонтического приема как взрослых, так и детей в полном объёме. Проведение комплексной гнатологической и ортодонтической диагностики. Ведение пациента совместно с хирургом, ортопедом и терапевтом. Лечение детей и взрослых с помощью съемных( элайнеры, пластинки) и несъёмных ( брекеты, ортопланты, аппараты хайрекс, форсус и тд) систем. Лечение патологий ВНЧС, связанных с нарушениями зубочелюстной системы.






