Восстановление положения нижней челюсти и функции ВНЧС
Обращение пациента
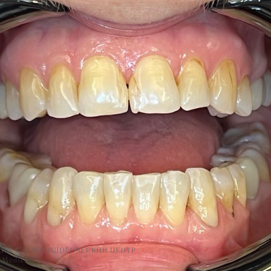
Пациентка пришла с выраженными жалобами:
- Болевой синдром в области височно-нижнечелюстных суставов
- Сильный щелчок при открывании рта
- Ограничение амплитуды открывания и зигзагообразные движения челюсти
- Напряжение лицевых и жевательных мышц
- Снижение слуха и чувство заложенности ушей
- Изменение пропорций лица и стираемость зубов
Какой диагноз поставили
Комплексное обследование показало:
- Дистализацию нижней челюсти из-за потери высоты прикуса
- Сужение суставной щели и перегрузка ВНЧС
- Хроническое перенапряжение мышц, которое влияло даже на зрение и слух
- Избыточный износ зубов, визуально «старящий» внешний вид
С пациенткой работал консилиум специалистов. Программа лечения включала:
- Сплинтерапию — для стабилизации положения нижней челюсти и снятия нагрузки с суставов
- Физиотерапию (включая работу с жевательной мускулатурой) — для восстановления кровотока и снятия мышечного напряжения
- Ортодонтическое перемещение зубов в терапевтическую позицию
- Протезирование с восстановлением высоты прикуса и естественной формы зубов
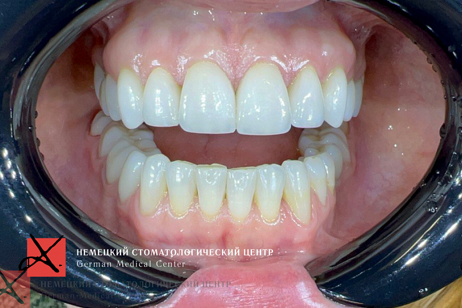
Результат:
- Нижняя челюсть заняла стабильное физиологическое положение
- Прекратились щелчки, зигзагообразные движения и боль
- Восстановился слух, улучшилось общее самочувствие
- Лицо стало мягче, ушло избыточное мышечное напряжение
- Создана молодая, естественная улыбка
Сейчас пациентка чувствует себя стабильно, использует конструкции без дискомфорта и регулярно проходит контрольные осмотры каждые полгода. Это один из тех случаев, где стоматология выходит далеко за рамки улыбки — и становится полноценной частью общего здоровья.
Результат лечения
Кто участвовал в лечении

Специализация:
Главный врач, стоматолог-ортопед, стоматолог-ортодонт, гнатолог.
Кандидат медицинских наук, член СтАР. Входит в ассоциацию лазерной стоматологии, ассоциированный член Общества по изучению цвета в стоматологии.
Владелец патента на изобретение «Способ изготовления экзопротеза верхней челюсти» (патент № 143103) и патента на полезную модель «Устройство для снятия несъемных зубных протезов» (патент № 54766).
Миссия в клинике:
Мы относимся к жизни и здоровью как к дару, к сохранению молодости и красоты – как к профессиональной чести, а воссоздание улыбки выполняем как ювелирную работу.

Специализация:
Врач ортодонт, гнатолог
Master of science (Магистр естесственных наук), училась и практиковалась в Австрии в Венском Университете
Миссия в клинике:
Ведение ортодонтического приема как взрослых, так и детей в полном объёме. Проведение комплексной гнатологической и ортодонтической диагностики. Ведение пациента совместно с хирургом, ортопедом и терапевтом. Лечение детей и взрослых с помощью съемных( элайнеры, пластинки) и несъёмных ( брекеты, ортопланты, аппараты хайрекс, форсус и тд) систем. Лечение патологий ВНЧС, связанных с нарушениями зубочелюстной системы.




