Удаление сломанного зуба и имплантация
Обращение пациента
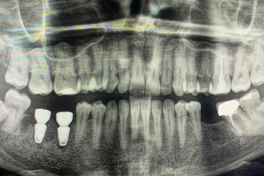
С какой проблемой обратился пациент
Пациентка обратилась с жалобой на перелом зуба, который ощутила при накусывании.
Этапы лечения
Провели имплантацию при помощи хирургического шаблона, который позволяет максимально точно спроектировать и спозиционировать положение имплантата для будущей функциональной нагрузки, грамотного распределения давления на имплантаты, а также здоровья зубного импланта. Операция прошла успешно.
Результат лечения
Кто участвовал в лечении

Самсонов Андрей Романович
Специализация:
Врач стоматолог-хирург, имплантолог
Миссия в клинике:
Удаление зубов любой сложности, имплантация, имплантация в эстетически важной зоне, операции на мягких тканях полости рта, увеличение объема твёрдых и мягких тканей, комплексный подход к лечению заболеваний полости рта.



