+7 495 737 44 66
Пн. - пт.: с 9:00 до 21:00
Сб.: с 9:00 до 18:00
улица Новый Арбат, 30/9,
Россия, Москва

Пн. - пт.: с 9:00 до 21:00 Сб.: с 9:00 до 18:00

+7 495 737 44 66

Тотальное отбеливание зубов

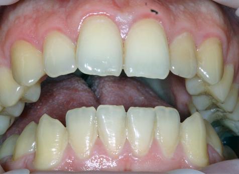
Обращение пациента

картинка
С какой проблемой обратился пациент

Пациент 27 лет обратился с целью отбеливания зубов.

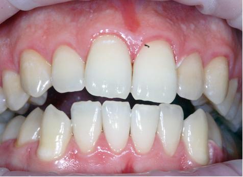
Какой диагноз поставили

Следует помнить, что чем светлее изначальный цвет зубов, тем менее заметен результат отбеливания. Иногда требуется проведение 2-4 процедур отбеливания для достижения желаемого результата.

картинка
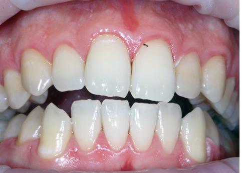
Этапы лечения

Отбеливание проведено в два посещения.

Этапы процедуры:

  1. Проведение профессиональной гигиены полости рта.
  2. Фотометрия исходного цвета зубов.
  3. Изотометрия исходного цвета зубов.
  4. Двукратное нанесение отбеливающего состава с интервалом 20мин.
  5. Активация отбеливающего состава с помощью диодного лазера.
  6. Реминерализующая терапия - насыщение эмали зубов пропаратами кальция и фтора (по показаниям) для снижения чувствительности и стабилизации цвета зубов.
  7. Повторная процедура отбеливания через 7 дней
  8. Фотометрия результатов процедуры.
  9. Рекомендации.
До процедуры отбеливания цвет А2. после процедуры отбеливания цвет зубов В1-А1.

Результат лечения

Кто участвовал в лечении

Романова Светлана
Романова Светлана

Специализация:

Стоматолог гигиенист. Сертифицированный специалист по отбеливанию зубов.

Должностные обязанности:

Профессиональная гигиена полости рта; снятие зубных отложение, как наддесневых, так и поддесневых; закрытый кюретаж пародонтальных карманов; чистка Air-Flow; удаление налета курильщика, ручная чистка и чистка ультразвуком; обучение профессиональной гигиене полости рта, демонстрация пациенту правильных методов чистки зубов; определение гигиенических индексов, подбор индивидуальных средств гигиены; отбеливание зубов.

Записаться на прием
Обсудите свои стоматологические проблемы с доктором Немецкого Стоматологического Центра! Он подберёт оптимальные пути их решения.