+7 495 737 44 66
Пн. - пт.: с 9:00 до 21:00
Сб.: с 9:00 до 18:00
улица Новый Арбат, 30/9,
Россия, Москва

Пн. - пт.: с 9:00 до 21:00 Сб.: с 9:00 до 18:00

+7 495 737 44 66

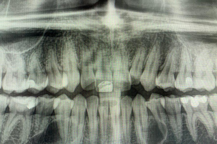
Удаления ретинированных зубов

Обращение пациента

картинка
С какой проблемой обратился пациент
Пациент направлен врачом-ортодонтом с целью удаления ретинированных дистопированных зубов. У пациента аномалия: лишние зубы в передне-боковых отделах.
картинка
Этапы лечения
Зубы были удалены через окошко в кости, сделанное изнутри полости рта со стороны языка. Заживление прошло отлично, пациент ни на что не жалуется, соседние зубы не были повреждены.
На данный момент пациент продолжает ортодонтическое лечение.

Результат лечения

Кто участвовал в лечении

Самсонов Андрей Романович
Самсонов Андрей Романович

Специализация:

Врач стоматолог-хирург, имплантолог

Миссия в клинике:

Удаление зубов любой сложности, имплантация, имплантация в эстетически важной зоне, операции на мягких тканях полости рта, увеличение объема твёрдых и мягких тканей, комплексный подход к лечению заболеваний полости рта.

Записаться на прием
Обсудите свои стоматологические проблемы с доктором Немецкого Стоматологического Центра! Он подберёт оптимальные пути их решения.