+7 495 737 44 66
Пн. - пт.: с 9:00 до 21:00
Сб.: с 9:00 до 18:00
улица Новый Арбат, 30/9,
Россия, Москва

Пн. - пт.: с 9:00 до 21:00 Сб.: с 9:00 до 18:00

+7 495 737 44 66

Тотальная реконструкция зубных рядов

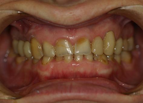
Обращение пациента

картинка
С какой проблемой обратился пациент

Пациентка обратилась с жалобами на неудовлетворительную эстетику зубов. Присутствовали жалобы на эпизодические головные боли, ассимметричные боли и хруст в области височно нижнечелюстных суставов (ВНЧС), стискивание зубов, сухость слизистой оболочки полости рта.


Какой диагноз поставили

После клинического обследования проведено реконструктивное лечение с использованием методик смежных дисциплин: ортодонтическая подготовка, эндодонтальная ревизия, пародонтологическая коррекция, имплантация.

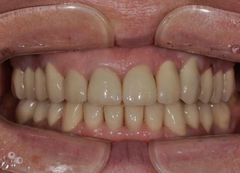
картинка
Этапы лечения

Тотальная эстетико-функциональная реконструкция зубных рядов, связанная с мышечно-суставной дисфункцией. Комплексная мультидисциплинарная лечебно-реабилитационная программа.
Зубные ряды восстановлены безметаловыми ортопедическими реставрациями.

Результат лечения

Обсудите свои стоматологические проблемы с доктором Немецкого Стоматологического Центра! Он подберёт оптимальные пути их решения.