Тотальное протезирование
Обращение пациента
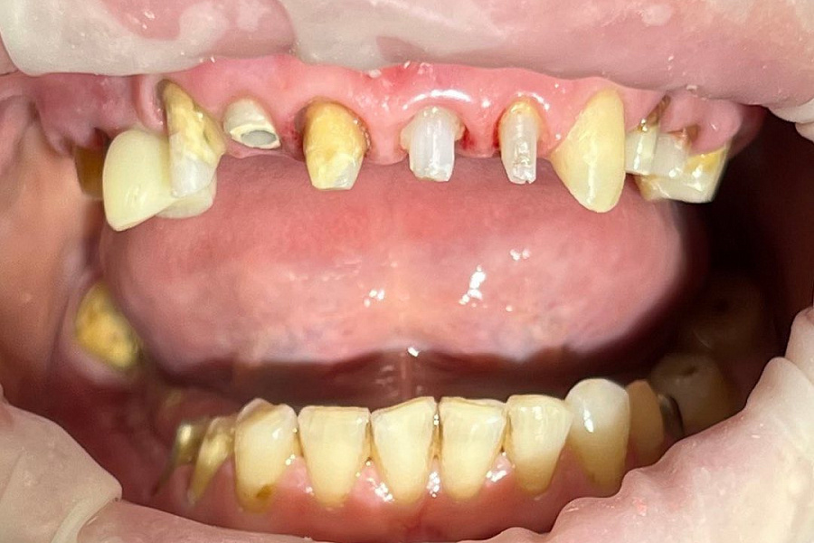
С какой проблемой обратился пациент
Пациентка обратилась с рядом проблем: патологии ВНЧС и зубов, снижение прикуса, что в свою очередь привело к изменению контура лица.
Этапы лечения
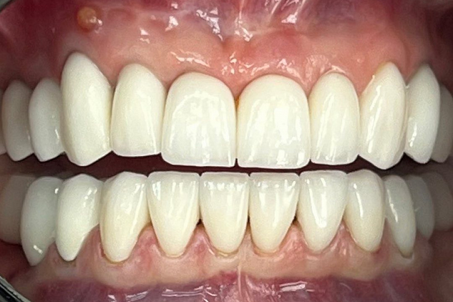
Была проделана комплексная работа по протезированию, с помощью чего сразу решались и вопросы с прикусом, и с эстетической частью, и с ВНЧС.
В итоге получили отличный результат: счастлива пациентка с новыми красивыми зубами и с правильным прикусом. Боли и жалобы ушли, контур лица подтянулся.
В итоге получили отличный результат: счастлива пациентка с новыми красивыми зубами и с правильным прикусом. Боли и жалобы ушли, контур лица подтянулся.
Результат лечения
Кто участвовал в лечении

Мискевич Марина Ивановна
Специализация:
Главный врач, стоматолог-ортопед, стоматолог-ортодонт, гнатолог.
Кандидат медицинских наук, член СтАР. Входит в ассоциацию лазерной стоматологии, ассоциированный член Общества по изучению цвета в стоматологии.
Владелец патента на изобретение «Способ изготовления экзопротеза верхней челюсти» (патент № 143103) и патента на полезную модель «Устройство для снятия несъемных зубных протезов» (патент № 54766).
Миссия в клинике:
Мы относимся к жизни и здоровью как к дару, к сохранению молодости и красоты – как к профессиональной чести, а воссоздание улыбки выполняем как ювелирную работу.





